ISO 9001:2015 Certified
Live Customer Support
4.5/5 on Trustpilot
100% Quality Guarantee

Anti-CD68 Antibody [C68/684] - BSA and Azide free (A253939)

Mouse monoclonal [C68/684] antibody to CD68 for WB, IF, Flow Cytometry and IHC-P.

Alternative Formats and ConjugatesAlternative Formats

Shipping Information

$40
Dispatched from St. Louis, MO.
Lead Time: 5-8 business days.
Name
Anti-CD68 Antibody [C68/684] - BSA and Azide free
Description
Mouse monoclonal [C68/684] antibody to CD68.
Specificity
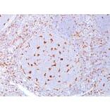
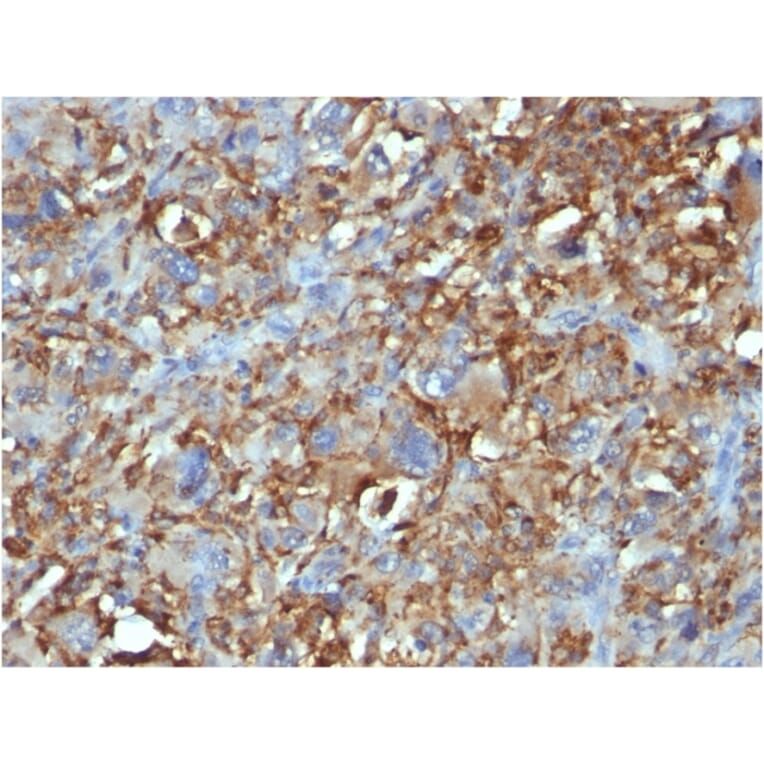
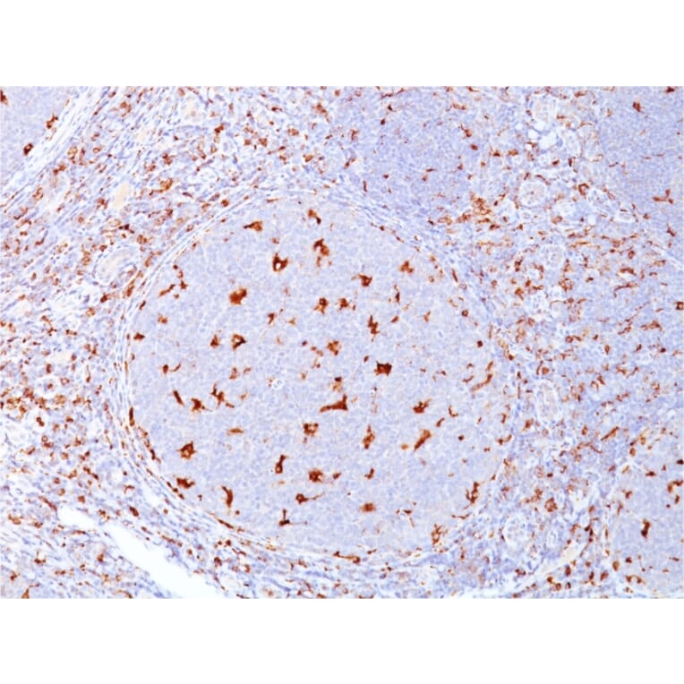
This antibody recognizes a glycoprotein of 110kDa, which is identified as CD68. It is important for identifying macrophages in tissue sections. It stains macrophages in a wide variety of human tissues, including Kupffer cells and macrophages in the red pulp of the spleen, in lamina propria of the gut, in lung alveoli, and in bone marrow. It reacts with myeloid precursors and peripheral blood granulocytes. It also reacts with plasmacytoid T cells, which are supposed to be of monocyte/macrophage origin. It shows strong granular cytoplasmic staining of chronic and acute myeloid leukemia and also reacts with rare cases of true histiocyticneoplasia. Lymphomas are negative or show few granules.
Applications
WB, IF, Flow Cytometry, IHC-P
Dilutions
WB: 1-2 µg/ml, IF: 1-2 µg/ml, Flow Cytometry: 1-2 µg/million cells, IHC-P: 1-2 µg/ml
Reactivity
Human, Monkey, Mouse, Rat
Immunogen
Recombinant human CD68 protein.
Host
Mouse
Clonality
Monoclonal
Clone ID
C68/684
Isotype
IgG1
Light Chains
kappa
Conjugate

Unconjugated

Purification
Protein A/G chromatography.
Concentration
1 mg/ml
Molecular Weight
110 kDa
Product Form
Liquid
Formulation
Supplied in 10mM Phosphate Buffered Saline; without Sodium Azide and carrier free.
Storage
Shipped at 4°C. Upon delivery aliquot and store at -20°C. Avoid freeze / thaw cycles.
General Notes
This monoclonal antibody is also available in a different formulation with BSA and Sodium Azide - Anti-CD68 Antibody [C68/684] (A250759).
Synonyms
Gp110, Macrosialin
Disclaimer
This product is for research use only. It is not intended for diagnostic or therapeutic use.
Publishing research using Anti-CD68 Antibody [C68/684] - BSA and Azide free (A253939)? Please let us know so that we can list the citation on this page.

Most popular Anti-CD68 Antibodies

Alternative products to Anti-CD68 Antibody [C68/684] - BSA and Azide free (A253939)

Proteins predicted to interact with CD68

Predicted protein interactions based upon String database. Revelancy score correlates with probability of interaction.
92.2% Relevancy Score
91.9% Relevancy Score
91.5% Relevancy Score
90.6% Relevancy Score
90.6% Relevancy Score
90% Relevancy Score
89.8% Relevancy Score
89.6% Relevancy Score
89.3% Relevancy Score