ISO 9001:2015 Certified
Live Customer Support
4.5/5 on Trustpilot
100% Quality Guarantee

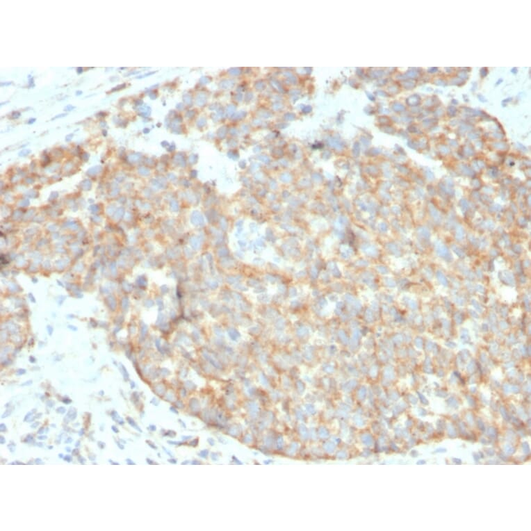
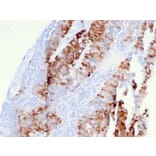
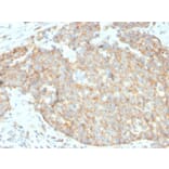
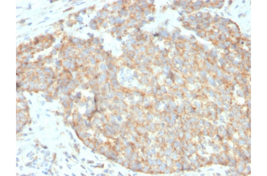
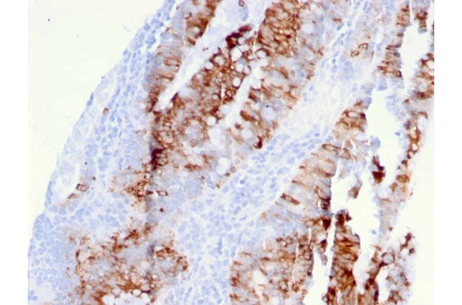
Anti-CD262 Antibody [DR5/3381] - BSA and Azide free (A253621)

Mouse monoclonal [DR5/3381] antibody to CD262 for IHC-P.

Alternative Formats and ConjugatesAlternative Formats

Shipping Information

$40
Dispatched from St. Louis, MO.
Lead Time: 5-8 business days.
Name
Anti-CD262 Antibody [DR5/3381] - BSA and Azide free
Description
Mouse monoclonal [DR5/3381] antibody to CD262.
Specificity
Tumor necrosis factor (TNF) is a pleiotropic cytokine whose function is mediated by two distinct cell surface receptors, designated TNF-R1 and TNF-R2, which are expressed on most cell types. TNF function is primarily mediated through TNF-R1 signaling. Both receptors belong to the growing TNF receptor superfamily which includes Fas antigen and CD40. TNF-R1 contains a cytoplasmic motif, termed the death domain , that has been found to be necessary for the transduction of the apoptotic signal. The death domain is also found in several other receptors, including Fas, DR2 (or TRUNDD), DR3 (death receptor 3), DR4 and DR5. TRUNDD, DR4 and DR5 are receptors for the apoptosis-inducing cytokine TRAIL. A non-death domain-containing receptor, designated decoy receptor (DcR1 or TRID), also specifically associates with TRAIL and may play a role in cellular resistance to apoptotic stimuli.
Applications
IHC-P
Dilutions
IHC-P: 1-2 µg/ml
Reactivity
Human
Immunogen
Recombinant fragment, around amino acids 266-393, of human DR5 protein. The exact sequence is proprietary.
Host
Mouse
Clonality
Monoclonal
Clone ID
DR5/3381
Isotype
IgG1
Light Chains
kappa
Conjugate

Unconjugated

Purification
Protein A/G chromatography.
Concentration
1 mg/ml
Molecular Weight
48 kDa
Product Form
Liquid
Formulation
Supplied in 10mM Phosphate Buffered Saline; without Sodium Azide and carrier free.
Storage
Shipped at 4°C. Upon delivery aliquot and store at -20°C. Avoid freeze / thaw cycles.
General Notes
This monoclonal antibody is also available in a different formulation with BSA and Sodium Azide - Anti-CD262 Antibody [DR5/3381] (A250441).
Synonyms
Death receptor 5, KILLER, TNF-related apoptosis-inducing ligand receptor 2, TNFRSF10B, TRAIL receptor 2, TRAIL-R2, TRAILR2, TRICK2, Tumor necrosis factor receptor superfamily member 10B, ZTNFR9
Disclaimer
This product is for research use only. It is not intended for diagnostic or therapeutic use.
Publishing research using Anti-CD262 Antibody [DR5/3381] - BSA and Azide free (A253621)? Please let us know so that we can list the citation on this page.

Alternative products to Anti-CD262 Antibody [DR5/3381] - BSA and Azide free (A253621)

Proteins predicted to interact with DR5

Predicted protein interactions based upon String database. Revelancy score correlates with probability of interaction.
99.9% Relevancy Score
99.9% Relevancy Score
99.9% Relevancy Score
99.9% Relevancy Score
99.8% Relevancy Score
99.7% Relevancy Score
99.5% Relevancy Score
99.1% Relevancy Score
99% Relevancy Score