ISO 9001:2015 Certified
Live Customer Support
4.5/5 on Trustpilot
100% Quality Guarantee

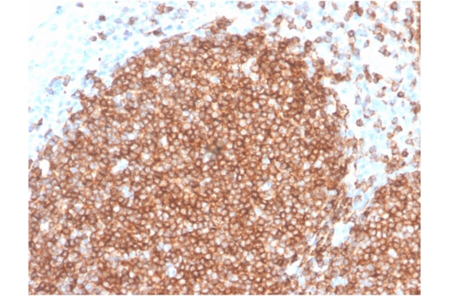
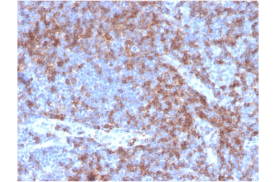
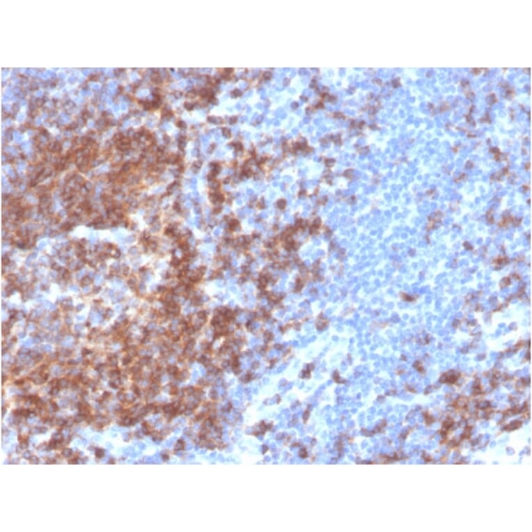
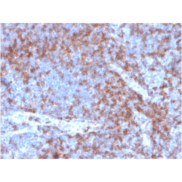
Recombinant Anti-CD22 Antibody [BLCAM/2637R] - BSA and Azide free (A253794)

Recombinant rabbit monoclonal [BLCAM/2637R] antibody to CD22 for IHC-P.

Alternative Formats and ConjugatesAlternative Formats

Shipping Information

$40
Dispatched from St. Louis, MO.
Lead Time: 5-8 business days.
Name
Anti-CD22 Antibody [BLCAM/2637R] - BSA and Azide free
Description
Recombinant rabbit monoclonal [BLCAM/2637R] antibody to CD22.
Specificity
This antibody recognizes a protein of 130-140kDa, identified as CD22 (also known as BL-CAM). CD22 expression is restricted to normal and neoplastic B cells and is absent from other haemopoietic cell types.In B-cell ontogeny, CD22 is first expressed in the cytoplasm of pro-B and pre-B cells, and on the surface as B cells mature to become IgD+.It is not expressed by plasma cells, CD22 is found highly expressed in follicular mantle and marginal zone B-cells, and while germinal center B-cells are relatively weak. CD22 is a member of the immunoglobulin superfamily and serves as an adhesion receptor for sialic acid-bearing ligands expressed on erythrocytes and all leukocyte classes. It also associates with tyrosine kinases and play a role in signal transduction and B-cell activation.
Applications
IHC-P
Dilutions
IHC-P: 1-2 µg/ml
Reactivity
Human
Immunogen
Recombinant fragment, around amino acids 52-178, of human CD22 protein. The exact sequence is proprietary.
Host
Rabbit
Clonality
Monoclonal
Clone ID
BLCAM/2637R
Isotype
IgG
Light Chains
kappa
Conjugate

Unconjugated

Purification
Protein A/G chromatography.
Concentration
1 mg/ml
Molecular Weight
130-140 kDa
Product Form
Liquid
Formulation
Supplied in 10mM Phosphate Buffered Saline; without Sodium Azide and carrier free.
Storage
Shipped at 4°C. Upon delivery aliquot and store at -20°C. Avoid freeze / thaw cycles.
General Notes
This monoclonal antibody is also available in a different formulation with BSA and Sodium Azide - Anti-CD22 Antibody [BLCAM/2637R] (A250614).
Synonyms
B-cell receptor CD22, B-lymphocyte cell adhesion molecule, BL-CAM, Sialic acid-binding Ig-like lectin 2, Siglec-2, SIGLEC2, T-cell surface antigen Leu-14
Disclaimer
This product is for research use only. It is not intended for diagnostic or therapeutic use.
Publishing research using Recombinant Anti-CD22 Antibody [BLCAM/2637R] - BSA and Azide free (A253794)? Please let us know so that we can list the citation on this page.

Alternative products to Anti-CD22 Antibody [BLCAM/2637R] - BSA and Azide free (A253794)

Proteins predicted to interact with CD22

Predicted protein interactions based upon String database. Revelancy score correlates with probability of interaction.
99.9% Relevancy Score
99.7% Relevancy Score
99.2% Relevancy Score
98.5% Relevancy Score
97% Relevancy Score
96% Relevancy Score
95.9% Relevancy Score
93.5% Relevancy Score
92.8% Relevancy Score