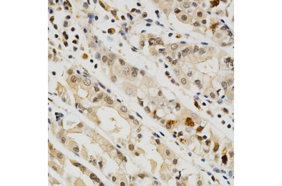
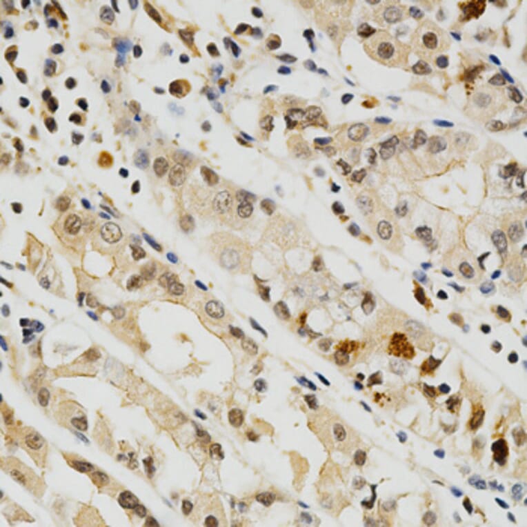
CD274 pAb detects endogenous levels of CD274 protein.
Applications
WB, IHC
Reactivity
Human
Immunogen
Recombinant full length Human CD274.
Host
Rabbit
Clonality
Polyclonal
Conjugate
Unconjugated
Molecular Weight
~ 33 kDa
Purity
The antibody was affinity-purified from rabbit antiserum by affinity-chromatography using epitope-specific immunogen and the purity is > 95% (by SDS-PAGE).
Product Form
1 mg/ml in Phosphate buffered saline (PBS) with 0.05% sodium azide, approx. pH 7.2.
Recombinant rat monoclonal antibody to PD-L1 [10F9G2] for use as a research grade 10F9G2 biosimila for WB, Flow Cytometry, ICC/IF, IHC-F, in vivo PD-L1 blockade, in vitro PD-L1 blockade and ICC/IF.
Recombinant human monoclonal antibody to PD-L1 for use as a research grade Durvalumab biosimilar for ELISA, Flow Cytometry, Functional Studies and in vivo Research.
Recombinant human monoclonal antibody to PD-L1 for use as a research grade Avelumab biosimilar for ELISA, Flow Cytometry, Functional Studies and in vivo Research.
Recombinant rat monoclonal antibody to PD-L1 [10F9G2] for use as a research grade 10F9G2 biosimila for WB, Flow Cytometry, ICC/IF, IHC-F, in vivo PD-L1 blockade, in vitro PD-L1 blockade and ICC/IF.
Recombinant human monoclonal antibody to PD-L1 for use as a research grade Durvalumab biosimilar for ELISA, Flow Cytometry, Functional Studies and in vivo Research.
Recombinant human monoclonal antibody to PD-L1 for use as a research grade Avelumab biosimilar for ELISA, Flow Cytometry, Functional Studies and in vivo Research.