ISO 9001:2015 Certified
Live Customer Support
4.5/5 on Trustpilot
100% Quality Guarantee

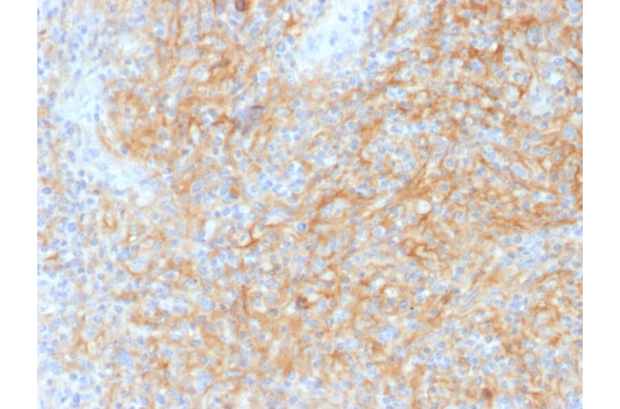
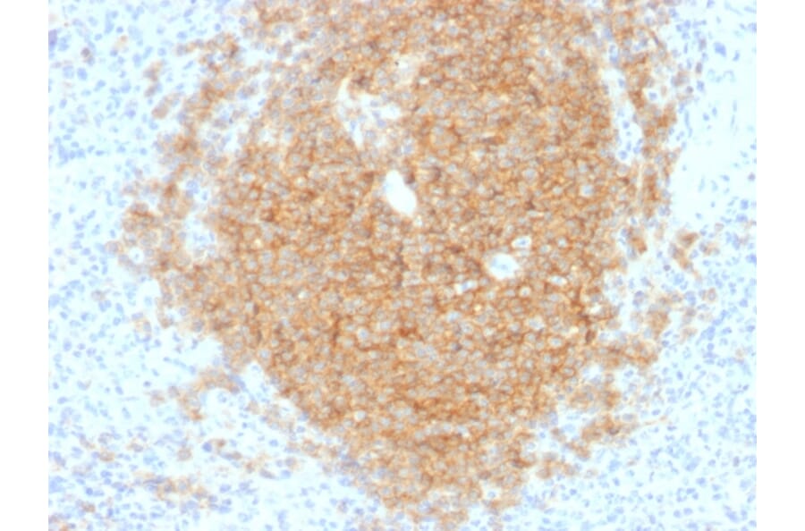
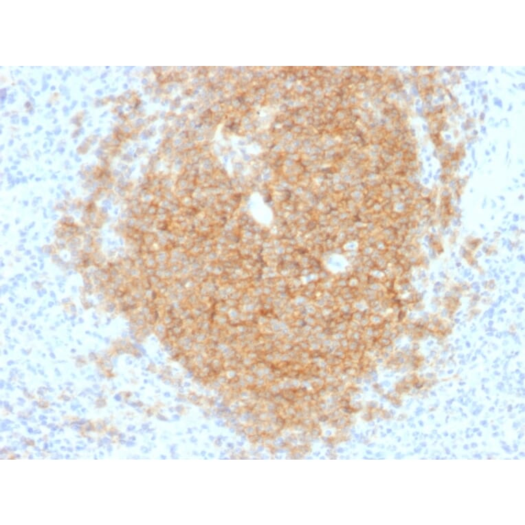
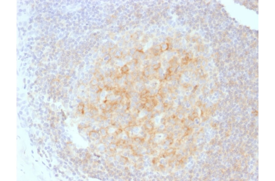
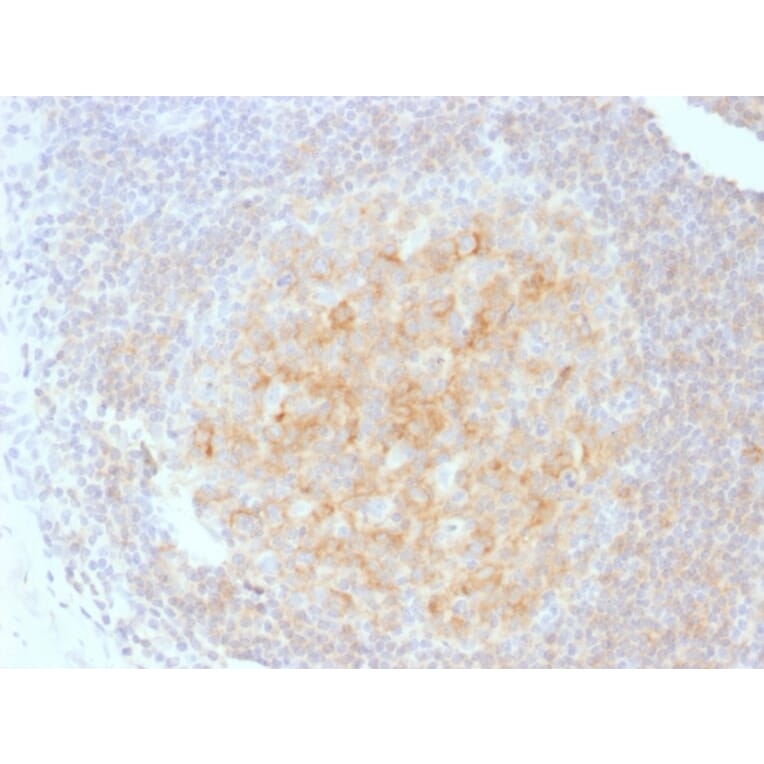
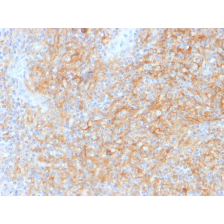
Anti-CD40 Antibody [C40/1605] - BSA and Azide free (A253878)

