Western blot analysis of extracts of various cell lines, using Anti-TNFSF5 Antibody (A89100) at 1:1,000 dilution. The secondary antibody was Goat Anti-Rabbit IgG H&L Antibody (HRP) at 1:10,000 dilution. Lysates/proteins were present at 25µg per lane. The blocking buffer used was 3% non-fat dry milk in TBST. Detection was with a ECL Basic Kit. Exposure time: 180s.
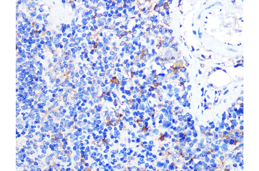
Immunohistochemistry analysis of paraffin-embedded mouse spleen using Anti-TNFSF5 Antibody (A89100) at a dilution of 1:100 (40x lens). Perform microwave antigen retrieval with 10 mM PBS buffer pH 7.2 before commencing with IHC staining protocol.
Immunofluorescence analysis of NIH/3T3 cells using Anti-TNFSF5 Antibody (A89100) at a dilution of 1:100. DAPI was used to stain the cell nuclei (blue).
Recombinant human monoclonal antibody to TNFSF5 for use as a research grade Tegoprubart biosimilar for ELISA, Flow Cytometry, Functional Studies and in vivo Research.
Recombinant humanized monoclonal antibody to TNFSF5 for use as a research grade Frexalimab biosimila for ELISA, Flow Cytometry, Functional Studies and in vivo Research.
Recombinant human monoclonal antibody to TNFSF5 for use as a research grade Anti-Human TNFSF5 [ABI79 for ELISA, Flow Cytometry, Functional Studies and in vivo Research.
Recombinant humanized monoclonal antibody to TNFSF5 for use as a research grade Letolizumab biosimil for ELISA, Flow Cytometry, Functional Studies and in vivo Research.
Recombinant humanized monoclonal antibody to TNFSF5 for use as a research grade Dapirolizumab biosim for ELISA, Flow Cytometry, Functional Studies and in vivo Research.
Recombinant humanized monoclonal antibody to TNFSF5 for use as a research grade Ruplizumab biosimila for ELISA, Flow Cytometry, Functional Studies and in vivo Research.
Recombinant humanized monoclonal antibody to TNFSF5 for use as a research grade Toralizumab biosimil for ELISA, Flow Cytometry, Functional Studies and in vivo Research.
Recombinant human monoclonal antibody to TNFSF5 for use as a research grade Tegoprubart biosimilar for ELISA, Flow Cytometry, Functional Studies and in vivo Research.
Recombinant humanized monoclonal antibody to TNFSF5 for use as a research grade Frexalimab biosimila for ELISA, Flow Cytometry, Functional Studies and in vivo Research.
Recombinant human monoclonal antibody to TNFSF5 for use as a research grade Anti-Human TNFSF5 [ABI79 for ELISA, Flow Cytometry, Functional Studies and in vivo Research.
Recombinant humanized monoclonal antibody to TNFSF5 for use as a research grade Letolizumab biosimil for ELISA, Flow Cytometry, Functional Studies and in vivo Research.
Recombinant humanized monoclonal antibody to TNFSF5 for use as a research grade Dapirolizumab biosim for ELISA, Flow Cytometry, Functional Studies and in vivo Research.
Recombinant humanized monoclonal antibody to TNFSF5 for use as a research grade Ruplizumab biosimila for ELISA, Flow Cytometry, Functional Studies and in vivo Research.
Recombinant humanized monoclonal antibody to TNFSF5 for use as a research grade Toralizumab biosimil for ELISA, Flow Cytometry, Functional Studies and in vivo Research.