ISO 9001:2015 Certified
Live Customer Support
4.5/5 on Trustpilot
100% Quality Guarantee

Anti-CD168 Antibody (A87728)

This product is discontinued

Anti-CD168 Antibody (A87728) has been discontinued and is no longer available.

View all CD168 Antibodies.

Name
Anti-CD168 Antibody
Description
Rabbit polyclonal antibody to CD168.
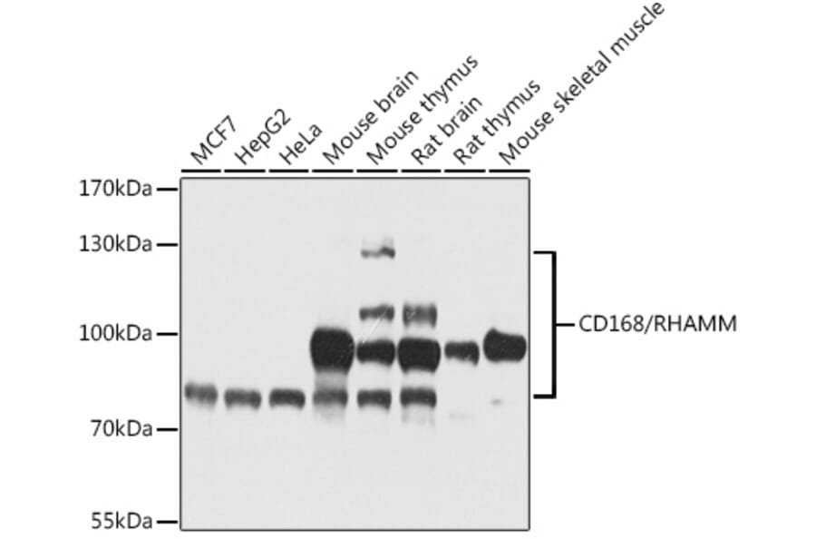
Applications
WB
Dilutions
WB: 1:500-1:2,000
Reactivity
Human, Mouse, Rat
Immunogen
Recombinant protein of mouse CD168/RHAMM.
Host
Rabbit
Clonality
Polyclonal
Isotype
IgG
Conjugate

Unconjugated

Purification
Affinity purification.
Molecular Weight
84 - 130 kDa
Product Form
Liquid
Formulation
Supplied in Phosphate Buffered Saline, pH 7.3, with 50% Glycerol and 0.02% Sodium Azide.
Storage
Shipped at 4°C. Upon delivery aliquot and store at -20°C. Avoid freeze / thaw cycles.
Synonyms
HMMR, Hyaluronan mediated motility receptor, IHABP, Intracellular hyaluronic acid-binding protein, Receptor for hyaluronan-mediated motility, RHAMM
Disclaimer
This product is for research use only. It is not intended for diagnostic or therapeutic use.

Alternative products to Anti-CD168 Antibody (A87728)

Proteins predicted to interact with CD168

Predicted protein interactions based upon String database. Revelancy score correlates with probability of interaction.
99.9% Relevancy Score
99.5% Relevancy Score
97.9% Relevancy Score
97% Relevancy Score
96.4% Relevancy Score
94.2% Relevancy Score
93.1% Relevancy Score
92.9% Relevancy Score
92.8% Relevancy Score