ISO 9001:2015 Certified
Live Customer Support
4.5/5 on Trustpilot
100% Quality Guarantee

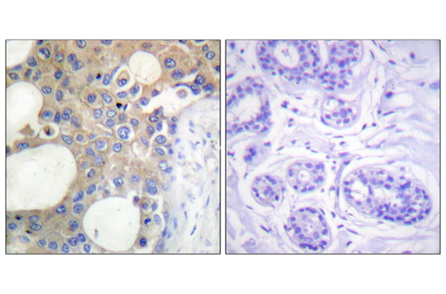
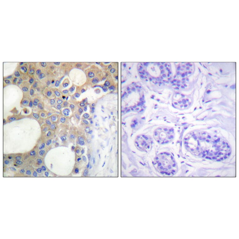
Anti-CD227 Antibody (A99580)

Rabbit polyclonal antibody to CD227 for IHC, IF and ELISA.

Shipping Information

$40
Dispatched from St. Louis, MO.
Lead Time: 6-8 business days.
Name
Anti-CD227 Antibody
Description
Rabbit polyclonal antibody to CD227.
Applications
IHC, IF, ELISA
Dilutions
IHC: 1:50-1:100, IF: 1:100-1:500, ELISA: 1:1000
Reactivity
Human
Immunogen
Synthetic peptide derived from human CD227/MUC1 (amino acids 1201-1250).
Host
Rabbit
Clonality
Polyclonal
Isotype
IgG
Conjugate

Unconjugated

Purification
Purified from rabbit serum by antigen affinity chromatography using the immunizing peptide.
Molecular Weight
122kDa
Product Form
Liquid
Formulation
Supplied in Phosphate Buffered Saline (without Mg2+ and Ca2+), pH 7.4, with 150mM NaCl, 0.02% Sodium Azide, and 50% Glycerol.
Storage
Shipped at 4°C. Upon delivery aliquot and store at -20°C. Avoid freeze / thaw cycles.
Synonyms
Breast carcinoma-associated antigen DF3, CA 15-3, Cancer antigen 15-3, Carcinoma-associated mucin, CD227, Episialin, H23AG, MUC-1, Mucin-1, PUM
Disclaimer
This product is for research use only. It is not intended for diagnostic or therapeutic use.
Publishing research using Anti-CD227 Antibody (A99580)? Please let us know so that we can list the citation on this page.

Alternative products to Anti-CD227 Antibody (A99580)

Proteins predicted to interact with MUC1

Predicted protein interactions based upon String database. Revelancy score correlates with probability of interaction.
99.9% Relevancy Score
99.8% Relevancy Score
99.5% Relevancy Score
99.4% Relevancy Score
99.3% Relevancy Score
99% Relevancy Score
98.7% Relevancy Score
98.2% Relevancy Score
97.9% Relevancy Score