ISO 9001:2015 Certified
Live Customer Support
4.5/5 on Trustpilot
100% Quality Guarantee

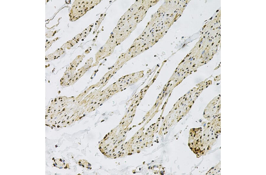
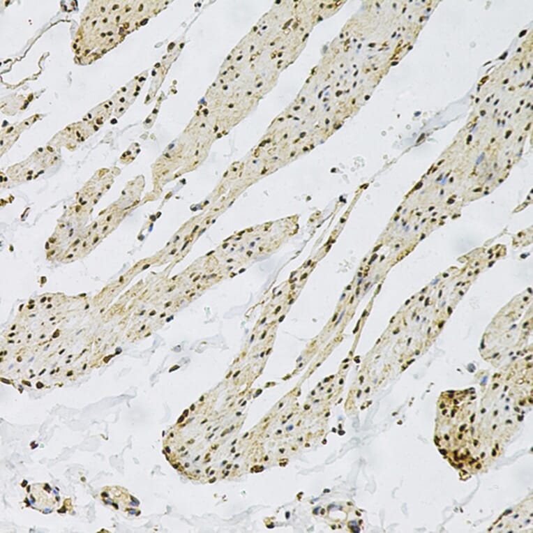
Anti-CD9 Antibody (A13604)

Rabbit polyclonal antibody to CD9 for WB and IHC.

Shipping Information

$40
Dispatched from St. Louis, MO.
Lead Time: 7-10 business days.
Name
Anti-CD9 Antibody
Description
Rabbit polyclonal antibody to CD9.
Applications
WB, IHC
Dilutions
WB: 1:2,000-1:8,000, IHC: 1:50-1:200
Reactivity
Human, Mouse, Rat
Immunogen
Recombinant fusion protein containing a sequence corresponding to amino acids 112-195 of human CD9 (NP_001760.1).
Sequence
SHKDEVIKEVQEFYKDTYNKLKTKDEPQRETLKAIHYALNCCGLAGGVEQFISDICPKKDVLETFTVKSCPDAIKEVFDNKFHI
Host
Rabbit
Clonality
Polyclonal
Isotype
IgG
Conjugate

Unconjugated

Purification
Affinity purification.
Concentration
Lot Specific
Molecular Weight
22 kDa
Product Form
Liquid
Formulation
Supplied in Phosphate Buffered Saline, pH 7.3, with 50% Glycerol and 0.05% Proclin 300.
Storage
Shipped at 4°C. Upon delivery aliquot and store at -20°C. Avoid freeze/thaw cycles.
Synonyms
5H9 antigen, CD9 antigen, Cell growth-inhibiting gene 2 protein, Leukocyte antigen MIC3, MIC3, Motility-related protein, MRP-1, p24, Tetraspanin-29, Tspan-29, TSPAN29
Disclaimer
This product is for research use only. It is not intended for diagnostic or therapeutic use.
Publishing research using Anti-CD9 Antibody (A13604)? Please let us know so that we can list the citation on this page.

Alternative products to Anti-CD9 Antibody (A13604)

Proteins predicted to interact with CD9

Predicted protein interactions based upon String database. Revelancy score correlates with probability of interaction.
99.9% Relevancy Score
99.9% Relevancy Score
99.7% Relevancy Score
99.5% Relevancy Score
99.4% Relevancy Score
98.9% Relevancy Score
98.5% Relevancy Score
98.3% Relevancy Score
98% Relevancy Score