Anti-CD48 Antibody [CD48/4787] - BSA and Azide free
Description
Mouse monoclonal [CD48/4787] antibody to CD48.
Specificity
This antibody recognizes human CD48, a 45kDa glycosyl phophatidyl-inositol (GPI)-anchored cell surface protein. CD48 is strongly expressed on lymphocytes and monocytes and weakly on granulocytes but is absent on platelets, fibroblasts, epithelium and endothelium. CD48 is one of marker for detecting the defects of GPI anchoring structure on the patients with paroxysmal nocturnal hemoglobulinuria (PNH) and serves as a low affinity ligand for CD2.
Applications
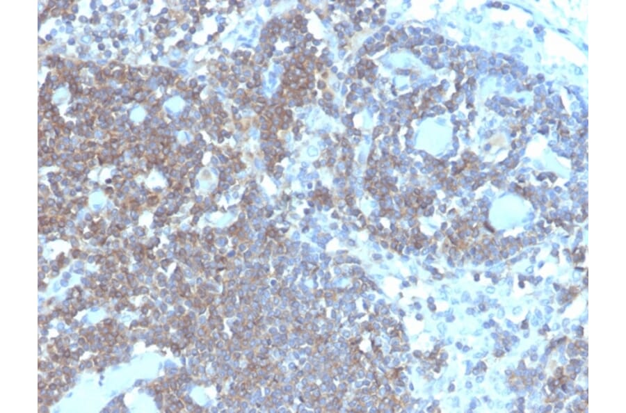
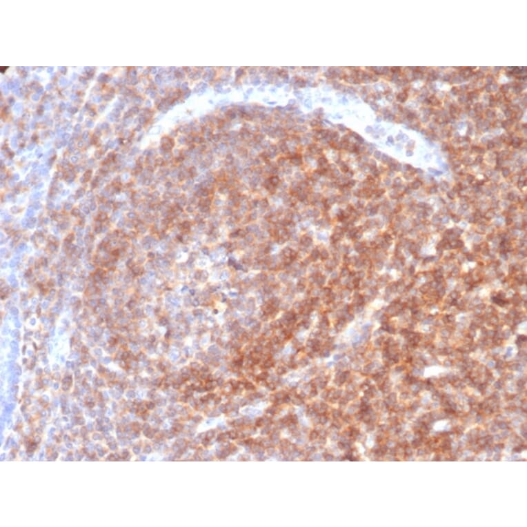
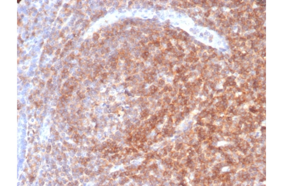
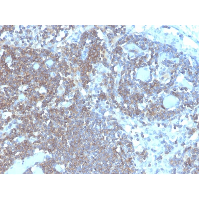
WB, IHC-P
Dilutions
WB: 2-4 µg/ml, IHC-P: 1-2 µg/ml
Reactivity
Human
Immunogen
Recombinant fragment, around amino acids 59-178, of human CD48 protein. The exact sequence is proprietary.
Host
Mouse
Clonality
Monoclonal
Clone ID
CD48/4787
Isotype
IgG2c
Light Chains
kappa
Conjugate
Unconjugated
Purification
Protein A/G chromatography.
Concentration
1 mg/ml
Molecular Weight
45 kDa
Product Form
Liquid
Formulation
Supplied in 10mM Phosphate Buffered Saline; without Sodium Azide and carrier free.
Storage
Shipped at 4°C. Upon delivery aliquot and store at -20°C. Avoid freeze / thaw cycles.
SDS-PAGE analysis of Anti-CD48 Antibody [CD48/4787] under non-reduced and reduced conditions; showing intact IgG and intact heavy and light chains, respectively. SDS-PAGE analysis confirms the integrity and purity of the antibody.
Anti-CD48 Antibody [CD48/4787] - BSA and Azide free (A278449)
Analysis of protein array containing more than 19,000 full-length human proteins using Anti-CD48 Antibody [CD48/4787]. Z-Score and S- Score: The Z-score represents the strength of a signal that a monoclonal antibody (MAb) (in combination with a fluorescently-tagged anti-IgG secondary antibody) produces when binding to a particular protein on the HuProtTM array. Z-scores are described in units of standard deviations (SD's) above the mean value of all signals generated on that array. If targets on HuProtTM are arranged in descending order of the Z-score, the S-score is the difference (also in units of SD's) between the Z-score. S-score therefore represents the relative target specificity of a MAb to its intended target; a MAb is considered to be specific to its intended target, if the MAb has an S-score of at least 2.5. For example, if a MAb binds to protein X with a Z-score of 43 and to protein Y with a Z-score of 14, then the S-score for the binding of that MAb to protein X is equal to 29.
Publishing research using Anti-CD48 Antibody [CD48/4787] - BSA and Azide free (A278449)? Please let us know so that we can list the citation on this page.
Alternative products to Anti-CD48 Antibody [CD48/4787] - BSA and Azide free (A278449)
Human monoclonal antibody to CD48 Research grade Anti-Human CD48 [SGN-CD48A] biosimilar for ELISA, Flow Cytometry, Functional Studies and in vivo Research.
Human monoclonal antibody to CD48 Research grade Anti-Human CD48 [SGN-CD48A] biosimilar for ELISA, Flow Cytometry, Functional Studies and in vivo Research.