ISO 9001:2015 Certified
Live Customer Support
4.5/5 on Trustpilot
100% Quality Guarantee

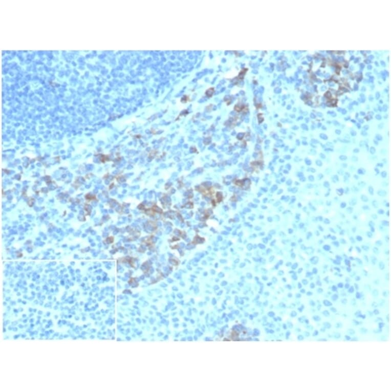
Anti-CD5L Antibody [CD5L/4420] - BSA and Azide free (A278431)

Mouse monoclonal [CD5L/4420] antibody to CD5L for IHC-P.

Alternative Formats and ConjugatesAlternative Formats

Shipping Information

$40
Dispatched from St. Louis, MO.
Lead Time: 5-8 business days.
Name
Anti-CD5L Antibody [CD5L/4420] - BSA and Azide free
Description
Mouse monoclonal [CD5L/4420] antibody to CD5L.
Specificity
CD5L (CD5 molecule-like), also known as API6, PRO229, Spα or SP-ALPHA, is a 347 amino acid secreted protein that belongs to the scavenger receptor cysteine-rich (SRCR) family of leukocyte regulating proteins. Expressed in bone marrow, spleen, thymus, lymph node and fetal liver, CD5L is thought to be involved in regulating the immune system via binding to peripheral monocytes and mediating their activation and overall survival. CD5L has three cysteine-rich domains and, in addition to its role in the immune system, may function to inhibit apoptosis and promote macrophage survival.
Applications
IHC-P
Dilutions
IHC-P: 1-2 µg/ml
Reactivity
Human
Immunogen
Recombinant fragment, around amino acids 269-366, of human CD5 protein. The exact sequence is proprietary.
Host
Mouse
Clonality
Monoclonal
Clone ID
CD5L/4420
Isotype
IgG1
Light Chains
kappa
Conjugate

Unconjugated

Purification
Protein A/G chromatography.
Concentration
1 mg/ml
Molecular Weight
38 kDa
Product Form
Liquid
Formulation
Supplied in 10mM Phosphate Buffered Saline; without Sodium Azide and carrier free.
Storage
Shipped at 4°C. Upon delivery aliquot and store at -20°C. Avoid freeze / thaw cycles.
General Notes
This monoclonal antibody is also available in a different formulation with BSA and Sodium Azide - Anti-CD5L Antibody [CD5L/4420] (A277843).
Synonyms
API6, Apoptosis inhibitor expressed by macrophages, CD5 antigen-like, CT-2, hAIM, IgM-associated peptide, SP-alpha
Disclaimer
This product is for research use only. It is not intended for diagnostic or therapeutic use.
Publishing research using Anti-CD5L Antibody [CD5L/4420] - BSA and Azide free (A278431)? Please let us know so that we can list the citation on this page.

Alternative products to Anti-CD5L Antibody [CD5L/4420] - BSA and Azide free (A278431)

Proteins predicted to interact with CD5L

Predicted protein interactions based upon String database. Revelancy score correlates with probability of interaction.
89.1% Relevancy Score
83.5% Relevancy Score
76.9% Relevancy Score
72.6% Relevancy Score
71.3% Relevancy Score
66.7% Relevancy Score
64.9% Relevancy Score
64.9% Relevancy Score
63.3% Relevancy Score