ISO 9001:2015 Certified
Live Customer Support
4.5/5 on Trustpilot
100% Quality Guarantee

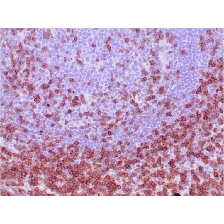
Anti-CD7 Antibody [CD7/3737] - BSA and Azide free (A253729)

Mouse monoclonal [CD7/3737] antibody to CD7 for WB and IHC-P.

Alternative Formats and ConjugatesAlternative Formats

Shipping Information

$40
Dispatched from St. Louis, MO.
Lead Time: 5-8 business days.
Name
Anti-CD7 Antibody [CD7/3737] - BSA and Azide free
Description
Mouse monoclonal [CD7/3737] antibody to CD7.
Specificity
This antibody recognizes a protein of 40kDa, identified as CD7 (also known as gp40, Leu9). CD7 is a member of the immunoglobulin gene superfamily. Its N-terminal amino acids 1-107 are highly homologous to Ig kappa-L chains whereas the carboxyl-terminal region of the extracellular domain is proline-rich and has been postulated to form a stalk from which the Ig domain projects. CD7 is expressed on the majority of immature and mature T-lymphocytes, and T cell leukemia. It is also found on natural killer cells, a small subpopulation of normal B cells and on malignant B cells. Cross-linking surface CD7 positively modulates T cell and NK cell activity as measured by calcium fluxes, expression of adhesion molecules, cytokine secretion and proliferation. CD7 associates directly with phosphoinositol 3-kinase. CD7 ligation induces production of D-3 phosphoinositides and tyrosine phosphorylation.
Applications
WB, IHC-P
Dilutions
WB: 1-2 µg/ml, IHC-P: 1-2 µg/ml
Reactivity
Human
Immunogen
Recombinant fragment, around amino acids 72-175, of human CD7 protein. The exact sequence is proprietary.
Host
Mouse
Clonality
Monoclonal
Clone ID
CD7/3737
Isotype
IgG1
Light Chains
kappa
Conjugate

Unconjugated

Purification
Protein A/G chromatography.
Concentration
1 mg/ml
Molecular Weight
40 kDa
Product Form
Liquid
Formulation
Supplied in 10mM Phosphate Buffered Saline; without Sodium Azide and carrier free.
Storage
Shipped at 4°C. Upon delivery aliquot and store at -20°C. Avoid freeze / thaw cycles.
General Notes
This monoclonal antibody is also available in a different formulation with BSA and Sodium Azide - Anti-CD7 Antibody [CD7/3737] (A250549).
Synonyms
GP40, T-cell antigen CD7, T-cell leukemia antigen, T-cell surface antigen Leu-9, TP41
Disclaimer
This product is for research use only. It is not intended for diagnostic or therapeutic use.
Publishing research using Anti-CD7 Antibody [CD7/3737] - BSA and Azide free (A253729)? Please let us know so that we can list the citation on this page.

Alternative products to Anti-CD7 Antibody [CD7/3737] - BSA and Azide free (A253729)

Proteins predicted to interact with CD7

Predicted protein interactions based upon String database. Revelancy score correlates with probability of interaction.
97.9% Relevancy Score
97% Relevancy Score
96.4% Relevancy Score
92.3% Relevancy Score
90.1% Relevancy Score
89.8% Relevancy Score
88.2% Relevancy Score
88% Relevancy Score
87.4% Relevancy Score