Western Blot - Anti-CD79b Antibody [ARC52688] (A306997)
Western blot analysis of extracts of Raji cells, using Anti-CD79b Antibody (A306997) at 1:1,000 dilution. The secondary antibody was Goat Anti-Rabbit IgG H&L Antibody (HRP) at 1:10,000 dilution. Lysates/proteins were present at 25µg per lane. The blocking buffer used was 3% non-fat dry milk in TBST. Detection was with a ECL Basic Kit. Exposure time: 1s.
Immunohistochemistry analysis of paraffin-embedded human brain tissue using Anti-CD79b Antibody (A306997) at a dilution of 1:100 (40x lens). Perform high pressure antigen retrieval with 10 mM citrate buffer pH 6.0 before commencing with IHC staining protocol.
Immunohistochemistry analysis of paraffin-embedded human tonsil using Anti-CD79b Antibody (A306997) at a dilution of 1:100 (40x lens). Perform high pressure antigen retrieval with 10 mM citrate buffer pH 6.0 before commencing with IHC staining protocol.
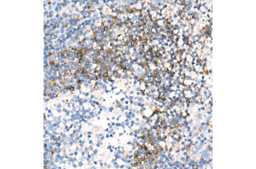
Immunohistochemistry analysis of paraffin-embedded mouse spleen using Anti-CD79b Antibody (A306997) at a dilution of 1:100 (40x lens). Perform high pressure antigen retrieval with 10 mM citrate buffer pH 6.0 before commencing with IHC staining protocol.
Immunofluorescence analysis of mouse spleen using Anti-CD79b Antibody (A306997) at a dilution of 1:100 (40x lens). DAPI was used to stain the cell nuclei (blue).
Immunofluorescence analysis of rat spleen using Anti-CD79b Antibody (A306997) at a dilution of 1:100 (40x lens). DAPI was used to stain the cell nuclei (blue).
Recombinant humanized monoclonal antibody to CD79b for use as a research grade Iladatuzumab biosimil for ELISA, Flow Cytometry, Functional Studies and in vivo Research.
Recombinant humanized monoclonal antibody to CD79b for use as a research grade Polatuzumab biosimila for ELISA, Flow Cytometry, Functional Studies and in vivo Research.
Recombinant humanized monoclonal antibody to CD79b for use as a research grade Iladatuzumab biosimil for ELISA, Flow Cytometry, Functional Studies and in vivo Research.
Recombinant humanized monoclonal antibody to CD79b for use as a research grade Polatuzumab biosimila for ELISA, Flow Cytometry, Functional Studies and in vivo Research.