ISO 9001:2015 Certified
Live Customer Support
4.5/5 on Trustpilot
100% Quality Guarantee

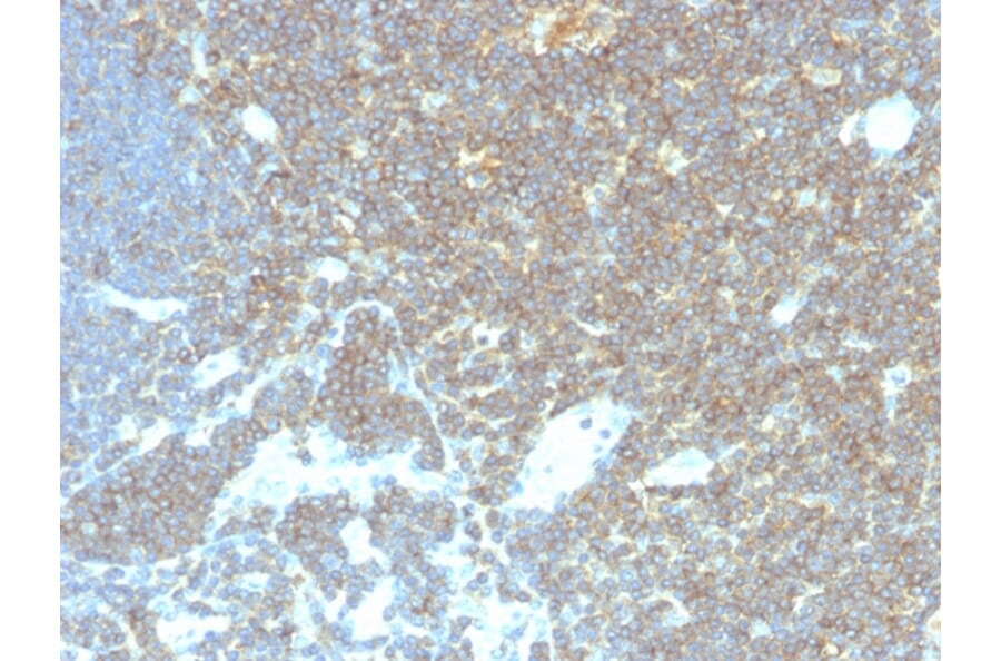
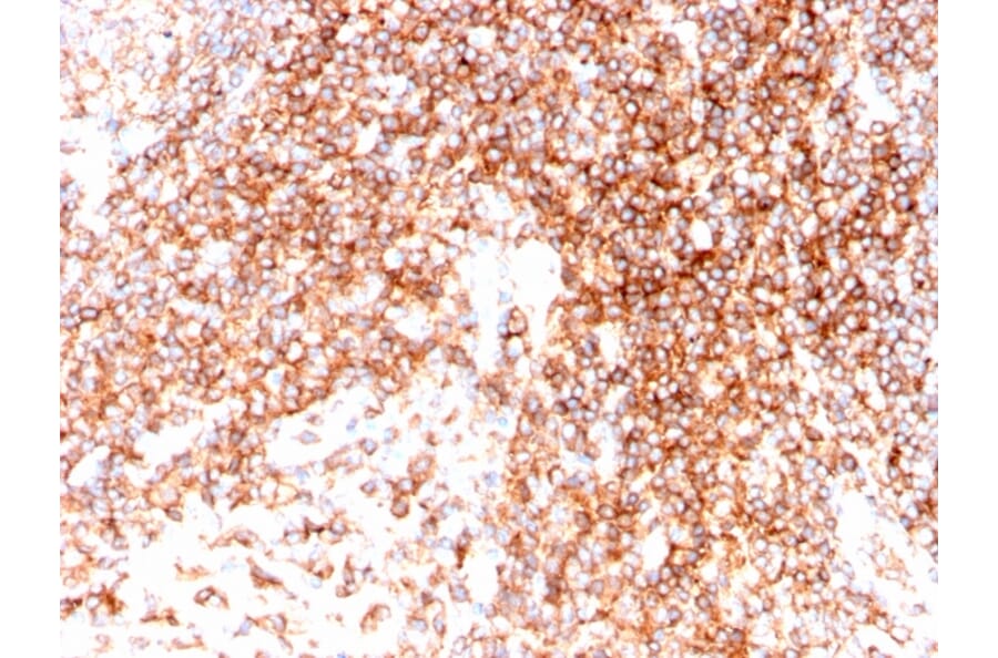
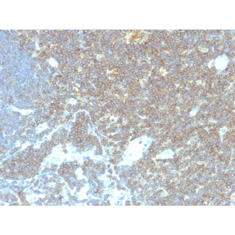
Anti-CD48 Antibody [CD48/4786] (A277860)

Mouse monoclonal [CD48/4786] antibody to CD48 for WB and IHC-P.

Alternative Formats and ConjugatesAlternative Formats

Shipping Information

$40
Dispatched from St. Louis, MO.
Lead Time: 5-8 business days.
Name
Anti-CD48 Antibody [CD48/4786]
Description
Mouse monoclonal [CD48/4786] antibody to CD48.
Specificity
This antibody recognizes human CD48, a 45kDa glycosyl phophatidyl-inositol (GPI)-anchored cell surface protein. CD48 is strongly expressed on lymphocytes and monocytes and weakly on granulocytes but is absent on platelets, fibroblasts, epithelium and endothelium. CD48 is one of marker for detecting the defects of GPI anchoring structure on the patients with paroxysmal nocturnal hemoglobulinuria (PNH) and serves as a low affinity ligand for CD2.
Applications
WB, IHC-P
Dilutions
WB: 2-4 µg/ml, IHC-P: 1-2 µg/ml
Reactivity
Human
Immunogen
Recombinant fragment, around amino acids 59-178, of human CD48 protein. The exact sequence is proprietary.
Host
Mouse
Clonality
Monoclonal
Clone ID
CD48/4786
Isotype
IgG2c
Light Chains
kappa
Conjugate

Unconjugated

Purification
Protein A/G chromatography.
Concentration
200 µg/ml
Molecular Weight
45 kDa
Product Form
Liquid
Formulation
Supplied in 10mM Phosphate Buffered Saline with 0.05% BSA and 0.05% Sodium Azide.
Storage
Shipped at 4°C. Upon delivery aliquot and store at -20°C. Avoid freeze / thaw cycles.
General Notes
This monoclonal antibody is also available in a different formulation without BSA and Sodium Azide - Anti-CD48 Antibody [CD48/4786] - BSA and Azide free (A278448).
Synonyms
B-lymphocyte activation marker BLAST-1, BCM1, BCM1 surface antigen, BLAST1, CD48 antigen, Leukocyte antigen MEM-102, Signaling lymphocytic activation molecule 2, SLAM family member 2, SLAMF2, TCT.1
Disclaimer
This product is for research use only. It is not intended for diagnostic or therapeutic use.
Publishing research using Anti-CD48 Antibody [CD48/4786] (A277860)? Please let us know so that we can list the citation on this page.

Alternative products to Anti-CD48 Antibody [CD48/4786] (A277860)

Proteins predicted to interact with CD48

Predicted protein interactions based upon String database. Revelancy score correlates with probability of interaction.
99.9% Relevancy Score
99.8% Relevancy Score
95.7% Relevancy Score
94.8% Relevancy Score
93.9% Relevancy Score
91.5% Relevancy Score
91.4% Relevancy Score
90.9% Relevancy Score
90.3% Relevancy Score