Western Blot - Anti-CD7 Antibody [ARC1634] (A308416)
Western blot analysis of extracts of Jurkat cells, using Anti-CD7 Antibody (A308416) at 1:1,000 dilution. The secondary antibody was Goat Anti-Rabbit IgG H&L Antibody (HRP) at 1:10,000 dilution. Lysates/proteins were present at 25µg per lane. The blocking buffer used was 3% non-fat dry milk in TBST. Detection was with a ECL Basic Kit. Exposure time: 30s.
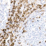
Immunohistochemistry analysis of paraffin-embedded human tonsil using Anti-CD7 Antibody (A308416) at a dilution of 1:10000 (40x lens). Perform high pressure antigen retrieval with 10 mM Tris/EDTA buffer pH 9.0 before commencing with IHC staining protocol.
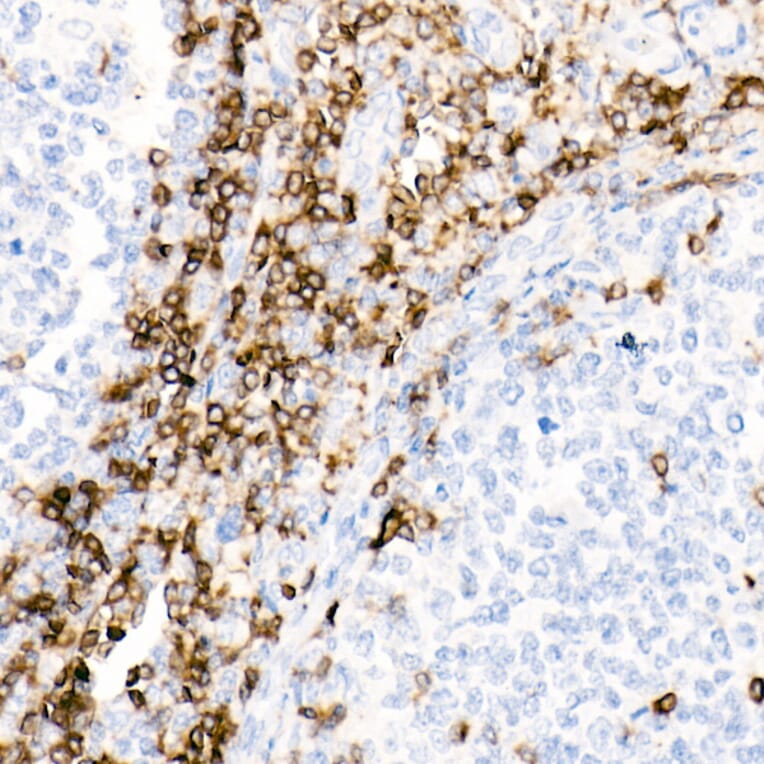
Immunohistochemistry analysis of paraffin-embedded human colon tissue using Anti-CD7 Antibody (A308416) at a dilution of 1:10000 (40x lens). Perform high pressure antigen retrieval with 10 mM Tris/EDTA buffer pH 9.0 before commencing with IHC staining protocol.
Immunohistochemistry analysis of paraffin-embedded human brain (negative control sample) using Anti-CD7 Antibody (A308416) at a dilution of 1:10000 (40x lens). Perform high pressure antigen retrieval with 10 mM Tris/EDTA buffer pH 9.0 before commencing with IHC staining protocol.
Publishing research using Anti-CD7 Antibody [ARC1634] (A308416)? Please let us know so that we can list the citation on this page.
Alternative products to Anti-CD7 Antibody [ARC1634] (A308416)
Recombinant mouse monoclonal antibody to CD7 for use as a research grade Grisnilimab biosimilar for ELISA, Flow Cytometry, Functional Studies and in vivo Research.
Recombinant human monoclonal antibody to CD7 for use as a research grade Anti-Human CD7 [GC027] bios for ELISA, Flow Cytometry, Functional Studies and in vivo Research.
Recombinant mouse monoclonal antibody to CD7 for use as a research grade Grisnilimab biosimilar for ELISA, Flow Cytometry, Functional Studies and in vivo Research.
Recombinant human monoclonal antibody to CD7 for use as a research grade Anti-Human CD7 [GC027] bios for ELISA, Flow Cytometry, Functional Studies and in vivo Research.