Western Blot - Anti-CD20 Antibody [ARC51683] (A306625)
Western blot analysis of extracts of various cell lines, using Anti-CD20 Antibody (A306625) at 1:1,000 dilution. The secondary antibody was Goat Anti-Rabbit IgG H&L Antibody (HRP) at 1:10,000 dilution. Lysates/proteins were present at 25µg per lane. The blocking buffer used was 3% non-fat dry milk in TBST. Detection was with a ECL Enhanced Kit. Exposure time: 3min.
Western Blot - Anti-CD20 Antibody [ARC51683] (A306625)
Western blot analysis of extracts of Raji cells, using Anti-CD20 Antibody (A306625) at 1:1,000 dilution. The secondary antibody was Goat Anti-Rabbit IgG H&L Antibody (HRP) at 1:10,000 dilution. Lysates/proteins were present at 25µg per lane. The blocking buffer used was 3% non-fat dry milk in TBST. Detection was with a ECL Basic Kit. Exposure time: 60s.
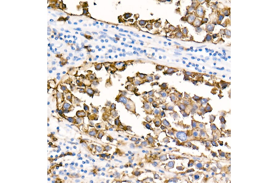
Immunohistochemistry analysis of paraffin-embedded human anaplastic large cell lymphoma tissue using Anti-CD20 Antibody (A306625) at a dilution of 1:100(40x lens). Perform high pressure antigen retrieval with 10 mM citrate buffer pH 6.0 before commencing with IHC staining protocol.
Immunohistochemistry analysis of paraffin-embedded human liver (negative control sample) using Anti-CD20 Antibody (A306625) at a dilution of 1:100(40x lens). Perform high pressure antigen retrieval with 10 mM citrate buffer pH 6.0 before commencing with IHC staining protocol.
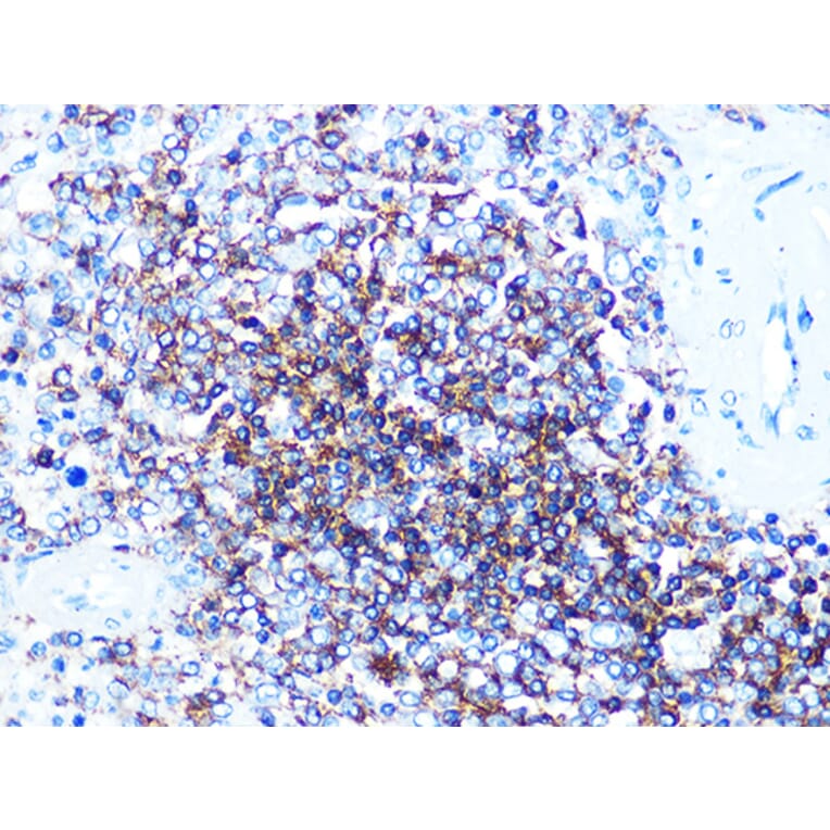
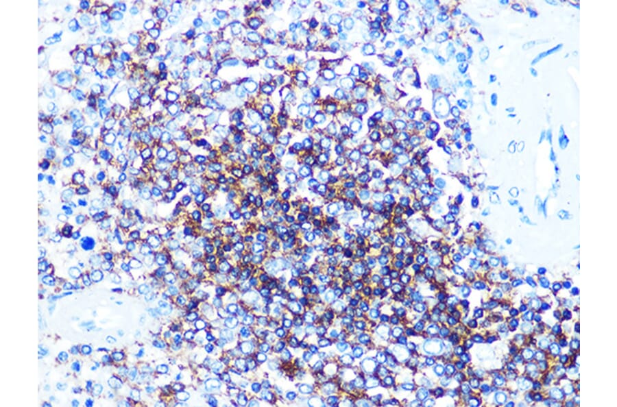
Immunohistochemistry analysis of paraffin-embedded human Hodgkin lymphoma using Anti-CD20 Antibody (A306625) at a dilution of 1:100(40x lens). Perform high pressure antigen retrieval with 10 mM citrate buffer pH 6.0 before commencing with IHC staining protocol.
