ISO 9001:2015 Certified
Live Customer Support
4.5/5 on Trustpilot
100% Quality Guarantee

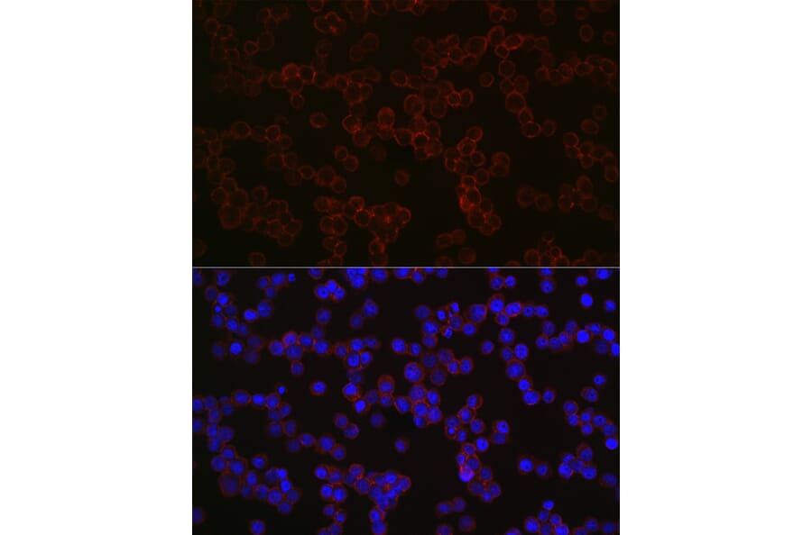
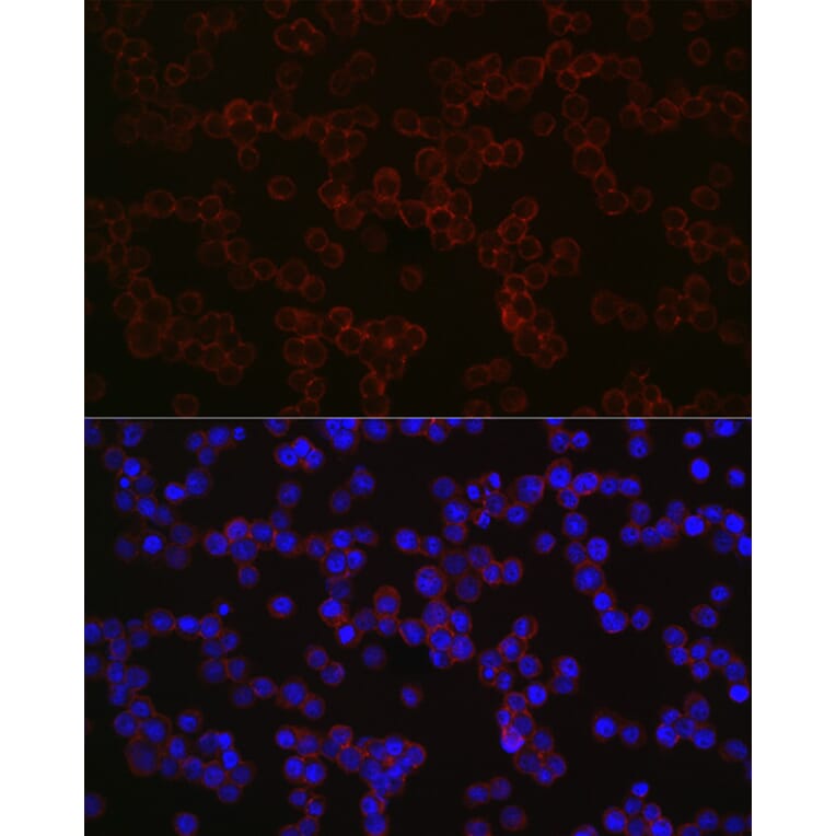
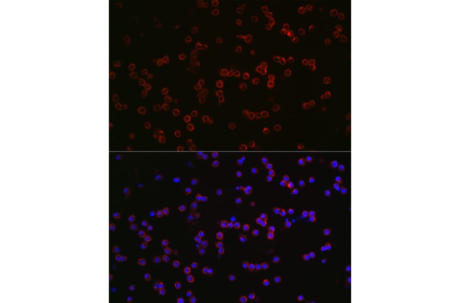
Anti-CD68 Antibody (A15276)

Rabbit polyclonal antibody to CD68 for WB and ICC/IF.

Shipping Information

$40
Dispatched from St. Louis, MO.
Lead Time: 7-10 business days.
Name
Anti-CD68 Antibody
Description
Rabbit polyclonal antibody to CD68.
Applications
WB, ICC/IF
Dilutions
WB: 1:500-1:1,000, ICC/IF: 1:50-1:200
Reactivity
Human, Mouse, Rat
Immunogen
Recombinant fusion protein containing a sequence corresponding to amino acids 200-310 of human CD68 (NP_001242.2).
Sequence
KTKVQGSCEGAHPHLLLSFPYGHLSFGFMQDLQQKVVYLSYMAVEYNVSFPHAAQWTFSAQNASLRDLQAPLGQSFSCSNSSIILSPAVHLDLLSLRLQAAQLPHTGVFGQ
Host
Rabbit
Clonality
Polyclonal
Isotype
IgG
Conjugate

Unconjugated

Purification
Affinity purification.
Concentration
Lot Specific
Molecular Weight
80 - 130 kDa
Product Form
Liquid
Formulation
Supplied in Phosphate Buffered Saline, pH 7.3, with 50% Glycerol and 0.05% Proclin 300.
Storage
Shipped at 4°C. Upon delivery aliquot and store at -20°C. Avoid freeze/thaw cycles.
Synonyms
Gp110, Macrosialin
Disclaimer
This product is for research use only. It is not intended for diagnostic or therapeutic use.
Publishing research using Anti-CD68 Antibody (A15276)? Please let us know so that we can list the citation on this page.

Most popular Anti-CD68 Antibodies

Alternative products to Anti-CD68 Antibody (A15276)

Proteins predicted to interact with CD68

Predicted protein interactions based upon String database. Revelancy score correlates with probability of interaction.
92.2% Relevancy Score
91.9% Relevancy Score
91.5% Relevancy Score
90.6% Relevancy Score
90.6% Relevancy Score
90% Relevancy Score
89.8% Relevancy Score
89.6% Relevancy Score
89.3% Relevancy Score