Supplied in Phosphate Buffered Saline, pH 7.3, with 50% Glycerol and 0.05% Proclin 300.
Storage
Shipped at 4°C. Upon delivery aliquot and store at -20°C. Avoid freeze/thaw cycles.
Synonyms
4F2 cell-surface antigen heavy chain, 4F2 heavy chain antigen, 4F2hc, Amino acid transporter heavy chain SLC3A2, Lymphocyte activation antigen 4F2 large subunit, MDU1, SLC3A2, Solute carrier family 3 member 2
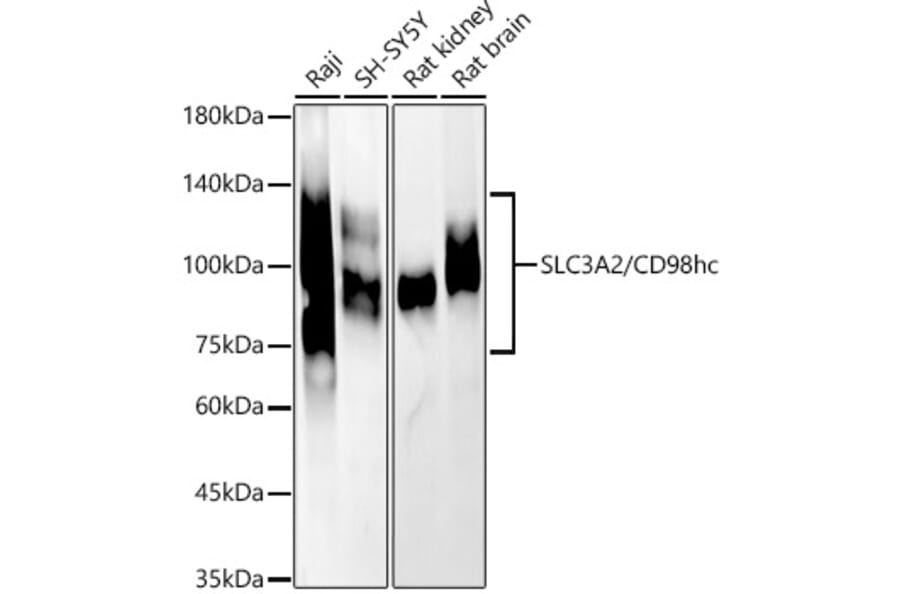
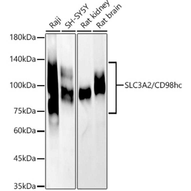
Western blot analysis of various lysates, using Anti-CD98 Antibody (A11865) at 1:1,000 dilution. The secondary antibody was Goat Anti-Rabbit IgG H&L Antibody (HRP) at 1:10,000 dilution. Lysates/proteins were present at 25µg per lane. The blocking buffer used was 3% non-fat dry milk in TBST. Detection was with a ECL Basic Kit. Exposure time: 60s.
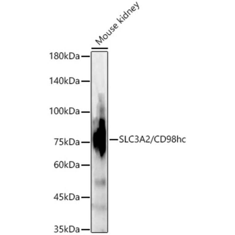
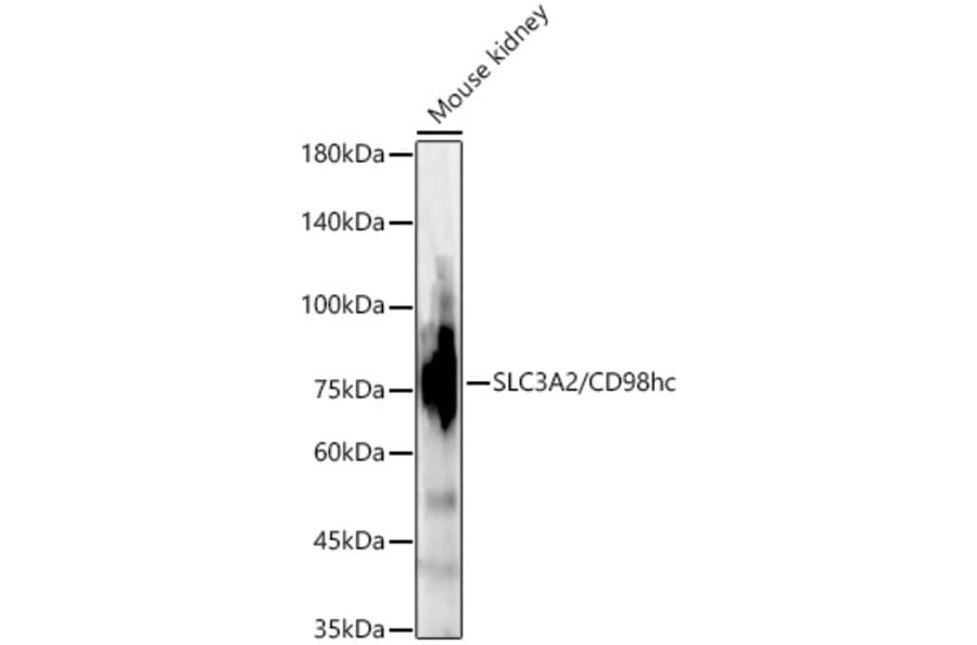
Western blot analysis of Mouse kidney, using Anti-CD98 Antibody (A11865) at 1:1,000 dilution. The secondary antibody was Goat Anti-Rabbit IgG H&L Antibody (HRP) at 1:10,000 dilution. Lysates/proteins were present at 25µg per lane. The blocking buffer used was 3% non-fat dry milk in TBST. Detection was with a ECL Basic Kit. Exposure time: 60s.
