Primary Antibodies
Secondary Antibodies
Proteins & Peptides
ELISA Kits
About Us
Contact Us
Sign In/Register
0
ISO 9001:2015 Certified
Live Customer Support
4.5/5 on Trustpilot
100% Quality Guarantee
Home
Primary Antibodies
CD5L Antibodies
Anti-CD5L Antibody (A46919)
Anti-CD5L Antibody (A46919)
Overview
Specifications
Images
Enlarge Image
Enlarge Image
$430
Rabbit polyclonal antibody to CD5L for IHC.
100% Guarantee
Price Match Guarantee
Product Size:
100µl
Quantity:
1
2
3
4
5
6
7
8
9
10
Add To Cart
Request a Quotation
Custom or Bulk Request
Shipping Information
Freight/Packing Charges:
$40
Dispatched from St. Louis, MO.
Lead Time: 6-9 business days.
Specifications
Name
Anti-CD5L Antibody
Description
Rabbit polyclonal antibody to CD5L
Specificity
The antibody detects endogenous levels of total CD5L protein.
Applications
IHC
Reactivity
Human
Immunogen
Synthetic peptide corresponding to residues near the C terminal of human CD5 molecule-like
Host
Rabbit
Clonality
Polyclonal
Conjugate
Unconjugated
Purification
Antigen affinity purification.
Concentration
1.9mg / ml
Formulation
Rabbit IgG in pH7.3 PBS, 0.05% NaN3, 50% Glycerol.
Storage
Store at -20˚C
Synonyms
API6, Apoptosis inhibitor expressed by macrophages, CD5 antigen-like, CT-2, hAIM, IgM-associated peptide, SP-alpha
Suitable Secondaries
Goat Anti-Rabbit IgG H&L Antibody (AP) (A294874)
Goat Anti-Rabbit IgG H&L Antibody (Biotin) (A294795)
Goat Anti-Rabbit IgG H&L Antibody (FITC) (A294887)
Goat Anti-Rabbit IgG H&L Antibody (HRP) (A294888)
See all Anti-Rabbit IgG Secondaries →
Disclaimer
This product is for research use only. It is not intended for diagnostic or therapeutic use.
Scientific Validation Data
Validation Data
(2)
Enlarge Image
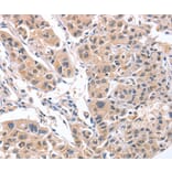
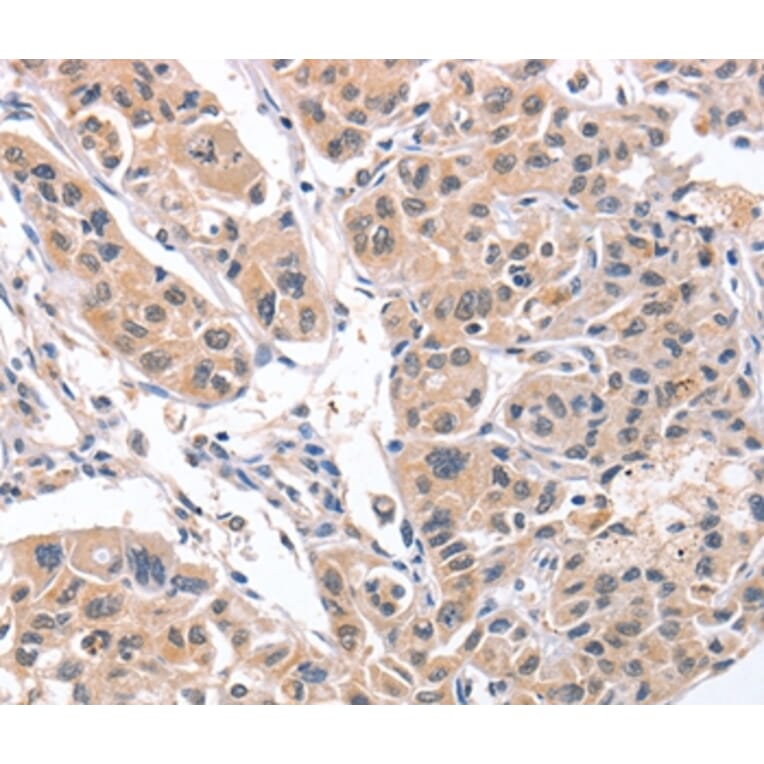
Immunohistochemistry - Anti-CD5L Antibody (A46919)
Immunohistochemical analysis of paraffin-embedded Human liver cancer tissue using #37478 at dilution 1/30.
Enlarge Image
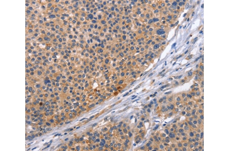
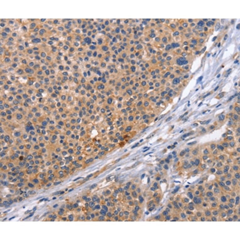
Immunohistochemistry - Anti-CD5L Antibody (A46919)
Immunohistochemical analysis of paraffin-embedded Human lung cancer tissue using #37478 at dilution 1/30.
Publishing research using Anti-CD5L Antibody (A46919)? Please
let us know
so that we can list the citation on this page.
Alternative products to Anti-CD5L Antibody (A46919)
(4)
A253717
Anti-CD5L Antibody [CD5L/2991] - BSA and Azide free
Mouse monoclonal [CD5L/2991] antibody to CD5L for Flow Cytometry, WB, IF and IHC-P.
(4)
A250537
Anti-CD5L Antibody [CD5L/2991]
Mouse monoclonal [CD5L/2991] antibody to CD5L for Flow Cytometry, WB, IF and IHC-P.
(4)
A278431
Anti-CD5L Antibody [CD5L/4420] - BSA and Azide free
Mouse monoclonal [CD5L/4420] antibody to CD5L for IHC-P.
(4)
A277843
Anti-CD5L Antibody [CD5L/4420]
Mouse monoclonal [CD5L/4420] antibody to CD5L for IHC-P.
A44081
Anti-CD5L Antibody
Rabbit polyclonal antibody to CD5L for WB.
(4)
A253717
Anti-CD5L Antibody [CD5L/2991] - BSA and Azide free
Mouse monoclonal [CD5L/2991] antibody to CD5L for Flow Cytometry, WB, IF and IHC-P.
(4)
A250537
Anti-CD5L Antibody [CD5L/2991]
Mouse monoclonal [CD5L/2991] antibody to CD5L for Flow Cytometry, WB, IF and IHC-P.
(4)
A278431
Anti-CD5L Antibody [CD5L/4420] - BSA and Azide free
Mouse monoclonal [CD5L/4420] antibody to CD5L for IHC-P.
(4)
A277843
Anti-CD5L Antibody [CD5L/4420]
Mouse monoclonal [CD5L/4420] antibody to CD5L for IHC-P.
A44081
Anti-CD5L Antibody
Rabbit polyclonal antibody to CD5L for WB.
See all CD5L Antibodies
Proteins predicted to interact with CD5L
Predicted protein interactions based upon String database. Revelancy score correlates with probability of interaction.
CD5 Antibodies
89.1% Relevancy Score
uPA Antibodies
83.5% Relevancy Score
BIP Antibodies
76.9% Relevancy Score
CD68 Antibodies
72.6% Relevancy Score
UGT1A1 Antibodies
71.3% Relevancy Score
UGT1A10 Antibodies
66.7% Relevancy Score
UGT1A6 Antibodies
64.9% Relevancy Score
UGT1A4 Antibodies
64.9% Relevancy Score
alpha 1 Spectrin Antibodies
63.3% Relevancy Score
Top