ISO 9001:2015 Certified
Live Customer Support
4.5/5 on Trustpilot
100% Quality Guarantee

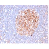
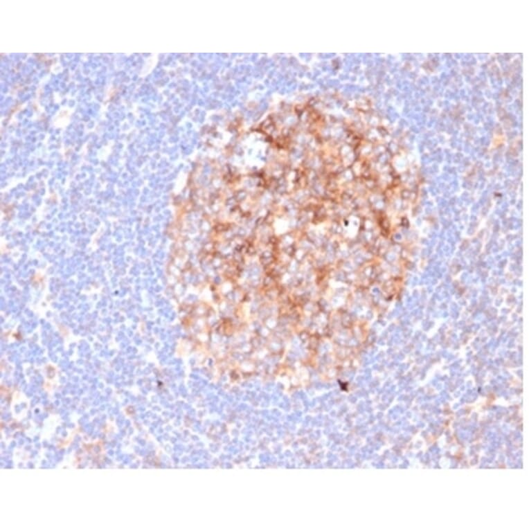
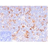
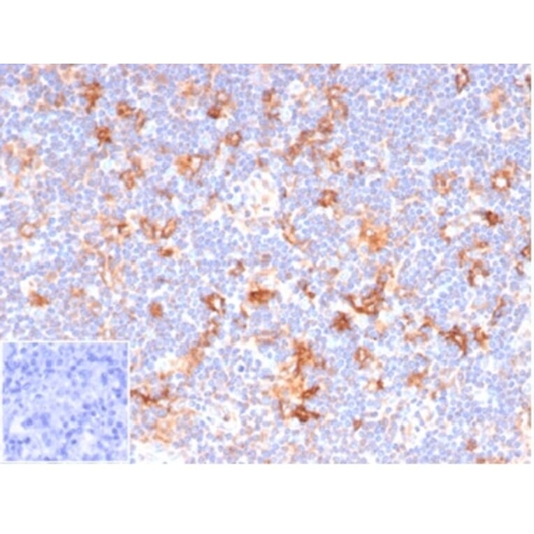
Recombinant Anti-CD86 Antibody [C86/6500R] - BSA and Azide free (A278686)

Recombinant rabbit monoclonal [C86/6500R] antibody to CD86 for IHC-P.

Alternative Formats and ConjugatesAlternative Formats

Shipping Information

$40
Dispatched from St. Louis, MO.
Lead Time: 5-8 business days.
Name
Anti-CD86 Antibody [C86/6500R] - BSA and Azide free
Description
Recombinant rabbit monoclonal [C86/6500R] antibody to CD86.
Specificity
This antibody recognizes a protein of 70kDa, which is identified as CD86. CD86 is a type I transmembrane glycoprotein and a member of the immunoglobulin superfamily of cell surface receptors. It is expressed at high levels on resting peripheral monocytes and dendritic cells and at very low density on resting B and T lymphocytes. CD86 expression is rapidly upregulated by B cell specific stimuli with peak expression at 18 to 42 hours after stimulation. CD86, along with CD80/B71, is an important accessory molecule in T cell co-stimulation via its interaction with CD28 and CD152/CTLA4. Since CD86 has rapid kinetics of induction, it is believed to be the major CD28 ligand expressed early in the immune response. It is also found on malignant Hodgkin and Reed Sternberg (HRS) cells in Hodgkin's disease.
Applications
IHC-P
Dilutions
IHC-P: 1-2 µg/ml
Reactivity
Human
Immunogen
Recombinant fragment, around amino acids 66-195, of human CD86 protein. The exact sequence is proprietary.
Host
Rabbit
Clonality
Monoclonal
Clone ID
C86/6500R
Isotype
IgG
Light Chains
kappa
Conjugate

Unconjugated

Purification
Protein A/G chromatography.
Concentration
1 mg/ml
Molecular Weight
70 kDa
Product Form
Liquid
Formulation
Supplied in 10mM Phosphate Buffered Saline; without Sodium Azide and carrier free.
Storage
Shipped at 4°C. Upon delivery aliquot and store at -20°C. Avoid freeze / thaw cycles.
General Notes
This monoclonal antibody is also available in a different formulation with BSA and Sodium Azide - Anti-CD86 Antibody [C86/6500R] (A278098).
Synonyms
Activation B7-2 antigen, B70, BU63, CD28LG2, CTLA-4 counter-receptor B7.2, FUN-1, T-lymphocyte activation antigen CD86
Disclaimer
This product is for research use only. It is not intended for diagnostic or therapeutic use.
Publishing research using Recombinant Anti-CD86 Antibody [C86/6500R] - BSA and Azide free (A278686)? Please let us know so that we can list the citation on this page.

Alternative products to Anti-CD86 Antibody [C86/6500R] - BSA and Azide free (A278686)

Proteins predicted to interact with CD86

Predicted protein interactions based upon String database. Revelancy score correlates with probability of interaction.
99.9% Relevancy Score
99.9% Relevancy Score
99.9% Relevancy Score
99.8% Relevancy Score
99.6% Relevancy Score
99.6% Relevancy Score
99.2% Relevancy Score
99% Relevancy Score
98.8% Relevancy Score