ISO 9001:2015 Certified
Live Customer Support
4.5/5 on Trustpilot
100% Quality Guarantee

Anti-CD74 Antibody [CLIP/6609] - BSA and Azide free (A278451)

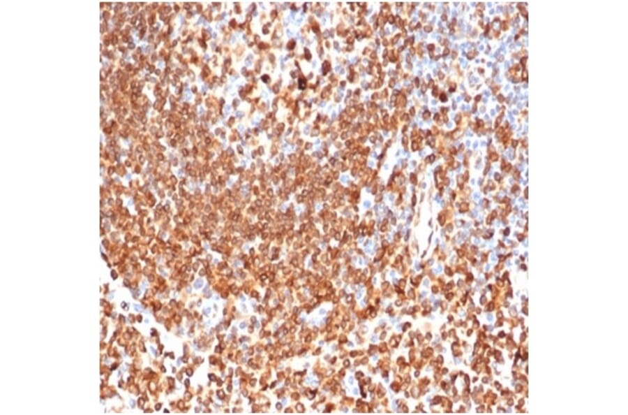
Mouse monoclonal [CLIP/6609] antibody to CD74 for IHC-P.

Alternative Formats and ConjugatesAlternative Formats

Shipping Information

$40
Dispatched from St. Louis, MO.
Lead Time: 5-8 business days.
Name
Anti-CD74 Antibody [CLIP/6609] - BSA and Azide free
Description
Mouse monoclonal [CLIP/6609] antibody to CD74.
Specificity
It recognizes a protein of ~35kDa, identified as CD74 (Workshop IV). CD74 is a type II transmembrane protein which binds to the peptide binding groove of newly synthesized MHC class II alpha/beta heterodimers and prevents their premature association with endogenous polypeptides. CD74 is expressed primarily by antigen presenting cells, such as B-lymphocytes (from before the pre-B cell stage to before the plasma cell stage), macrophages, and monocytes, and many epithelial cells. Anti-CD74 stains predominantly germinal center lymphocytes and B-cell lymphomas, but rarely T-cell lymphomas. Anti-CD74 has been shown to be useful in differentiating atypical fibroxanthoma (-) from malignant fibrous histiocytoma (+).
Applications
IHC-P
Dilutions
IHC-P: 1-2 µg/ml
Reactivity
Human
Immunogen
Recombinant fragment corresponding to human CD74 protein. The exact sequence is proprietary.
Host
Mouse
Clonality
Monoclonal
Clone ID
CLIP/6609
Isotype
IgG2b
Light Chains
kappa
Conjugate

Unconjugated

Purification
Protein A/G chromatography.
Concentration
1 mg/ml
Molecular Weight
33-41 kDa
Product Form
Liquid
Formulation
Supplied in 10mM Phosphate Buffered Saline; without Sodium Azide and carrier free.
Storage
Shipped at 4°C. Upon delivery aliquot and store at -20°C. Avoid freeze / thaw cycles.
General Notes
This monoclonal antibody is also available in a different formulation with BSA and Sodium Azide - Anti-CD74 Antibody [CLIP/6609] (A277863).
Synonyms
DHLAG, HLA class II histocompatibility antigen gamma chain, HLA-DR antigens-associated invariant chain, Ia antigen-associated invariant chain, Ii
Disclaimer
This product is for research use only. It is not intended for diagnostic or therapeutic use.
Publishing research using Anti-CD74 Antibody [CLIP/6609] - BSA and Azide free (A278451)? Please let us know so that we can list the citation on this page.

Alternative products to Anti-CD74 Antibody [CLIP/6609] - BSA and Azide free (A278451)

Proteins predicted to interact with CD74

Predicted protein interactions based upon String database. Revelancy score correlates with probability of interaction.
99.9% Relevancy Score
99.9% Relevancy Score
99.9% Relevancy Score
99.7% Relevancy Score
99.7% Relevancy Score
99.5% Relevancy Score
99.4% Relevancy Score
99.4% Relevancy Score
99.4% Relevancy Score