Unconjugated
Organs-on-chips (OoCs) support an organotypic human cell culture in vitro. Precise representation of basement membranes (BMs) is critical for mimicking physiological functions of tissue interfaces. Artificial membranes in polyester (PES) and polycarbonate (PC) commonly used in in vitro models and OoCs do not replicate the characteristics of the natural BMs, such as submicrometric thickness, selective permeability, and elasticity. This study introduces porous poly(d,l-lactic acid) (PDLLA) nanofilms for replicating BMs in in vitro models and demonstrates their integration into microfluidic chips. Using roll-to-roll gravure coating and polymer phase separation, we fabricated transparent ~200 nm thick PDLLA films. These nanofilms are 60 times thinner and 27 times more elastic than PES membranes and show uniformly distributed pores of controlled diameter (0.4 to 1.6 µm), which favor cell compartmentalization and exchange of large water-soluble molecules. Human umbilical vein endothelial cells (HUVECs) on PDLLA nanofilms stretched across microchannels exhibited 97% viability, enhanced adhesion, and a higher proliferation rate compared to their performance on PES membranes and glass substrates. After 5 days of culture, HUVECs formed a functional barrier on suspended PDLLA nanofilms, confirmed by a more than 10-fold increase in transendothelial electrical resistance and blocked 150 kDa dextran diffusion. When integrated between two microfluidic channels and exposed to physiological shear stress, despite their ultrathin thickness, PDLLA nanofilms upheld their integrity and efficiently maintained separation of the channels. The successful formation of an adherent endothelium and the coculture of HUVECs and human astrocytes on either side of the suspended nanofilm validate it as an artificial BM for OoCs. Its submicrometric thickness guarantees intimate contact, a key feature to mimic the blood-brain barrier and to study paracrine signaling between the two cell types. In summary, porous PDLLA nanofilms hold the potential for improving the accuracy and physiological relevance of the OoC as in vitro models and drug discovery tools.
Background: Androgen deprivation therapy (ADT) is a front-line treatment for prostate cancer. In some men, their tumors can become refractory leading to the development of castration-resistant prostate cancer (CRPC). This causes tumors to regrow and metastasize, despite ongoing treatment, and impacts negatively on patient survival. ADT is known to stimulate the accumulation of immunosuppressive cells like protumoral tumor-associated macrophages (TAMs), myeloid-derived suppressor cells and regulatory T cells in prostate tumors, as well as hypofunctional T cells. Protumoral TAMs have been shown to accumulate around tumor blood vessels during chemotherapy and radiotherapy in other forms of cancer, where they drive tumor relapse. Our aim was to see whether such perivascular (PV) TAMs also accumulate in ADT-treated prostate tumors prior to CRPC, and, if so, whether selectively inducing them to express a potent immunostimulant, interferon beta (IFNß), would stimulate antitumor immunity and delay CRPC.
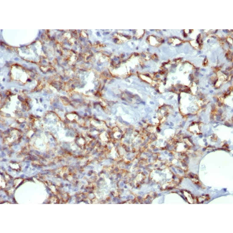
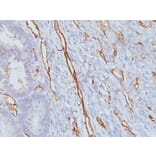
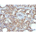
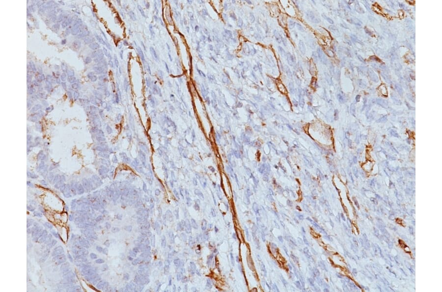
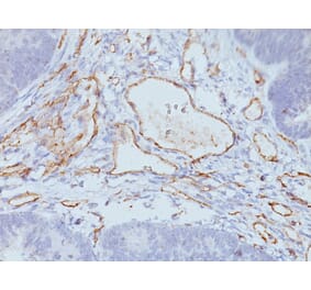
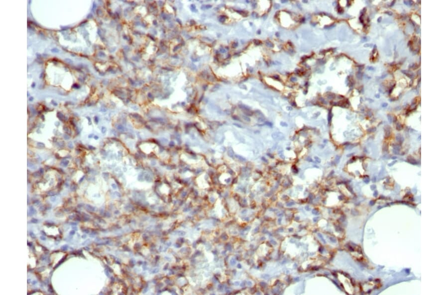
Methods: We used multiplex immunofluorescence to assess the effects of ADT on the distribution and activation status of TAMs, CD8+T cells, CD4+T cells and NK cells in mouse and/or human prostate tumors. We then used antibody-coated, lipid nanoparticles (LNPs) to selectively target a STING agonist, 2'3'-cGAMP (cGAMP), to PV TAMs in mouse prostate tumors during ADT.
Results: TAMs accumulated at high density around blood vessels in response to ADT and expressed markers of a protumoral phenotype including folate receptor-beta (FR-ß), MRC1 (CD206), CD169 and VISTA. Additionally, higher numbers of inactive (PD-1-) CD8+T cells and reduced numbers of active (CD69+) NK cells were present in these PV tumor areas. LNPs coated with an antibody to FR-ß selectively delivered cGAMP to PV TAMs in ADT-treated tumors, where they activated STING and upregulated the expression of IFNß. This resulted in a marked increase in the density of active CD8+T cells (along with CD4+T cells and NK cells) in PV tumor areas, and significantly delayed the onset of CRPC. Antibody depletion of CD8+T cells during LNP administration demonstrated the essential role of these cells in delay in CRPC induced by LNPs.
Conclusion: Together, our data indicate that targeting a STING agonist to PV TAMs could be used to extend the treatment window for ADT in prostate cancer.