Primary Antibodies
Secondary Antibodies
Proteins & Peptides
ELISA Kits
About Us
Contact Us
Sign In/Register
0
ISO 9001:2015 Certified
Live Customer Support
4.5/5 on Trustpilot
100% Quality Guarantee
Home
Primary Antibodies
CDC25A Antibodies
Anti-CDC25A Antibody (A37016)
Anti-CDC25A Antibody (A37016)
Overview
Specifications
Images
Enlarge Image
Enlarge Image
Enlarge Image
$415
Product Datasheet
Rabbit polyclonal antibody to CDC25A for WB and IHC.
100% Guarantee
Price Match Guarantee
Product Size:
50µl
100µl
Quantity:
1
2
3
4
5
6
7
8
9
10
Add To Cart
Request a Quotation
Custom or Bulk Request
Shipping Information
Freight/Packing Charges:
$40
Dispatched from St. Louis, MO.
Lead Time: 6-9 business days.
Specifications
Name
Anti-CDC25A Antibody
Description
Rabbit polyclonal antibody to CDC25A
Specificity
The antibody detects endogenous level of total CDC25A protein.
Applications
WB
,
IHC
Reactivity
Human, Mouse, Rat
Immunogen
Recombinant protein of human CDC25A.
Host
Rabbit
Clonality
Polyclonal
Conjugate
Unconjugated
Purification
Antibodies were purified by affinity purification using immunogen.
Concentration
1.0 mg/mL
Formulation
Supplied in phosphate-buffered saline (without Mg²? and Ca²?), pH 7.4, containing 150 mM NaCl, 0.02% sodium azide, and 50% glycerol.
Storage
Shipped at 4°C. Upon delivery aliquot and store at -20°C. Avoid freeze/thaw cycles.
Synonyms
Dual specificity phosphatase Cdc25A, M-phase inducer phosphatase 1
Suitable Secondaries
Goat Anti-Rabbit IgG H&L Antibody (AP) (A294874)
Goat Anti-Rabbit IgG H&L Antibody (Biotin) (A294795)
Goat Anti-Rabbit IgG H&L Antibody (FITC) (A294887)
Goat Anti-Rabbit IgG H&L Antibody (HRP) (A294888)
See all Anti-Rabbit IgG Secondaries →
Disclaimer
This product is for research use only. It is not intended for diagnostic or therapeutic use.
Scientific Validation Data
Validation Data
(3)
Enlarge Image
Anti-CDC25A Antibody (A37016)
Western blot analysis of extracts of various cell lines, using CDC25A antibody.
Enlarge Image
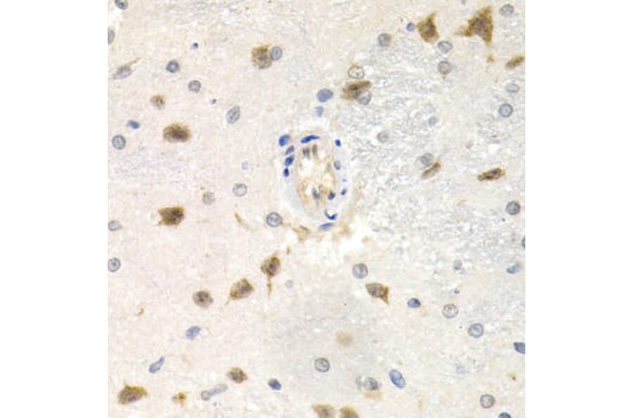
Immunohistochemistry - Anti-CDC25A Antibody (A37016)
Immunohistochemistry of paraffin-embedded rat brain using CDC25A antibody at dilution of 1: 200 (400x lens).
Enlarge Image
Immunohistochemistry - Anti-CDC25A Antibody (A37016)
Immunohistochemistry of paraffin-embedded mouse brain using CDC25A antibody at dilution of 1: 200 (400x lens).
Publishing research using Anti-CDC25A Antibody (A37016)? Please
let us know
so that we can list the citation on this page.
Alternative products to Anti-CDC25A Antibody (A37016)
(5)
A13349
Anti-Cdc25A Antibody
Rabbit polyclonal antibody to Cdc25A for WB, IHC and ICC/IF.
(2)
A93980
Anti-CDC25A (phospho Ser178) Antibody
Rabbit polyclonal antibody to CDC25A (phospho Ser178) for WB, IHC, IF and ELISA.
