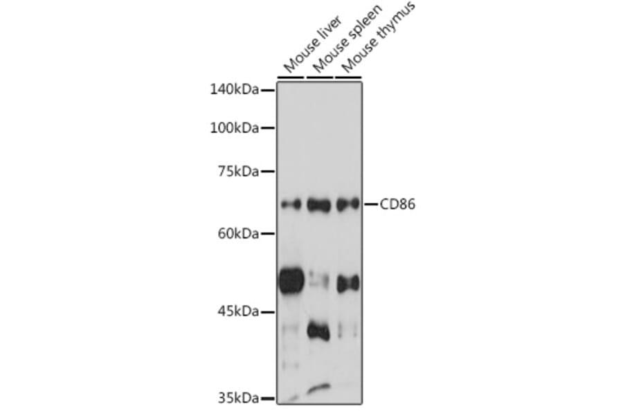
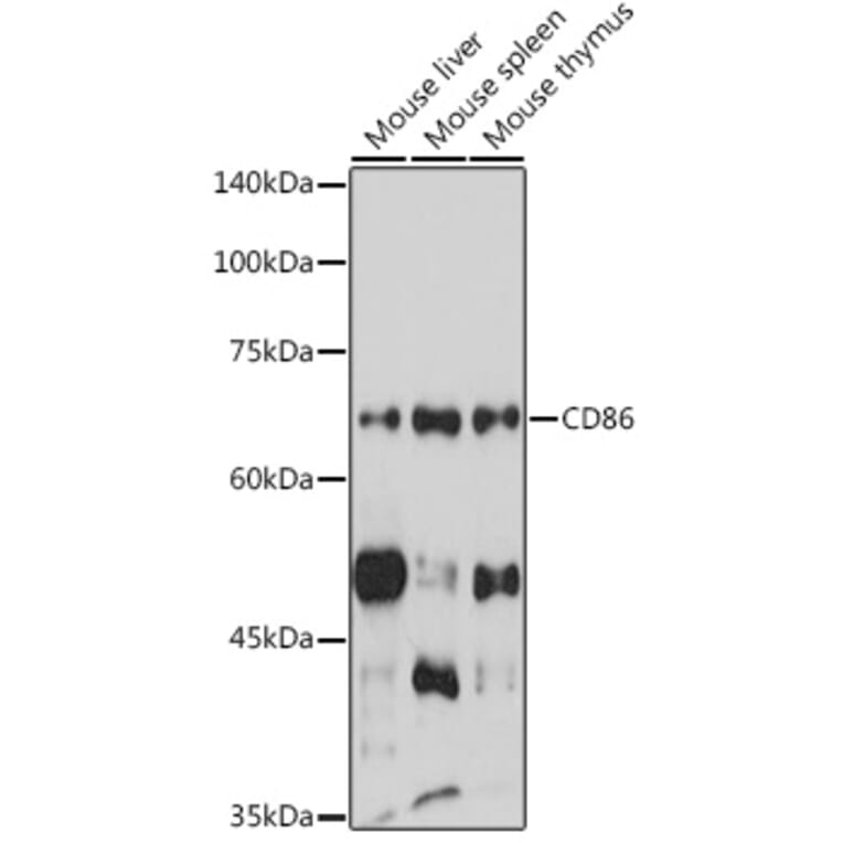
Western blot analysis of extracts of various cell lines, using Anti-CD86 Antibody (A90844) at 1:1,000 dilution. The secondary antibody was Goat Anti-Rabbit IgG H&L Antibody (HRP) at 1:10,000 dilution. Lysates/proteins were present at 25µg per lane. The blocking buffer used was 3% non-fat dry milk in TBST. Detection was with a ECL Enhanced Kit (RM00021). Exposure time: 300s.
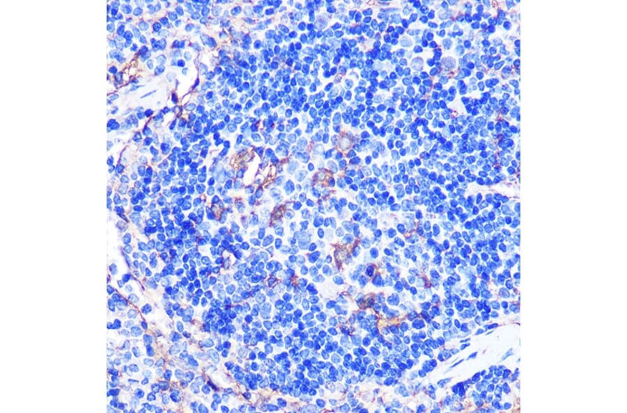
Immunohistochemistry analysis of paraffin-embedded mouse spleen using Anti-CD86 Antibody (A90844) at a dilution of 1:100 (40x lens). Perform microwave antigen retrieval with 10 mM PBS buffer pH 7.2 before commencing with IHC staining protocol.
Alternative products to Anti-CD86 Antibody (A90844)