ISO 9001:2015 Certified
Live Customer Support
4.5/5 on Trustpilot
100% Quality Guarantee

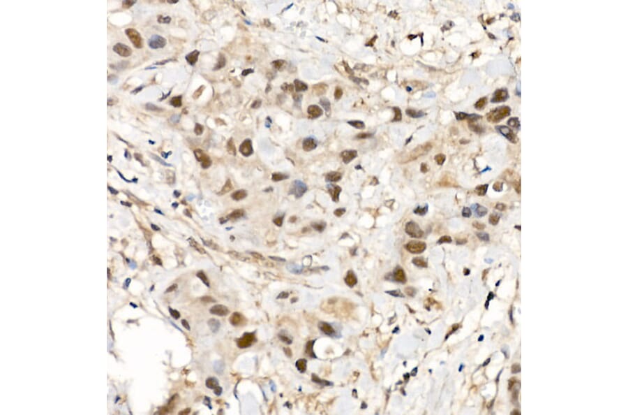
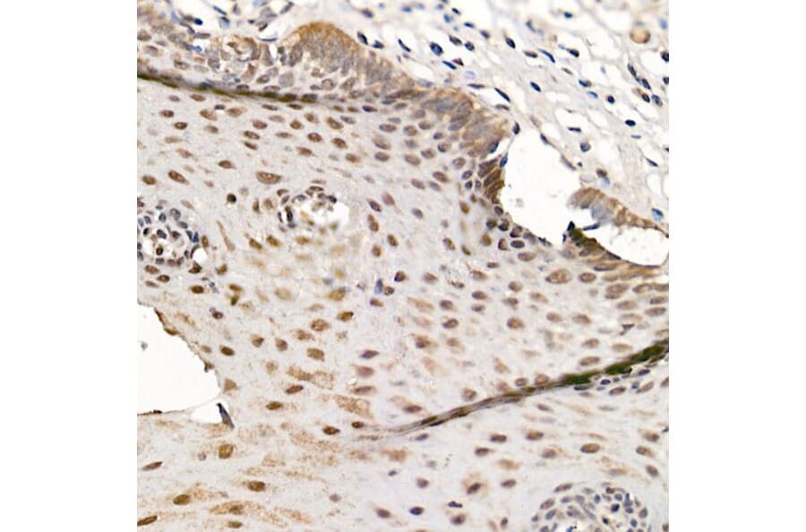
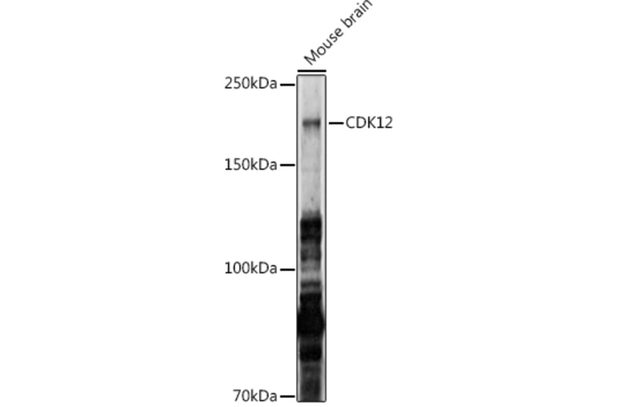
Anti-CDK12 Antibody (A88428)

Rabbit polyclonal antibody to CDK12 for WB and IHC.

Shipping Information

$40
Dispatched from St. Louis, MO.
Lead Time: 7-10 business days.
Name
Anti-CDK12 Antibody
Description
Rabbit polyclonal antibody to CDK12.
Applications
WB, IHC
Dilutions
WB: 1:500-1:1,000, IHC: 1:100-1:500
Reactivity
Human, Mouse, Rat
Immunogen
Recombinant fusion protein containing a sequence corresponding to amino acids 1-300 of human CDK12 (NP_057591.2).
Sequence
MPNSERHGGKKDGSGGASGTLQPSSGGGSSNSRERHRLVSKHKRHKSKHSKDMGLVTPEAASLGTVIKPLVEYDDISSDSDTFSDDMAFKLDRRENDERRGSDRSDRLHKHRHHQHRRSRDLLKAKQTEKEKSQEVSSKSGSMKDRISGSSKRSNEETDDYGKAQVAKSSSKESRSSKLHKEKTRKERELKSGHKDRSKSHRKRETPKSYKTVDSPKRRSRSPHRKWSDSSKQDDSPSGASYGQDYDLSPSRSHTSSNYDSYKKSPGSTSRRQSVSPPYKEPSAYQSSTRSPSPYSRRQR
Host
Rabbit
Clonality
Polyclonal
Isotype
IgG
Conjugate

Unconjugated

Purification
Affinity purification.
Concentration
Lot Specific
Molecular Weight
205 kDa
Product Form
Liquid
Formulation
Supplied in Phosphate Buffered Saline, pH 7.3, with 50% Glycerol and 0.05% Proclin 300.
Storage
Shipped at 4°C. Upon delivery aliquot and store at -20°C. Avoid freeze/thaw cycles.
Synonyms
Cdc2-related kinase, arginine/serine-rich, CDC2-related protein kinase 7, Cell division cycle 2-related protein kinase 7, Cell division protein kinase 12, CRK7, CRKRS, Cyclin-dependent kinase 12, hCDK12, KIAA0904
Disclaimer
This product is for research use only. It is not intended for diagnostic or therapeutic use.
Publishing research using Anti-CDK12 Antibody (A88428)? Please let us know so that we can list the citation on this page.

Alternative products to Anti-CDK12 Antibody (A88428)

Proteins predicted to interact with CDK12

Predicted protein interactions based upon String database. Revelancy score correlates with probability of interaction.
99.9% Relevancy Score
97.4% Relevancy Score
96.6% Relevancy Score
95.3% Relevancy Score
94.2% Relevancy Score
93.9% Relevancy Score
93.3% Relevancy Score
89.9% Relevancy Score
88.2% Relevancy Score