ISO 9001:2015 Certified
Live Customer Support
4.5/5 on Trustpilot
100% Quality Guarantee

Anti-CD44 Antibody [SPM544] - BSA and Azide free (A253892)

Mouse monoclonal [SPM544] antibody to CD44 for IF, Functional Studies, WB and IHC-P.

Alternative Formats and ConjugatesAlternative Formats

Shipping Information

$40
Dispatched from St. Louis, MO.
Lead Time: 5-8 business days.
Name
Anti-CD44 Antibody [SPM544] - BSA and Azide free
Description
Mouse monoclonal [SPM544] antibody to CD44.
Specificity
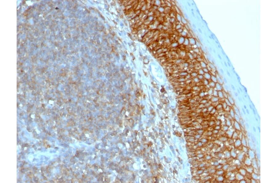
This antibody recognizes a cell surface glycoprotein of 80-95kDa (CD44) on lymphocytes, monocytes, and granulocytes (Leucocyte Typing Workshop V). Its epitope is resistant to digestion by trypsin and chymotrypsin. This MAb selectively interferes with lymphocyte binding to lymph node, mucosal and synovial endothelium. The CD44 family of glycoproteins exists in a number of variant isoforms, the most common being the standard 85-95kDa or hematopoietic variant (CD44s). Higher molecular weight isoforms are described in epithelial cells (CD44v), which are believed to function in intercellular adhesion and stromal binding. CD44 immunostaining is commonly used for the discrimination of urothelial transitional cell carcinoma in-situ from non-neoplastic changes in the urothelium.
Applications
IF, Functional Studies, WB, IHC-P
Dilutions
IF: 1-2 µg/ml, WB: 1-2 µg/ml, IHC-P: 0.25-0.5 µg/ml
Reactivity
Human, Baboon, Green Monkey
Immunogen
Stimulated human leukocytes.
Host
Mouse
Clonality
Monoclonal
Clone ID
SPM544
Isotype
IgG2a
Light Chains
kappa
Conjugate

Unconjugated

Purification
Protein A/G chromatography.
Concentration
1 mg/ml
Molecular Weight
80-95 kDa
Product Form
Liquid
Formulation
Supplied in 10mM Phosphate Buffered Saline; without Sodium Azide and carrier free.
Storage
Shipped at 4°C. Upon delivery aliquot and store at -20°C. Avoid freeze / thaw cycles.
General Notes
This monoclonal antibody is also available in a different formulation with BSA and Sodium Azide - Anti-CD44 Antibody [SPM544] (A250712).
Synonyms
CD44 antigen, CDw44, ECMR-III, Epican, Extracellular matrix receptor III, GP90 lymphocyte homing/adhesion receptor, HUTCH-I, LHR, MDU2, MDU3, MIC4
Disclaimer
This product is for research use only. It is not intended for diagnostic or therapeutic use.
Publishing research using Anti-CD44 Antibody [SPM544] - BSA and Azide free (A253892)? Please let us know so that we can list the citation on this page.

Alternative products to Anti-CD44 Antibody [SPM544] - BSA and Azide free (A253892)

Proteins predicted to interact with CD44

Predicted protein interactions based upon String database. Revelancy score correlates with probability of interaction.
99.9% Relevancy Score
99.9% Relevancy Score
99.9% Relevancy Score
99.9% Relevancy Score
99.9% Relevancy Score
99.8% Relevancy Score
99.8% Relevancy Score
99.8% Relevancy Score
99.7% Relevancy Score