Western Blot - Anti-CD8 alpha Antibody [ARC0329] (A306457)
Western blot analysis of extracts of various cell lines, using Anti-CD8 alpha Antibody [ARC0329] (A306457) at 1:1,000 dilution. The secondary antibody was Goat Anti-Rabbit IgG H&L Antibody (HRP) at 1:10,000 dilution. Lysates/proteins were present at 25µg per lane. The blocking buffer used was 3% non-fat dry milk in TBST. Detection was with a ECL Basic Kit. Exposure time: 3min.
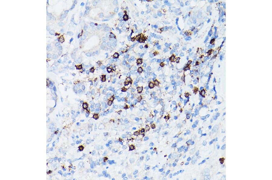
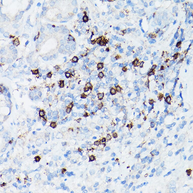
Immunohistochemistry analysis of paraffin-embedded human intestinal T-cell lymphoma using Anti-CD8 alpha Antibody [ARC0329] (A306457) at a dilution of 1:100 (40x lens). Perform high pressure antigen retrieval with 10 mM citrate buffer pH 6.0 before commencing with IHC staining protocol.
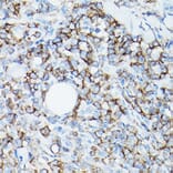
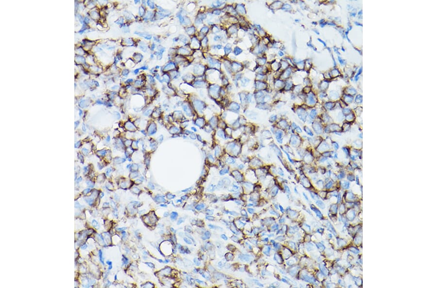
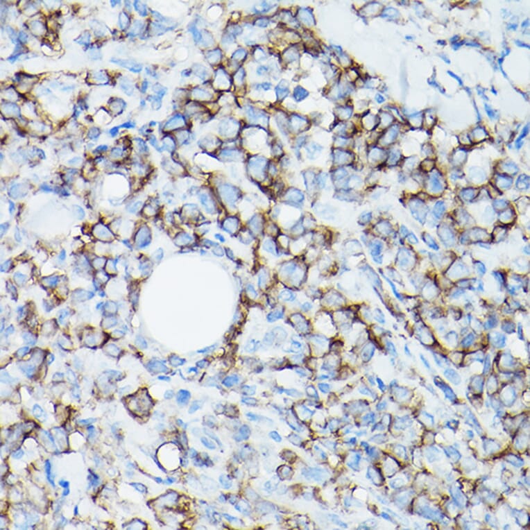
Immunohistochemistry analysis of paraffin-embedded human T-cell malignant lymphoma using Anti-CD8 alpha Antibody [ARC0329] (A306457) at a dilution of 1:100 (40x lens). Perform high pressure antigen retrieval with 10 mM citrate buffer pH 6.0 before commencing with IHC staining protocol.
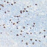
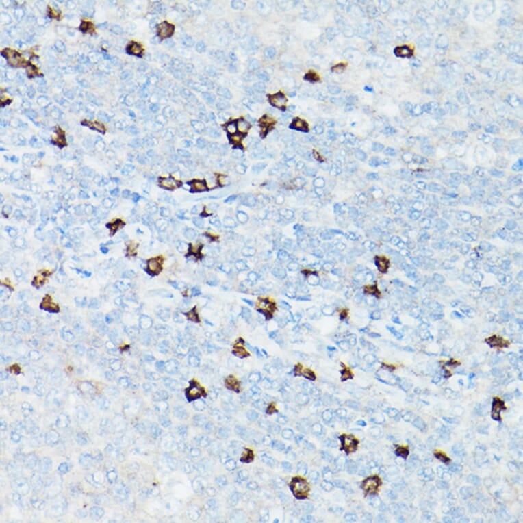
Immunohistochemistry analysis of paraffin-embedded human tonsil using Anti-CD8 alpha Antibody [ARC0329] (A306457) at a dilution of 1:100 (40x lens). Perform high pressure antigen retrieval with 10 mM citrate buffer pH 6.0 before commencing with IHC staining protocol.
Flow cytometry analysis of U937 cells, stained with Rabbit IgG isotype control (10 µg/ml, blue line) or Anti-CD8 alpha Antibody [ARC0329] (A306457), (10 µg/ml orange line), followed by FITC conjugated goat anti-Rabbit polyclonal antibody (AS083, 1:200 dilution) staining. Non-fluorescently stained U937 cells, used as blank control (red line).
Flow cytometry analysis of Jurkat cells, stained with Rabbit IgG isotype control (10 µg/ml, blue line) or Anti-CD8 alpha Antibody [ARC0329] (A306457), (10 µg/ml orange line), followed by FITC conjugated goat anti-Rabbit polyclonal antibody (AS083, 1:200 dilution) staining. Non-fluorescently stained Jurkat cells, used as blank control (red line).
Flow cytometry analysis of TALL-104 cells, stained with Rabbit IgG isotype control (10 µg/ml, blue line) or Anti-CD8 alpha Antibody [ARC0329] (A306457), (10 µg/ml orange line), followed by FITC conjugated goat anti-Rabbit polyclonal antibody (AS083, 1:200 dilution) staining. Non-fluorescently stained TALL-104 cells, used as blank control (red line).