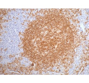
Immunohistochemistry analysis of paraffin-embedded human tonsil using Anti-CD20 Antibody (A306625) at a dilution of 1:100(40x lens). Perform high pressure antigen retrieval with 10 mM citrate buffer pH 6.0 before commencing with IHC staining protocol.
Flow cytometry analysis of Daudi cells(+) and Jurkat cells(-), stained with Rabbit IgG isotype control (10 µg/ml, blue line) or Anti-CD20 Antibody (A306625), (10 µg/ml orange line), followed by Goat anti-Rabbit polyclonal antibody Alexa Fluor 647 (1:600 dilution) staining. Non-fluorescently stained Jurkat cells was used as blank control (red line).
Human monoclonal antibody to CD20 Research grade Anti-Human CD20 [CHO-H01] biosimilar for ELISA, Flow Cytometry, Functional Studies and in vivo Research.
Human monoclonal antibody to CD20 Research grade Anti-Human CD20 [KN001] biosimilar for ELISA, Flow Cytometry, Functional Studies and in vivo Research.
Human monoclonal antibody to CD20 Research grade Anti-Human CD20 [Zitux] biosimilar for ELISA, Flow Cytometry, Functional Studies and in vivo Research.
Human monoclonal antibody to CD20 Research grade Anti-Human CD20 [mAb 153] biosimilar for ELISA, Flow Cytometry, Functional Studies and in vivo Research.
Human monoclonal antibody to CD20 Research grade Anti-Human CD20 [MEDI-552] biosimilar for ELISA, Flow Cytometry, Functional Studies and in vivo Research.
Human monoclonal antibody to CD20 Research grade Anti-Human CD20 [NAV006] biosimilar for ELISA, Flow Cytometry, Functional Studies and in vivo Research.
Human monoclonal antibody to CD20 Research grade Anti-Human CD20 [CHO-H01] biosimilar for ELISA, Flow Cytometry, Functional Studies and in vivo Research.
Human monoclonal antibody to CD20 Research grade Anti-Human CD20 [KN001] biosimilar for ELISA, Flow Cytometry, Functional Studies and in vivo Research.
Human monoclonal antibody to CD20 Research grade Anti-Human CD20 [Zitux] biosimilar for ELISA, Flow Cytometry, Functional Studies and in vivo Research.
Human monoclonal antibody to CD20 Research grade Anti-Human CD20 [mAb 153] biosimilar for ELISA, Flow Cytometry, Functional Studies and in vivo Research.
Human monoclonal antibody to CD20 Research grade Anti-Human CD20 [MEDI-552] biosimilar for ELISA, Flow Cytometry, Functional Studies and in vivo Research.
Human monoclonal antibody to CD20 Research grade Anti-Human CD20 [NAV006] biosimilar for ELISA, Flow Cytometry, Functional Studies and in vivo Research.