Immunofluorescent analysis of paraformaldehyde fixed Jurkat cells stained with Anti-CD40L Antibody [CD40LG/2761] followed by Goat Anti-Mouse IgG (CF® 488) (Green). Nuclei are stained with RedDot.
Flow cytometric analysis of Jurkat cells using Anti-CD40L Antibody [CD40LG/2761] followed by Goat Anti-Mouse IgG (CF® 488) (Blue). Isotype Control (Red).
SDS-PAGE analysis of Anti-CD40L Antibody [CD40LG/2761] under non-reduced and reduced conditions; showing intact IgG and intact heavy and light chains, respectively. SDS-PAGE analysis confirms the integrity and purity of the antibody.
Analysis of protein array containing more than 19,000 full-length human proteins using Anti-CD40L Antibody [CD40LG/2761]. Z-Score and S- Score: The Z-score represents the strength of a signal that a monoclonal antibody (MAb) (in combination with a fluorescently-tagged anti-IgG secondary antibody) produces when binding to a particular protein on the HuProtTM array. Z-scores are described in units of standard deviations (SD's) above the mean value of all signals generated on that array. If targets on HuProtTM are arranged in descending order of the Z-score, the S-score is the difference (also in units of SD's) between the Z-score. S-score therefore represents the relative target specificity of a MAb to its intended target; a MAb is considered to be specific to its intended target, if the MAb has an S-score of at least 2.5. For example, if a MAb binds to protein X with a Z-score of 43 and to protein Y with a Z-score of 14, then the S-score for the binding of that MAb to protein X is equal to 29.
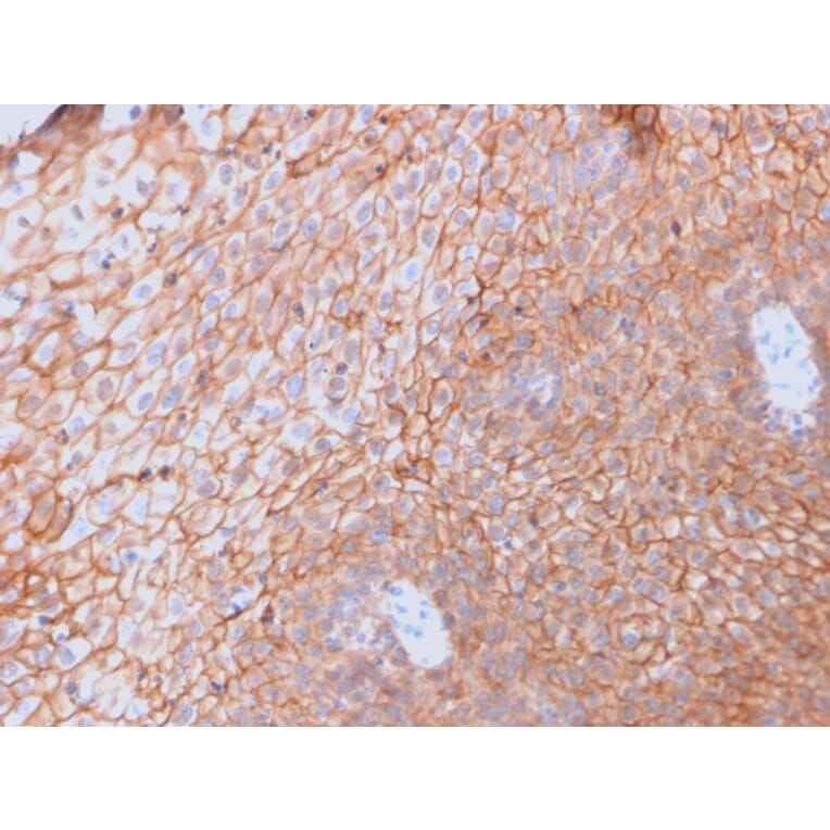
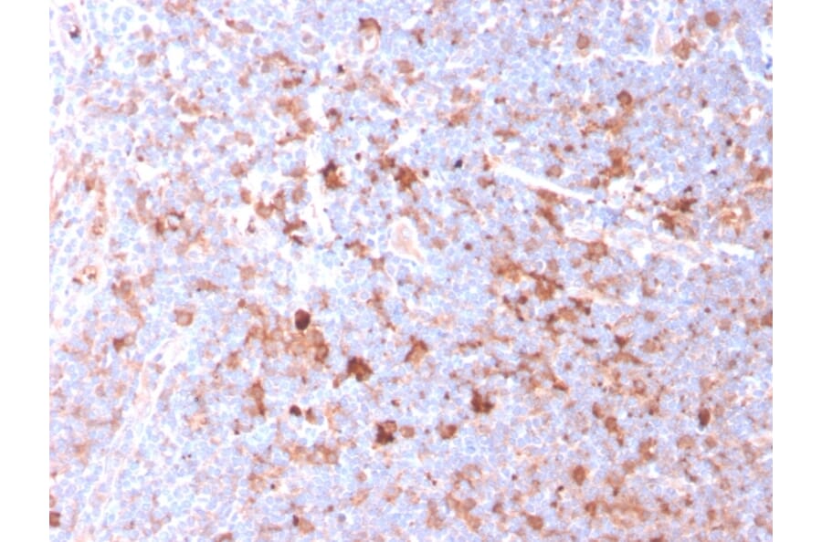
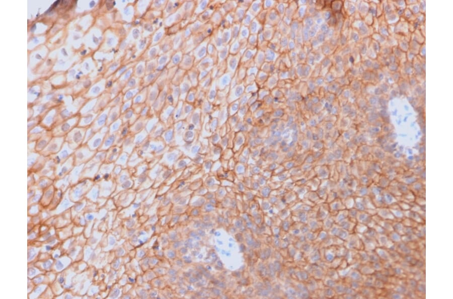
Recombinant human monoclonal antibody to TNFSF5 for use as a research grade Tegoprubart biosimilar for ELISA, Flow Cytometry, Functional Studies and in vivo Research.
Recombinant humanized monoclonal antibody to TNFSF5 for use as a research grade Frexalimab biosimila for ELISA, Flow Cytometry, Functional Studies and in vivo Research.
