Primary Antibodies
Secondary Antibodies
Proteins & Peptides
ELISA Kits
About Us
Contact Us
Sign In/Register
0
ISO 9001:2015 Certified
Live Customer Support
4.5/5 on Trustpilot
100% Quality Guarantee
Home
Primary Antibodies
CD3 epsilon Antibodies
Anti-CD3E Antibody (A35490)
Anti-CD3E Antibody (A35490)
Overview
Specifications
Images
Enlarge Image
Enlarge Image
$415
Product Datasheet
Rabbit polyclonal antibody to CD3E for WB and IHC.
100% Guarantee
Price Match Guarantee
Product Size:
50µl
100µl
Quantity:
1
2
3
4
5
6
7
8
9
10
Add To Cart
Request a Quotation
Custom or Bulk Request
Shipping Information
Freight/Packing Charges:
$40
Dispatched from St. Louis, MO.
Lead Time: 6-9 business days.
Tags:
Cytotoxic T cell Marker
Memory T Cell Marker
Purkinje Cells Marker
T Follicular Helper Cell Marker
Specifications
Name
Anti-CD3E Antibody
Description
Rabbit polyclonal antibody to CD3E
Specificity
The antibody detects endogenous level of total CD3E protein.
Applications
WB
,
IHC
Reactivity
Human, Mouse, Rat
Immunogen
Recombinant protein of human CD3E.
Host
Rabbit
Clonality
Polyclonal
Conjugate
Unconjugated
Purification
Antibodies were purified by affinity purification using immunogen.
Concentration
1.0 mg/mL
Formulation
Supplied in phosphate-buffered saline (without Mg²? and Ca²?), pH 7.4, containing 150 mM NaCl, 0.02% sodium azide, and 50% glycerol.
Storage
Shipped at 4°C. Upon delivery aliquot and store at -20°C. Avoid freeze/thaw cycles.
Synonyms
T-cell surface antigen T3/Leu-4 epsilon chain, T-cell surface glycoprotein CD3 epsilon chain, T3E
Suitable Secondaries
Goat Anti-Rabbit IgG H&L Antibody (AP) (A294874)
Goat Anti-Rabbit IgG H&L Antibody (Biotin) (A294795)
Goat Anti-Rabbit IgG H&L Antibody (FITC) (A294887)
Goat Anti-Rabbit IgG H&L Antibody (HRP) (A294888)
See all Anti-Rabbit IgG Secondaries →
Disclaimer
This product is for research use only. It is not intended for diagnostic or therapeutic use.
Scientific Validation Data
Validation Data
(2)
Enlarge Image
Anti-CD3E Antibody (A35490)
Western blot analysis of extracts of Jurkat cell lines, using CD3E antibody.
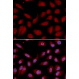
Enlarge Image
Immunofluorescence - Anti-CD3E Antibody (A35490)
Immunofluorescence analysis of U2OS cell using CD3E antibody. Blue: DAPI for nuclear staining.
Publishing research using Anti-CD3E Antibody (A35490)? Please
let us know
so that we can list the citation on this page.
Most popular Anti-CD3E Antibodies
A86505
Anti-CD3 epsilon Antibody [145-2C11] - Low endotoxin, Azide free
Armenian hamster monoclonal [145-2C11] antibody to CD3 epsilon for Flow Cytometry, IP, IHC-Fr, ICC and Functional Studies.
A86505
Anti-CD3 epsilon Antibody [145-2C11] - Low endotoxin, Azide free
Armenian hamster monoclonal [145-2C11] antibody to CD3 epsilon for Flow Cytometry, IP, IHC-Fr, ICC and Functional Studies.
Alternative products to Anti-CD3E Antibody (A35490)
A280087
Anti-CD3 epsilon Antibody [CD3-12]
Rat monoclonal [CD3-12] antibody to CD3 epsilon for WB, IHC-P, IF, Flow Cytometry and IHC-Fr.
A86500
Anti-CD3 epsilon Antibody [145-2C11]
Armenian hamster monoclonal [145-2C11] antibody to CD3 epsilon for Flow Cytometry, IP, IHC-Fr and ICC.
(4)
A253673
Anti-CD3 epsilon Antibody [PC3/188A] - BSA and Azide free
Mouse monoclonal [PC3/188A] antibody to CD3 epsilon for Flow Cytometry, IF and WB.
(4)
A250493
Anti-CD3 epsilon Antibody [PC3/188A]
Mouse monoclonal [PC3/188A] antibody to CD3 epsilon for Flow Cytometry, IF and WB.
(5)
A250494
Anti-CD3 epsilon Antibody [C3e/1931]
Mouse monoclonal [C3e/1931] antibody to CD3 epsilon for ELISA, Flow Cytometry, WB and IHC-P.
