Anti-CD8A Antibody [CD8/4391R] - BSA and Azide free
Description
Recombinant rabbit monoclonal [CD8/4391R] antibody to CD8A.
Specificity
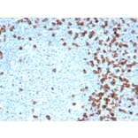
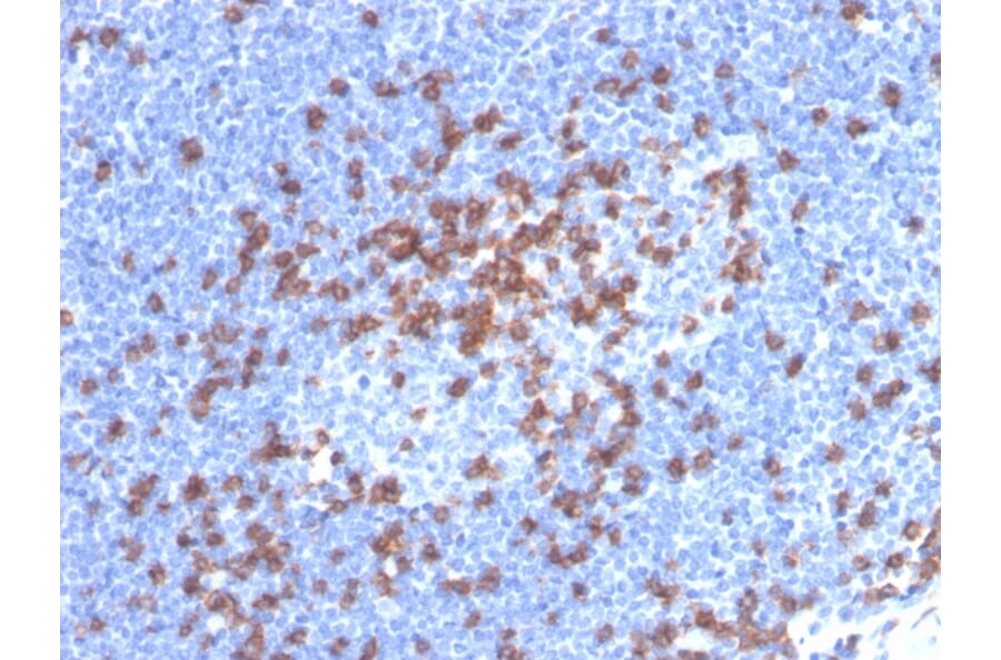
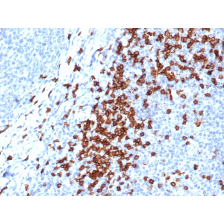
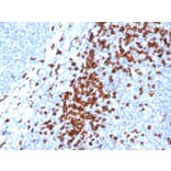
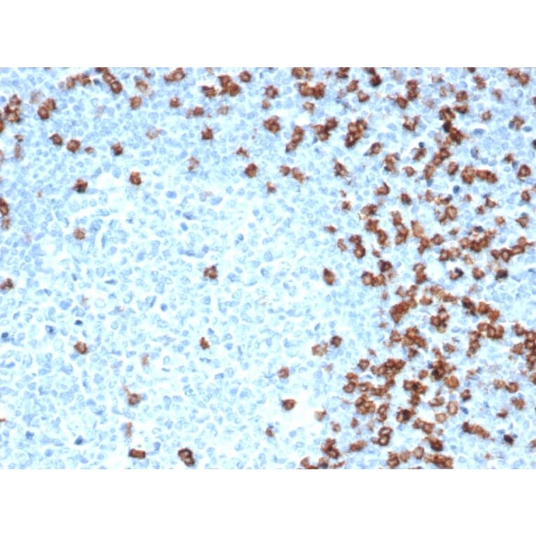
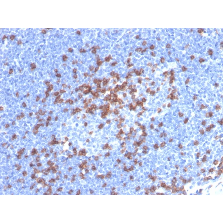
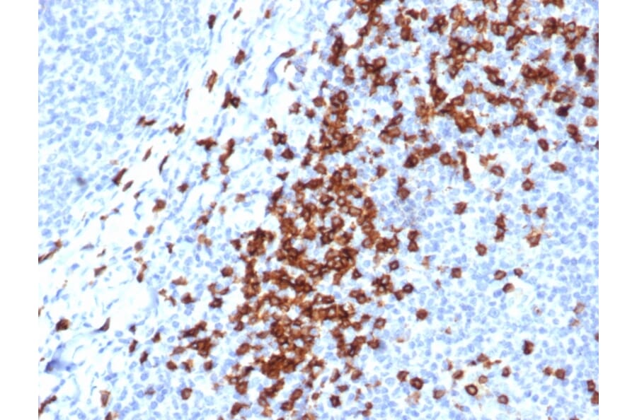
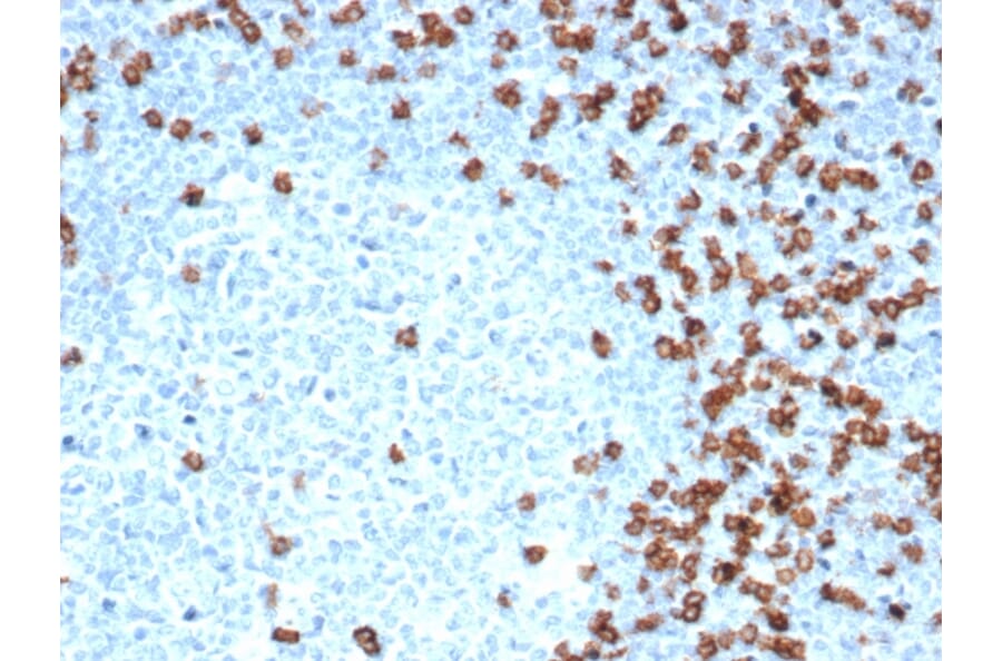
The CD8 antigen is a cell surface glycoprotein found on most cytotoxic T lymphocytes that serves as a coreceptor for TCR recognition of MHC class I associated peptides and supports CTL activation by binding to the MHC, while making no direct contact with the peptide.CD8 is expressed on cytotoxic suppressor T cells. It is expressed as a heterodimer of CD8 occasionally positive cells were also identified within germinal centers and within the investing squamous epithelium. In other tissues, only lymphoid cells and cells of histiocyte lineage showed positive staining for CD8.
Applications
IHC-P
Dilutions
IHC-P: 1-2 µg/ml
Reactivity
Human
Immunogen
Synthetic peptide corresponding to amino acids within 135-235 of CD8A protein.
Host
Rabbit
Clonality
Monoclonal
Clone ID
CD8/4391R
Isotype
IgG
Light Chains
kappa
Conjugate
Unconjugated
Purification
Protein A/G chromatography.
Concentration
1 mg/ml
Molecular Weight
32 kDa
Product Form
Liquid
Formulation
Supplied in 10mM Phosphate Buffered Saline; without Sodium Azide and carrier free.
Storage
Shipped at 4°C. Upon delivery aliquot and store at -20°C. Avoid freeze / thaw cycles.
