Western Blot - Anti-Cdk4 Antibody [ARC51004] (A81170)
Western blot analysis of extracts of MCF7 cells, using Anti-Cdk4 Antibody (A81170) at 1:1,000 dilution. The secondary antibody was Goat Anti-Rabbit IgG H&L Antibody (HRP) at 1:10,000 dilution. Lysates/proteins were present at 25µg per lane. The blocking buffer used was 3% non-fat dry milk in TBST. Detection was with a ECL Basic Kit. Exposure time: 3min.
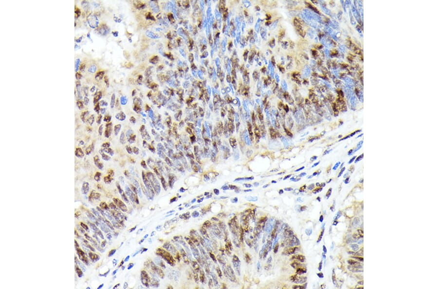
Immunohistochemistry analysis of paraffin-embedded human breast cancer tissue using Anti-Cdk4 Antibody (A81170) at a dilution of 1:100(40x lens). Perform high pressure antigen retrieval with 10 mM citrate buffer pH 6.0 before commencing with IHC staining protocol.
Immunohistochemistry analysis of paraffin-embedded human colon carcinoma tissue using Anti-Cdk4 Antibody (A81170) at a dilution of 1:100(40x lens). Perform high pressure antigen retrieval with 10 mM citrate buffer pH 6.0 before commencing with IHC staining protocol.
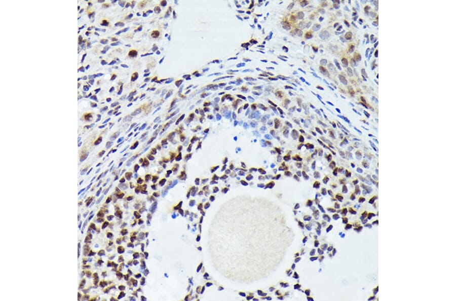
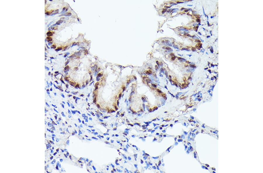
Immunohistochemistry analysis of paraffin-embedded mouse lung using Anti-Cdk4 Antibody (A81170) at a dilution of 1:100(40x lens). Perform high pressure antigen retrieval with 10 mM citrate buffer pH 6.0 before commencing with IHC staining protocol.
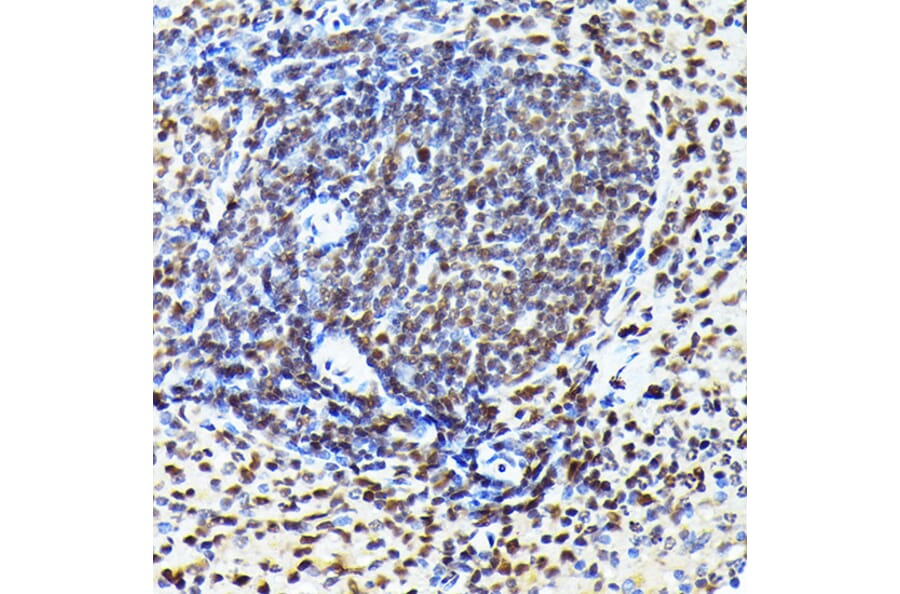
Immunohistochemistry analysis of paraffin-embedded mouse spleen using Anti-Cdk4 Antibody (A81170) at a dilution of 1:100(40x lens). Perform high pressure antigen retrieval with 10 mM citrate buffer pH 6.0 before commencing with IHC staining protocol.
Immunohistochemistry analysis of paraffin-embedded rat lung using Anti-Cdk4 Antibody (A81170) at a dilution of 1:100(40x lens). Perform high pressure antigen retrieval with 10 mM citrate buffer pH 6.0 before commencing with IHC staining protocol.
Immunohistochemistry analysis of paraffin-embedded rat ovary using Anti-Cdk4 Antibody (A81170) at a dilution of 1:100(40x lens). Perform high pressure antigen retrieval with 10 mM citrate buffer pH 6.0 before commencing with IHC staining protocol.
Confocal imaging of HeLa cells using Anti-Cdk4 Antibody (A81170), at a dilution of 1:100, (red). The cells were counterstained with Anti-alpha Tubulin Antibody, at a dilution of 1:400, (green). DAPI was used for nuclear staining (Blue). Objective: 60x.