(5)
A87625
Anti-CD3 epsilon Antibody
Rabbit polyclonal antibody to CD3 epsilon for WB, IHC and ICC/IF.
(5)
A253674
Anti-CD3 epsilon Antibody [C3e/1931] - BSA and Azide free
Mouse monoclonal [C3e/1931] antibody to CD3 epsilon for ELISA, Flow Cytometry, WB and IHC-P.
(3)
A250504
Anti-CD3 epsilon Antibody [RIV9]
Mouse monoclonal [RIV9] antibody to CD3 epsilon for Functional Studies, Flow Cytometry and IF.
(3)
A253684
Anti-CD3 epsilon Antibody [RIV9] - BSA and Azide free
Mouse monoclonal [RIV9] antibody to CD3 epsilon for Functional Studies, Flow Cytometry and IF.
(3)
A253679
Anti-CD3 epsilon Antibody [rC3e/1931] - BSA and Azide free
Recombinant mouse monoclonal [rC3e/1931] antibody to CD3 epsilon for ELISA and IHC-P.
(3)
A250495
Anti-CD3 epsilon Antibody [UCHT1]
Mouse monoclonal [UCHT1] antibody to CD3 epsilon for ELISA, Flow Cytometry, IF and IHC.
(3)
A253675
Anti-CD3 epsilon Antibody [UCHT1] - BSA and Azide free
Mouse monoclonal [UCHT1] antibody to CD3 epsilon for ELISA, Flow Cytometry, IF and IHC.
A280087
Anti-CD3 epsilon Antibody [CD3-12]
Rat monoclonal [CD3-12] antibody to CD3 epsilon for WB, IHC-P, IF, Flow Cytometry and IHC-Fr.
A86500
Anti-CD3 epsilon Antibody [145-2C11]
Armenian hamster monoclonal [145-2C11] antibody to CD3 epsilon for Flow Cytometry, IP, IHC-Fr and ICC.
(4)
A253673
Anti-CD3 epsilon Antibody [PC3/188A] - BSA and Azide free
Mouse monoclonal [PC3/188A] antibody to CD3 epsilon for Flow Cytometry, IF and WB.
(4)
A250493
Anti-CD3 epsilon Antibody [PC3/188A]
Mouse monoclonal [PC3/188A] antibody to CD3 epsilon for Flow Cytometry, IF and WB.
(5)
A250494
Anti-CD3 epsilon Antibody [C3e/1931]
Mouse monoclonal [C3e/1931] antibody to CD3 epsilon for ELISA, Flow Cytometry, WB and IHC-P.
(5)
A87625
Anti-CD3 epsilon Antibody
Rabbit polyclonal antibody to CD3 epsilon for WB, IHC and ICC/IF.
(5)
A253674
Anti-CD3 epsilon Antibody [C3e/1931] - BSA and Azide free
Mouse monoclonal [C3e/1931] antibody to CD3 epsilon for ELISA, Flow Cytometry, WB and IHC-P.
(3)
A250504
Anti-CD3 epsilon Antibody [RIV9]
Mouse monoclonal [RIV9] antibody to CD3 epsilon for Functional Studies, Flow Cytometry and IF.
(3)
A253684
Anti-CD3 epsilon Antibody [RIV9] - BSA and Azide free
Mouse monoclonal [RIV9] antibody to CD3 epsilon for Functional Studies, Flow Cytometry and IF.
(3)
A253679
Anti-CD3 epsilon Antibody [rC3e/1931] - BSA and Azide free
Recombinant mouse monoclonal [rC3e/1931] antibody to CD3 epsilon for ELISA and IHC-P.
(3)
A250495
Anti-CD3 epsilon Antibody [UCHT1]
Mouse monoclonal [UCHT1] antibody to CD3 epsilon for ELISA, Flow Cytometry, IF and IHC.
(3)
A253675
Anti-CD3 epsilon Antibody [UCHT1] - BSA and Azide free
Mouse monoclonal [UCHT1] antibody to CD3 epsilon for ELISA, Flow Cytometry, IF and IHC.
See all CD3E Antibodies
Proteins predicted to interact with CD3 epsilon
Predicted protein interactions based upon String database. Revelancy score correlates with probability of interaction.
CD3 gamma Antibodies
99.9% Relevancy Score
CD3 zeta Antibodies
99.9% Relevancy Score
CD3 delta Antibodies
99.9% Relevancy Score
ZAP70 Antibodies
99.8% Relevancy Score
Syk Antibodies
99.7% Relevancy Score
CD8 alpha Antibodies
99.5% Relevancy Score
CD4 Antibodies
99.1% Relevancy Score
CD8b Antibodies
99% Relevancy Score
Lck Antibodies
98% Relevancy Score
Top