ISO 9001:2015 Certified
Live Customer Support
4.5/5 on Trustpilot
100% Quality Guarantee

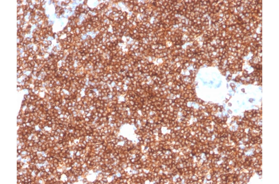
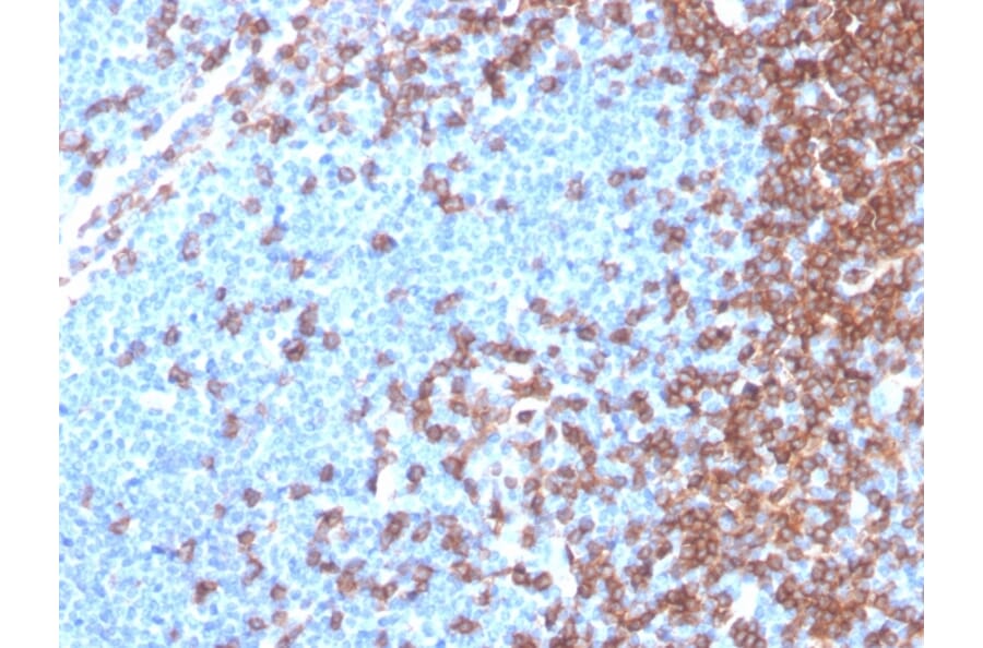
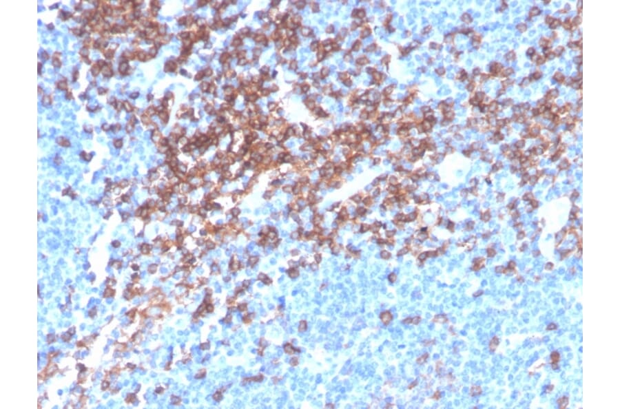
Recombinant Anti-CD4 Antibody [rCD4/3930] (A250512)

Recombinant mouse monoclonal [rCD4/3930] antibody to CD4 for IHC-P.

Alternative Formats and ConjugatesAlternative Formats

Shipping Information

$40
Dispatched from St. Louis, MO.
Lead Time: 5-8 business days.
Name
Anti-CD4 Antibody [rCD4/3930]
Description
Recombinant mouse monoclonal [rCD4/3930] antibody to CD4.
Specificity
This antibody recognizes a protein of 55kDa, identified as CD4. It is a membrane glycoprotein of T lymphocytes that interacts with major histocompatibility complex class II antigens and is also a receptor for the human immunodeficiency virus. This protein is expressed not only in T lymphocytes, but also in B cells, macrophages, and granulocytes. It is also expressed in specific regions of the brain. The protein functions to initiate or augment the early phase of T-cell activation, and may function as an important mediator of indirect neuronal damage in infectious and immune-mediated diseases of the central nervous system. The majority of peripheral T-cell lymphomas are derived from the T-helper/regulatory cell subset so that most mature T-cell neoplasms are CD4+/CD8-. Anti-CD4 is used in the immunohistochemical staining of lymphoproliferative disorders to evaluate tumors with CD4 aberrant expression.
Applications
IHC-P
Dilutions
IHC-P: 1-2 µg/ml
Reactivity
Human
Immunogen
Recombinant fragment, around amino acids 216-396, of human CD4 protein. The exact sequence is proprietary.
Host
Mouse
Clonality
Monoclonal
Clone ID
rCD4/3930
Isotype
IgG2a
Light Chains
kappa
Conjugate

Unconjugated

Purification
Protein A/G chromatography.
Concentration
200 µg/ml
Molecular Weight
55 kDa
Product Form
Liquid
Formulation
Supplied in 10mM Phosphate Buffered Saline with 0.05% BSA and 0.05% Sodium Azide.
Storage
Shipped at 4°C. Upon delivery aliquot and store at -20°C. Avoid freeze / thaw cycles.
General Notes
This monoclonal antibody is also available in a different formulation without BSA and Sodium Azide - Anti-CD4 Antibody [rCD4/3930] - BSA and Azide free (A253692).
Synonyms
T-cell surface antigen T4/Leu-3, T-cell surface glycoprotein CD4
Disclaimer
This product is for research use only. It is not intended for diagnostic or therapeutic use.
Publishing research using Recombinant Anti-CD4 Antibody [rCD4/3930] (A250512)? Please let us know so that we can list the citation on this page.

Alternative products to Anti-CD4 Antibody [rCD4/3930] (A250512)

Proteins predicted to interact with CD4

Predicted protein interactions based upon String database. Revelancy score correlates with probability of interaction.
99.9% Relevancy Score
99.9% Relevancy Score
99.9% Relevancy Score
99.9% Relevancy Score
99.9% Relevancy Score
99.8% Relevancy Score
99.7% Relevancy Score
99.7% Relevancy Score
99.6% Relevancy Score