A96935
Anti-CDC25A Antibody
Rabbit polyclonal antibody to CDC25A for WB, IHC, IF and ELISA.
A50274
Anti-Cdc25A (Phospho-Ser75) Antibody
Rabbit polyclonal antibody to Cdc25A (Phospho-Ser75) for ELISA, WB and IHC.
(2)
A93875
Anti-CDC25A (phospho Ser75) Antibody
Rabbit polyclonal antibody to CDC25A (phospho Ser75) for WB and ELISA.
(2)
A93683
Anti-CDC25A (phospho Ser124) Antibody
Rabbit polyclonal antibody to CDC25A (phospho Ser124) for WB and ELISA.
(2)
A50423
Anti-cdc25A (Phospho-Ser76) Antibody
Rabbit polyclonal antibody to cdc25A (Phospho-Ser76) for WB and IHC.
A50585
Anti-Cdc25A (Phospho-Ser75) Antibody
Rabbit polyclonal antibody to Cdc25A (Phospho-Ser75) for WB and ELISA.
A27496
Anti-Cdc25A (phospho-S76) Antibody
Rabbit polyclonal antibody to Cdc25A (phospho-S76) for WB and IHC.
A40373
Anti-Cdc25A Antibody
Rabbit polyclonal antibody to Cdc25A for ELISA and WB.
A27631
Anti-CDC25A (phospho-S124) Antibody
Rabbit polyclonal antibody to CDC25A (phospho-S124) for WB.
A50903
Anti-CDC25A (Phospho-Ser124) Antibody
Rabbit polyclonal antibody to CDC25A (Phospho-Ser124) for WB.
(5)
A13349
Anti-Cdc25A Antibody
Rabbit polyclonal antibody to Cdc25A for WB, IHC and ICC/IF.
(2)
A93980
Anti-CDC25A (phospho Ser178) Antibody
Rabbit polyclonal antibody to CDC25A (phospho Ser178) for WB, IHC, IF and ELISA.
A96935
Anti-CDC25A Antibody
Rabbit polyclonal antibody to CDC25A for WB, IHC, IF and ELISA.
A50274
Anti-Cdc25A (Phospho-Ser75) Antibody
Rabbit polyclonal antibody to Cdc25A (Phospho-Ser75) for ELISA, WB and IHC.
(2)
A93875
Anti-CDC25A (phospho Ser75) Antibody
Rabbit polyclonal antibody to CDC25A (phospho Ser75) for WB and ELISA.
(2)
A93683
Anti-CDC25A (phospho Ser124) Antibody
Rabbit polyclonal antibody to CDC25A (phospho Ser124) for WB and ELISA.
(2)
A50423
Anti-cdc25A (Phospho-Ser76) Antibody
Rabbit polyclonal antibody to cdc25A (Phospho-Ser76) for WB and IHC.
A50585
Anti-Cdc25A (Phospho-Ser75) Antibody
Rabbit polyclonal antibody to Cdc25A (Phospho-Ser75) for WB and ELISA.
A27496
Anti-Cdc25A (phospho-S76) Antibody
Rabbit polyclonal antibody to Cdc25A (phospho-S76) for WB and IHC.
A40373
Anti-Cdc25A Antibody
Rabbit polyclonal antibody to Cdc25A for ELISA and WB.
A27631
Anti-CDC25A (phospho-S124) Antibody
Rabbit polyclonal antibody to CDC25A (phospho-S124) for WB.
A50903
Anti-CDC25A (Phospho-Ser124) Antibody
Rabbit polyclonal antibody to CDC25A (Phospho-Ser124) for WB.
See all CDC25A Antibodies
Proteins predicted to interact with CDC25A
Predicted protein interactions based upon String database. Revelancy score correlates with probability of interaction.
Chk1 Antibodies
99.9% Relevancy Score
CDK2 Antibodies
99.8% Relevancy Score
Chk2 Antibodies
99.8% Relevancy Score
Cyclin B1 Antibodies
99.5% Relevancy Score
CDK1 Antibodies
99.3% Relevancy Score
Cyclin E1 Antibodies
99.1% Relevancy Score
CDK6 Antibodies
98.6% Relevancy Score
Cyclin E2 Antibodies
98.4% Relevancy Score
CDK4 Antibodies
97.9% Relevancy Score
Top