Recombinant human monoclonal antibody to TNFSF5 for use as a research grade Anti-Human TNFSF5 [ABI79 for ELISA, Flow Cytometry, Functional Studies and in vivo Research.
Recombinant humanized monoclonal antibody to TNFSF5 for use as a research grade Letolizumab biosimil for ELISA, Flow Cytometry, Functional Studies and in vivo Research.
Recombinant humanized monoclonal antibody to TNFSF5 for use as a research grade Dapirolizumab biosim for ELISA, Flow Cytometry, Functional Studies and in vivo Research.
Recombinant humanized monoclonal antibody to TNFSF5 for use as a research grade Ruplizumab biosimila for ELISA, Flow Cytometry, Functional Studies and in vivo Research.
Recombinant humanized monoclonal antibody to TNFSF5 for use as a research grade Toralizumab biosimil for ELISA, Flow Cytometry, Functional Studies and in vivo Research.
Recombinant human monoclonal antibody to TNFSF5 for use as a research grade Tegoprubart biosimilar for ELISA, Flow Cytometry, Functional Studies and in vivo Research.
Recombinant humanized monoclonal antibody to TNFSF5 for use as a research grade Frexalimab biosimila for ELISA, Flow Cytometry, Functional Studies and in vivo Research.
Recombinant human monoclonal antibody to TNFSF5 for use as a research grade Anti-Human TNFSF5 [ABI79 for ELISA, Flow Cytometry, Functional Studies and in vivo Research.
Recombinant humanized monoclonal antibody to TNFSF5 for use as a research grade Letolizumab biosimil for ELISA, Flow Cytometry, Functional Studies and in vivo Research.
Recombinant humanized monoclonal antibody to TNFSF5 for use as a research grade Dapirolizumab biosim for ELISA, Flow Cytometry, Functional Studies and in vivo Research.
Recombinant humanized monoclonal antibody to TNFSF5 for use as a research grade Ruplizumab biosimila for ELISA, Flow Cytometry, Functional Studies and in vivo Research.
Recombinant humanized monoclonal antibody to TNFSF5 for use as a research grade Toralizumab biosimil for ELISA, Flow Cytometry, Functional Studies and in vivo Research.