Western blot analysis of extracts of Raji cells, using Anti-CD79b Antibody (A13824) at 1:1,000 dilution. The secondary antibody was Goat Anti-Rabbit IgG H&L Antibody (HRP) at 1:10,000 dilution. Lysates/proteins were present at 25µg per lane. The blocking buffer used was 3% non-fat dry milk in TBST. Detection was with a ECL Enhanced Kit. Exposure time: 180s.
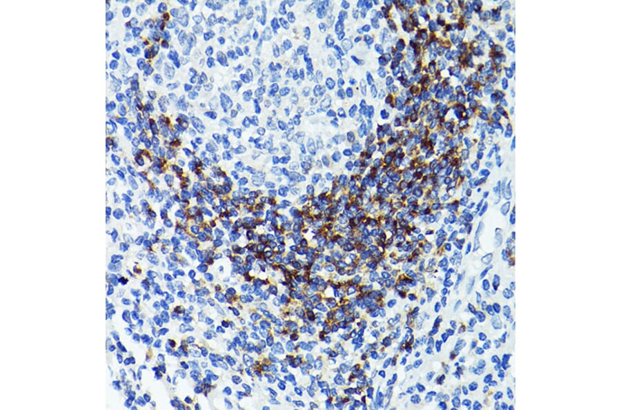
Immunohistochemistry analysis of paraffin-embedded human tonsil using Anti-CD79b Antibody (A13824) at a dilution of 1:100 (40x lens). Perform microwave antigen retrieval with 10 mM PBS buffer pH 7.2 before commencing with IHC staining protocol.
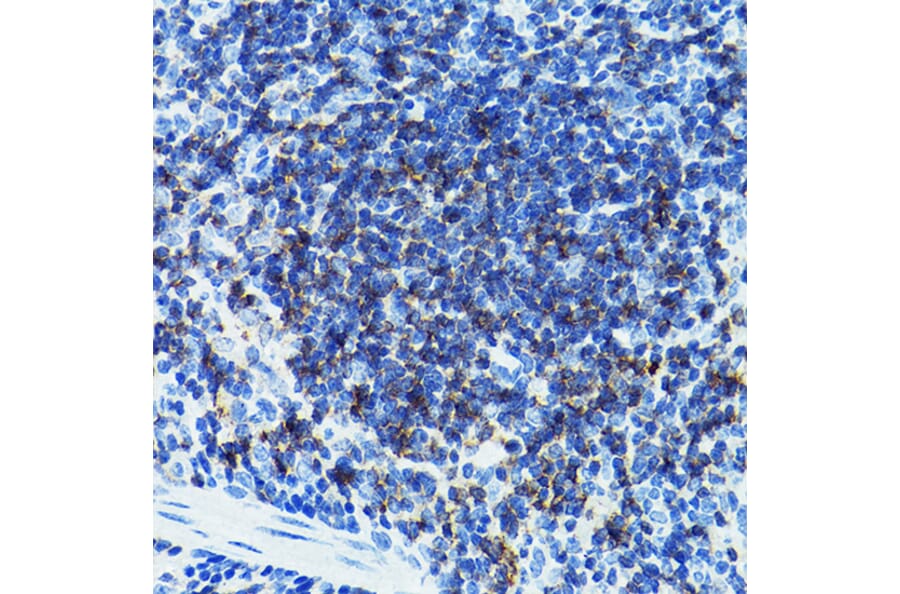
Immunohistochemistry analysis of paraffin-embedded mouse spleen using Anti-CD79b Antibody (A13824) at a dilution of 1:100 (40x lens). Perform microwave antigen retrieval with 10 mM PBS buffer pH 7.2 before commencing with IHC staining protocol.
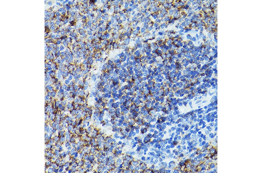
Immunohistochemistry analysis of paraffin-embedded rat spleen using Anti-CD79b Antibody (A13824) at a dilution of 1:100 (40x lens). Perform microwave antigen retrieval with 10 mM PBS buffer pH 7.2 before commencing with IHC staining protocol.
Publishing research using Anti-CD79b Antibody (A13824)? Please let us know so that we can list the citation on this page.
Alternative products to Anti-CD79b Antibody (A13824)
Recombinant humanized monoclonal antibody to CD79b for use as a research grade Iladatuzumab biosimil for ELISA, Flow Cytometry, Functional Studies and in vivo Research.
Recombinant humanized monoclonal antibody to CD79b for use as a research grade Polatuzumab biosimila for ELISA, Flow Cytometry, Functional Studies and in vivo Research.
Recombinant humanized monoclonal antibody to CD79b for use as a research grade Iladatuzumab biosimil for ELISA, Flow Cytometry, Functional Studies and in vivo Research.
Recombinant humanized monoclonal antibody to CD79b for use as a research grade Polatuzumab biosimila for ELISA, Flow Cytometry, Functional Studies and in vivo Research.