SDS-PAGE analysis of Anti-CD8A Antibody [CD8/4391R] under non-reduced and reduced conditions; showing intact IgG and intact heavy and light chains, respectively. SDS-PAGE analysis confirms the integrity and purity of the antibody.
Anti-CD8A Antibody [CD8/4391R] - BSA and Azide free (A253743)
Analysis of protein array containing more than 19,000 full-length human proteins using Anti-CD8A Antibody [CD8/4391R]. Z-Score and S- Score: The Z-score represents the strength of a signal that a monoclonal antibody (MAb) (in combination with a fluorescently-tagged anti-IgG secondary antibody) produces when binding to a particular protein on the HuProtTM array. Z-scores are described in units of standard deviations (SD's) above the mean value of all signals generated on that array. If targets on HuProtTM are arranged in descending order of the Z-score, the S-score is the difference (also in units of SD's) between the Z-score. S-score therefore represents the relative target specificity of a MAb to its intended target; a MAb is considered to be specific to its intended target, if the MAb has an S-score of at least 2.5. For example, if a MAb binds to protein X with a Z-score of 43 and to protein Y with a Z-score of 14, then the S-score for the binding of that MAb to protein X is equal to 29.
Publishing research using Recombinant Anti-CD8A Antibody [CD8/4391R] - BSA and Azide free (A253743)? Please let us know so that we can list the citation on this page.
Alternative products to Anti-CD8A Antibody [CD8/4391R] - BSA and Azide free (A253743)