ISO 9001:2015 Certified
Live Customer Support
4.5/5 on Trustpilot
100% Quality Guarantee

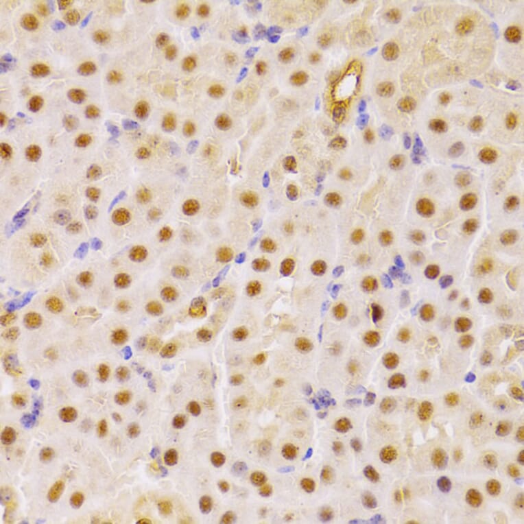
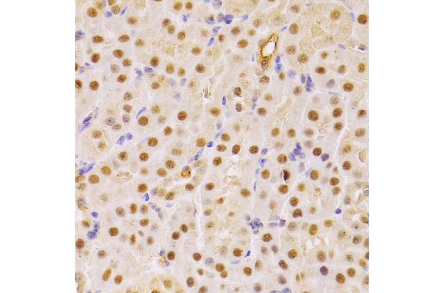
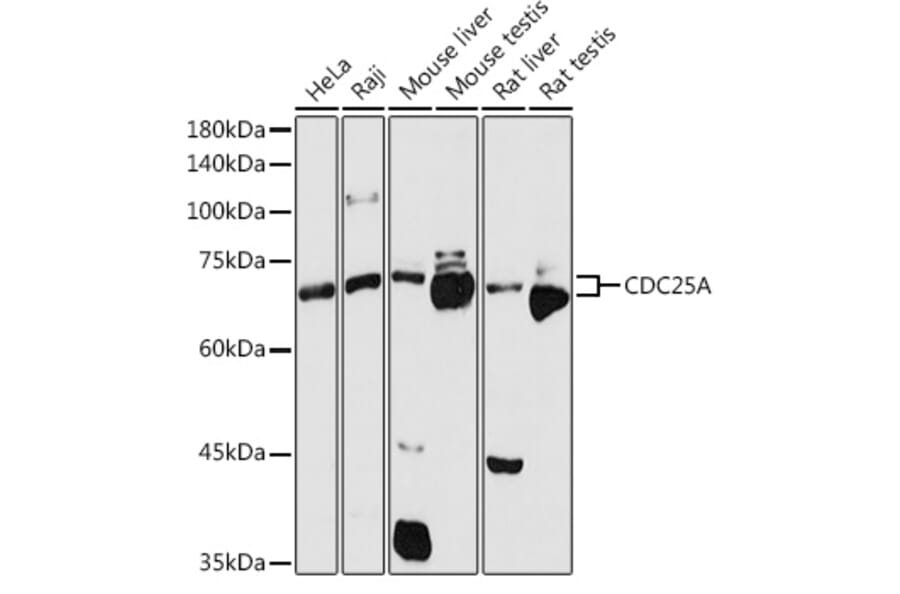
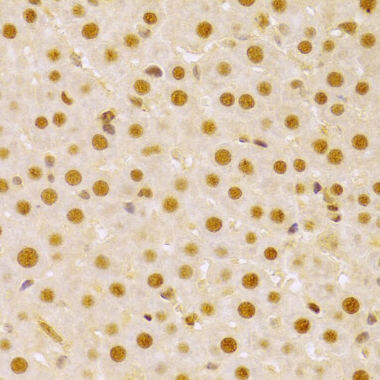
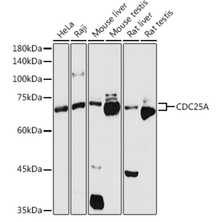
Anti-Cdc25A Antibody (A13349)

Rabbit polyclonal antibody to Cdc25A for WB, IHC and ICC/IF.

Shipping Information

$40
Dispatched from St. Louis, MO.
Lead Time: 7-10 business days.
Name
Anti-Cdc25A Antibody
Description
Rabbit polyclonal antibody to Cdc25A.
Applications
WB, IHC, ICC/IF
Dilutions
WB: 1:500-1:1,000, IHC: 1:50-1:200, ICC/IF: 1:50-1:200
Reactivity
Human, Mouse, Rat
Immunogen
Recombinant fusion protein containing a sequence corresponding to amino acids 86-328 of CDC25A (NP_001780.2).
Sequence
LDSPGPLDSKENLENPMRRIHSLPQKLLGCSPALKRSHSDSLDHDIFQLIDPDENKENEAFEFKKPVRPVSRGCLHSHGLQEGKDLFTQRQNSAPARMLSSNERDSSEPGNFIPLFTPQSPVTATLSDEDDGFVDLLDGENLKNEEETPSCMASLWTAPLVMRTTNLDNRCKLFDSPSLCSSSTRSVLKRPERSQEESPPGSTKRRKSMSGASPKESTNPEKAHETLHQSLSLASSPKGTIEN
Host
Rabbit
Clonality
Polyclonal
Isotype
IgG
Conjugate

Unconjugated

Purification
Affinity purification.
Concentration
Lot Specific
Molecular Weight
70 kDa
Product Form
Liquid
Formulation
Supplied in Phosphate Buffered Saline, pH 7.3, with 50% Glycerol and 0.01% Thiomersal.
Storage
Shipped at 4°C. Upon delivery aliquot and store at -20°C. Avoid freeze/thaw cycles.
Synonyms
Dual specificity phosphatase Cdc25A, M-phase inducer phosphatase 1
Disclaimer
This product is for research use only. It is not intended for diagnostic or therapeutic use.
Publishing research using Anti-Cdc25A Antibody (A13349)? Please let us know so that we can list the citation on this page.

Alternative products to Anti-Cdc25A Antibody (A13349)

Proteins predicted to interact with CDC25A

Predicted protein interactions based upon String database. Revelancy score correlates with probability of interaction.
99.9% Relevancy Score
99.8% Relevancy Score
99.8% Relevancy Score
99.5% Relevancy Score
99.3% Relevancy Score
99.1% Relevancy Score
98.6% Relevancy Score
98.4% Relevancy Score
97.9% Relevancy Score