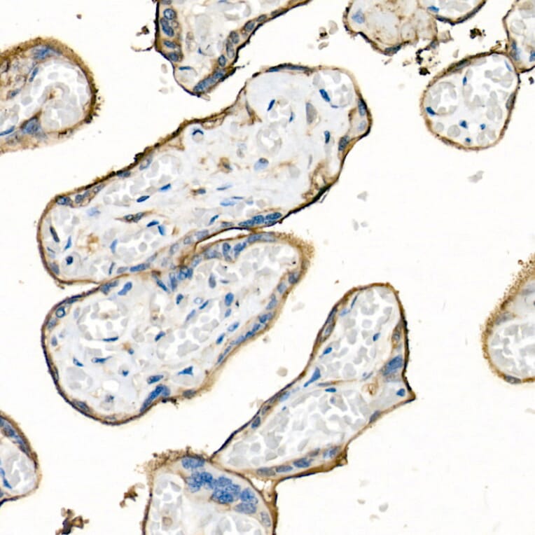
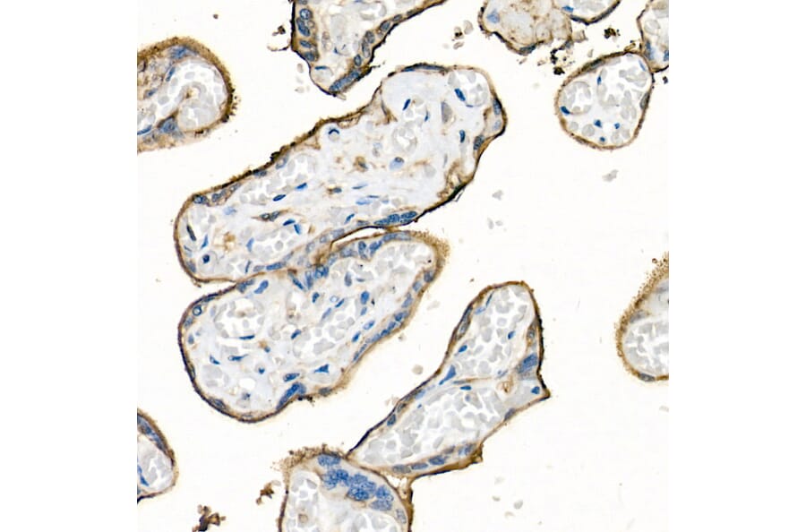
Immunohistochemistry analysis of paraffin-embedded human placenta using Anti-CD98 Antibody (A11865) at a dilution of 1:50 (40x lens). Perform high pressure antigen retrieval with 10 mM citrate buffer pH 6.0 before commencing with IHC staining protocol.
Publishing research using Anti-CD98 Antibody (A11865)? Please let us know so that we can list the citation on this page.
Alternative products to Anti-CD98 Antibody (A11865)
Recombinant humanized monoclonal antibody to CD98 for use as a research grade 4F2Mab biosimilar for ELISA, Flow Cytometry, Functional Studies and in vivo Research.
Recombinant human monoclonal antibody to CD98 for use as a research grade Anti-Human CD98 [IGN523] b for ELISA, Flow Cytometry, Functional Studies and in vivo Research.
Recombinant human monoclonal antibody to CD98 for use as a research grade Anti-Human CD98 [KHK2898] for ELISA, Flow Cytometry, Functional Studies and in vivo Research.
Recombinant humanized monoclonal antibody to CD98 for use as a research grade 4F2Mab biosimilar for ELISA, Flow Cytometry, Functional Studies and in vivo Research.
Recombinant human monoclonal antibody to CD98 for use as a research grade Anti-Human CD98 [IGN523] b for ELISA, Flow Cytometry, Functional Studies and in vivo Research.
Recombinant human monoclonal antibody to CD98 for use as a research grade Anti-Human CD98 [KHK2898] for ELISA, Flow Cytometry, Functional Studies and in vivo Research.