ISO 9001:2015 Certified
Live Customer Support
4.5/5 on Trustpilot
100% Quality Guarantee

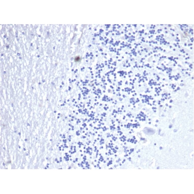
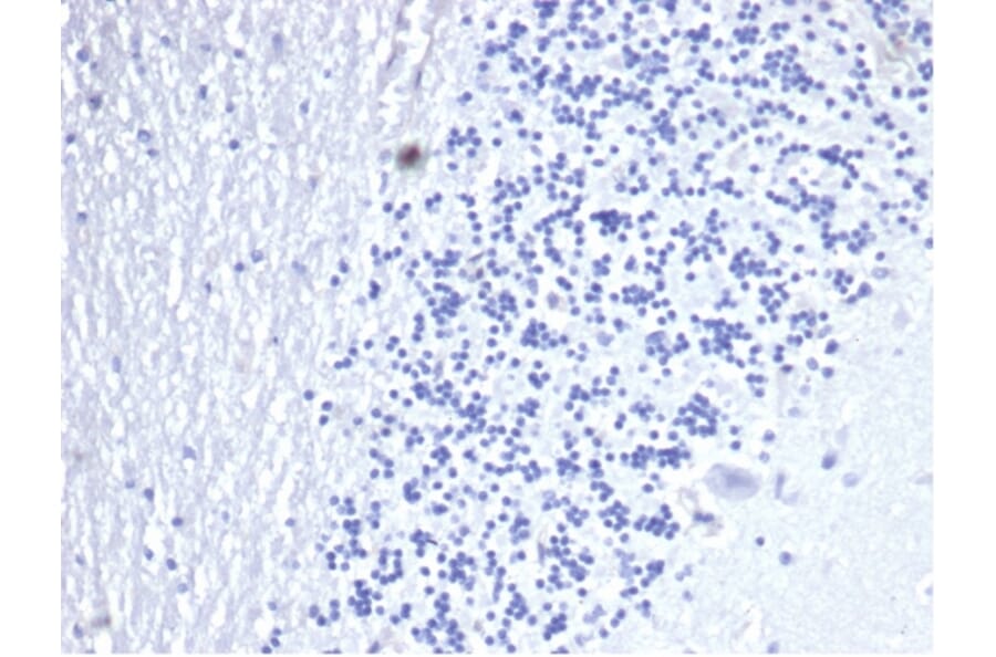
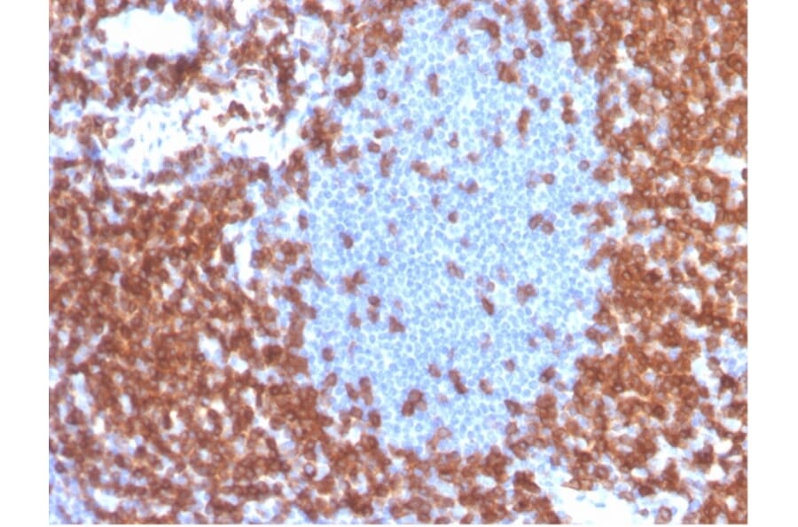
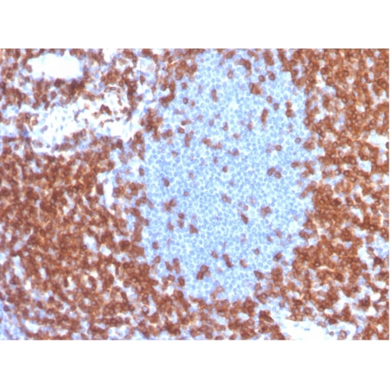
Recombinant Anti-CD3 epsilon Antibody [C3e/4653R] (A278088)

Recombinant rabbit monoclonal [C3e/4653R] antibody to CD3 epsilon for IHC-P.

Alternative Formats and ConjugatesAlternative Formats

Shipping Information

$40
Dispatched from St. Louis, MO.
Lead Time: 5-8 business days.
Name
Anti-CD3 epsilon Antibody [C3e/4653R]
Description
Recombinant rabbit monoclonal [C3e/4653R] antibody to CD3 epsilon.
Specificity
Cluster of differentiation 3 (CD3) is a multimeric protein complex, known historically as the T3 complex, and is composed of four distinct polypeptide chains; epsilon ( ), gamma (γ), delta ( L) and zeta ( Ã·), that assemble and function as three pairs of dimers ( γ, L, Ã· Ã·). The CD3 complex serves as a T cell co-receptor that associates noncovalently with the T cell receptor (TCR).CD3 antigen appearance at all stages of T cell development, and makes it an ideal T cell marker for both the detection of normal T cells and T cell neoplasms (lymphomas and leukemias).
Applications
IHC-P
Dilutions
IHC-P: 1-2 µg/ml
Reactivity
Human
Immunogen
Recombinant fragment, around amino acids 100-200, of human CD3 epsilon. The exact sequence is proprietary.
Host
Rabbit
Clonality
Monoclonal
Clone ID
C3e/4653R
Isotype
IgG
Light Chains
kappa
Conjugate

Unconjugated

Purification
Protein A/G chromatography.
Concentration
200 µg/ml
Molecular Weight
20-25 kDa
Product Form
Liquid
Formulation
Supplied in 10mM Phosphate Buffered Saline with 0.05% BSA and 0.05% Sodium Azide.
Storage
Shipped at 4°C. Upon delivery aliquot and store at -20°C. Avoid freeze / thaw cycles.
General Notes
This monoclonal antibody is also available in a different formulation without BSA and Sodium Azide - Anti-CD3 epsilon Antibody [C3e/4653R] - BSA and Azide free (A278676).
Synonyms
CD3e, T-cell surface antigen T3/Leu-4 epsilon chain, T-cell surface glycoprotein CD3 epsilon chain, T3E
Disclaimer
This product is for research use only. It is not intended for diagnostic or therapeutic use.
Publishing research using Recombinant Anti-CD3 epsilon Antibody [C3e/4653R] (A278088)? Please let us know so that we can list the citation on this page.

Most popular Anti-CD3 epsilon Antibodies

Alternative products to Anti-CD3 epsilon Antibody [C3e/4653R] (A278088)

Proteins predicted to interact with CD3 epsilon

Predicted protein interactions based upon String database. Revelancy score correlates with probability of interaction.
99.9% Relevancy Score
99.9% Relevancy Score
99.9% Relevancy Score
99.8% Relevancy Score
99.7% Relevancy Score
99.5% Relevancy Score
99.1% Relevancy Score
99% Relevancy Score
98% Relevancy Score