Mouse monoclonal [C40/1605] antibody to CD40 for IF, Flow Cytometry and IHC-P.

Alternative Formats and ConjugatesAlternative Formats

Shipping Information

$40
Dispatched from St. Louis, MO.
Lead Time: 5-8 business days.
Name
Anti-CD40 Antibody [C40/1605] - BSA and Azide free
Description
Mouse monoclonal [C40/1605] antibody to CD40.
Applications
IF, Flow Cytometry, IHC-P
Dilutions
IF: 1-2 µg/ml, Flow Cytometry: 1-2 µg/million cells, IHC-P: 1-2 µg/ml
Reactivity
Human
Immunogen
Recombinant full-length human CD40 protein.
Host
Mouse
Clonality
Monoclonal
Clone ID
C40/1605
Isotype
IgG1
Light Chains
kappa
Conjugate

Unconjugated

Purification
Protein A/G chromatography.
Concentration
1 mg/ml
Molecular Weight
43 kDa
Product Form
Liquid
Formulation
Supplied in 10mM Phosphate Buffered Saline; without Sodium Azide and carrier free.
Storage
Shipped at 4°C. Upon delivery aliquot and store at -20°C. Avoid freeze / thaw cycles.
General Notes
This monoclonal antibody is also available in a different formulation with BSA and Sodium Azide - Anti-CD40 Antibody [C40/1605] (A250698).
Synonyms
B-cell surface antigen CD40, Bp50, CD40L receptor, CDw40, TNFRSF5, Tumor necrosis factor receptor superfamily member 5
Disclaimer
This product is for research use only. It is not intended for diagnostic or therapeutic use.
Publishing research using Anti-CD40 Antibody [C40/1605] - BSA and Azide free (A253878)? Please let us know so that we can list the citation on this page.

Alternative products to Anti-CD40 Antibody [C40/1605] - BSA and Azide free (A253878)

Proteins predicted to interact with CD40

Predicted protein interactions based upon String database. Revelancy score correlates with probability of interaction.
99.9% Relevancy Score
99.9% Relevancy Score
99.9% Relevancy Score
99.9% Relevancy Score
99.7% Relevancy Score
99.6% Relevancy Score
99.3% Relevancy Score
99.2% Relevancy Score
99.2% Relevancy Score