ISO 9001:2015 Certified
Live Customer Support
4.5/5 on Trustpilot
100% Quality Guarantee

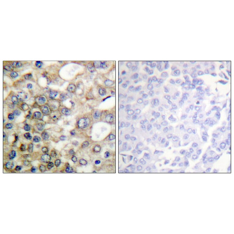
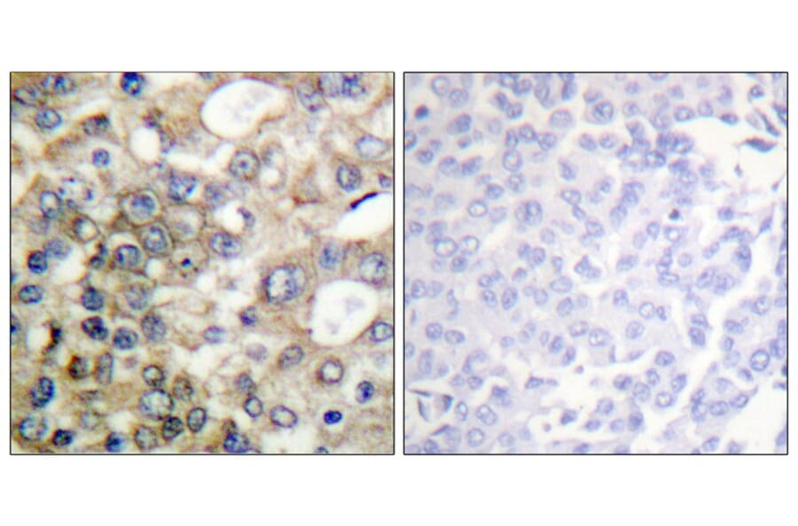
Anti-CD227 / MUC1 (Phospho-Tyr1229) Antibody (A50141)

Rabbit polyclonal antibody to CD227 / MUC1 (Phospho-Tyr1229) for WB, IHC and ICC/IF.

Shipping Information

$40
Dispatched from St. Louis, MO.
Lead Time: 6-9 business days.
Name
Anti-CD227 / MUC1 (Phospho-Tyr1229) Antibody
Description
Rabbit polyclonal antibody to CD227 / MUC1 (Phospho-Tyr1229)
Specificity
The antibody detects endogenous levels of CD227 / MUC1 only when phosphorylated at tyrosine 1229.
Applications
WB, IHC, ICC/IF
Dilutions
Western blotting: 1:500~1:1000 Immunohistochemistry: 1:50~1:100 Immunofluorescence: 1:100~1:200
Reactivity
Human
Immunogen
Peptide sequence around phosphorylation site of tyrosine 1229 S-P-Y(p)-E-K) derived from Human CD227 / MUC1.
Host
Rabbit
Clonality
Polyclonal
Conjugate

Unconjugated

Purification
Antibodies were produced by immunizing rabbits with synthetic phosphopeptide and KLH conjugates. Antibodies were purified by affinity-chromatography using epitope-specific phosphopeptide. Non-phospho specific antibodies were removed by chromatogramphy using non-phosphopeptide.
Concentration
1.0 mg/mL
Formulation
Supplied in phosphate-buffered saline (without Mg²? and Ca²?), pH 7.4, containing 150 mM NaCl, 0.02% sodium azide, and 50% glycerol.
Storage
Shipped at 4°C. Upon delivery aliquot and store at -20°C. Avoid freeze/thaw cycles.
Synonyms
Breast carcinoma-associated antigen DF3, CA 15-3, Cancer antigen 15-3, Carcinoma-associated mucin, Episialin, H23AG, MUC-1, Mucin-1, PUM
Disclaimer
This product is for research use only. It is not intended for diagnostic or therapeutic use.
Publishing research using Anti-CD227 / MUC1 (Phospho-Tyr1229) Antibody (A50141)? Please let us know so that we can list the citation on this page.

Alternative products to Anti-CD227 / MUC1 (Phospho-Tyr1229) Antibody (A50141)

Proteins predicted to interact with MUC1

Predicted protein interactions based upon String database. Revelancy score correlates with probability of interaction.
99.9% Relevancy Score
99.8% Relevancy Score
99.5% Relevancy Score
99.4% Relevancy Score
99.3% Relevancy Score
99% Relevancy Score
98.7% Relevancy Score
98.2% Relevancy Score
97.9% Relevancy Score