Supplied in Phosphate Buffered Saline, pH 7.3, with 50% Glycerol and 0.05% ProClin 300.
Storage
Shipped at 4°C. Upon delivery aliquot and store at -20°C. Avoid freeze/thaw cycles.
Synonyms
4F2 cell-surface antigen heavy chain, 4F2 heavy chain antigen, 4F2hc, Amino acid transporter heavy chain SLC3A2, Lymphocyte activation antigen 4F2 large subunit, MDU1, SLC3A2, Solute carrier family 3 member 2
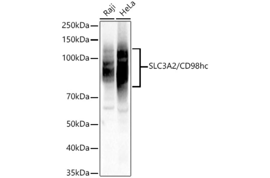
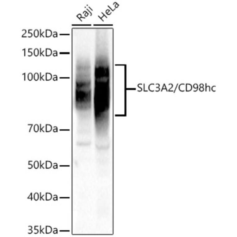
CD98 expression in various lysates analyzed by western blot. Primary antibody incubation was performed for 1 hour on 25ug protein per lane with Anti-CD98 Antibody (A329243) at a dilution of 1:1000 and detected with chemiluminescence.
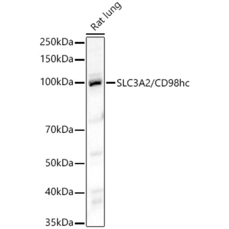
CD98 expression in Rat lung lysates analyzed by western blot. Primary antibody incubation was performed for 1 hour on 25ug protein per lane with Anti-CD98 Antibody (A329243) at a dilution of 1:1000 and detected with chemiluminescence.
Publishing research using Anti-CD98 Antibody (A329243)? Please let us know so that we can list the citation on this page.
Alternative products to Anti-CD98 Antibody (A329243)
Recombinant humanized monoclonal antibody to CD98 for use as a research grade 4F2Mab biosimilar for ELISA, Flow Cytometry, Functional Studies and in vivo Research.
Recombinant human monoclonal antibody to CD98 for use as a research grade Anti-Human CD98 [IGN523] b for ELISA, Flow Cytometry, Functional Studies and in vivo Research.
Recombinant human monoclonal antibody to CD98 for use as a research grade Anti-Human CD98 [KHK2898] for ELISA, Flow Cytometry, Functional Studies and in vivo Research.
Recombinant humanized monoclonal antibody to CD98 for use as a research grade 4F2Mab biosimilar for ELISA, Flow Cytometry, Functional Studies and in vivo Research.
Recombinant human monoclonal antibody to CD98 for use as a research grade Anti-Human CD98 [IGN523] b for ELISA, Flow Cytometry, Functional Studies and in vivo Research.
Recombinant human monoclonal antibody to CD98 for use as a research grade Anti-Human CD98 [KHK2898] for ELISA, Flow Cytometry, Functional Studies and in vivo Research.