Primary Antibodies
Secondary Antibodies
Proteins & Peptides
ELISA Kits
About Us
Contact Us
Sign In/Register
0
ISO 9001:2015 Certified
Live Customer Support
4.5/5 on Trustpilot
100% Quality Guarantee
Home
Primary Antibodies
CDK7 Antibodies
Anti-CDK7 Antibody (A38603)
Anti-CDK7 Antibody (A38603)
Overview
Specifications
Images
Enlarge Image
Enlarge Image
Enlarge Image
$275
Rabbit polyclonal antibody to CDK7 for WB and IHC.
100% Guarantee
Price Match Guarantee
Product Size:
50µl
100µl
Quantity:
1
2
3
4
5
6
7
8
9
10
Add To Cart
Request a Quotation
Custom or Bulk Request
Shipping Information
Freight/Packing Charges:
$40
Dispatched from St. Louis, MO.
Lead Time: 6-9 business days.
Specifications
Name
Anti-CDK7 Antibody
Description
Rabbit polyclonal antibody to CDK7
Specificity
The antibody detects endogenous levels of total CDK7 protein.
Applications
WB
,
IHC
Reactivity
Human, Mouse
Immunogen
Synthesized peptide derived from Internal of human CDK7.
Host
Rabbit
Clonality
Polyclonal
Conjugate
Unconjugated
Purification
The antibody was affinity-purified from rabbit antiserum by affinity-chromatography using epitope-specific immunogen.
Concentration
1 mg/ml
Formulation
Rabbit IgG in phosphate buffered saline (without Mg2+ and Ca2+), pH 7.4, 150mM NaCl, 0.02% sodium azide and 50% glycerol.
Storage
Store at -20˚C
Synonyms
39 kDa protein kinase, CAK, CAK1, CDK-activating kinase 1, CDKN7, Cell division protein kinase 7, Cyclin-dependent kinase 7, MO15, p39 Mo15, Serine/threonine-protein kinase 1, STK1, TFIIH basal transcription factor complex kinase subunit
Suitable Secondaries
Goat Anti-Rabbit IgG H&L Antibody (AP) (A294874)
Goat Anti-Rabbit IgG H&L Antibody (Biotin) (A294795)
Goat Anti-Rabbit IgG H&L Antibody (FITC) (A294887)
Goat Anti-Rabbit IgG H&L Antibody (HRP) (A294888)
See all Anti-Rabbit IgG Secondaries →
Disclaimer
This product is for research use only. It is not intended for diagnostic or therapeutic use.
Scientific Validation Data
Validation Data
(3)
Enlarge Image
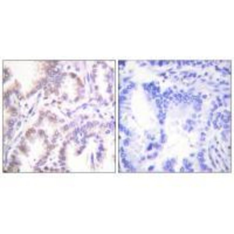
Immunohistochemistry - Anti-CDK7 Antibody (A38603)
Immunohistochemistry analysis of paraffin-embedded human lung carcinoma tissue using CDK7 antibody #33508.
Enlarge Image
Anti-CDK7 Antibody (A38603)
Western blot analysis of extracts from 293 cells, using CDK7 antibody #33508.
Enlarge Image
Anti-CDK7 Antibody (A38603)
Western blot analysis of extracts from Colo cells using CDK7 antibody #33508. The lane on the left is treated with synthesized peptide.
Publishing research using Anti-CDK7 Antibody (A38603)? Please
let us know
so that we can list the citation on this page.
Alternative products to Anti-CDK7 Antibody (A38603)
(4)
A13599
Anti-Cdk7 Antibody
Rabbit polyclonal antibody to Cdk7 for WB, IHC and ICC/IF.
(3)
A98223
Anti-CDK7 Antibody
Rabbit polyclonal antibody to CDK7 for WB, IHC and ELISA.
A29814
Anti-CDK7 Antibody
Rabbit polyclonal antibody to CDK7 for WB, IHC and IF.
(2)
A39965
Anti-CDK7 Antibody
Rabbit polyclonal antibody to CDK7 for WB and IF.
(2)
A89700
Anti-Cdk7 Antibody
Rabbit polyclonal antibody to Cdk7 for WB and ICC/IF.
(2)
A98222
Anti-CDK7 Antibody
Rabbit polyclonal antibody to CDK7 for WB, IHC and ELISA.
A94085
Anti-CDK7 (phospho Thr170) Antibody
Rabbit polyclonal antibody to CDK7 (phospho Thr170) for WB, IHC and ELISA.
A25550
Anti-CDK7 (N166) Antibody
Rabbit polyclonal antibody to CDK7 (N166) for WB and IHC.
A85222
Anti-Cdk7 Antibody
Goat polyclonal antibody to Cdk7 for ELISA and WB.
(4)
A13599
Anti-Cdk7 Antibody
Rabbit polyclonal antibody to Cdk7 for WB, IHC and ICC/IF.
(3)
A98223
Anti-CDK7 Antibody
Rabbit polyclonal antibody to CDK7 for WB, IHC and ELISA.
A29814
Anti-CDK7 Antibody
Rabbit polyclonal antibody to CDK7 for WB, IHC and IF.
(2)
A39965
Anti-CDK7 Antibody
Rabbit polyclonal antibody to CDK7 for WB and IF.
(2)
A89700
Anti-Cdk7 Antibody
Rabbit polyclonal antibody to Cdk7 for WB and ICC/IF.
(2)
A98222
Anti-CDK7 Antibody
Rabbit polyclonal antibody to CDK7 for WB, IHC and ELISA.
A94085
Anti-CDK7 (phospho Thr170) Antibody
Rabbit polyclonal antibody to CDK7 (phospho Thr170) for WB, IHC and ELISA.
A25550
Anti-CDK7 (N166) Antibody
Rabbit polyclonal antibody to CDK7 (N166) for WB and IHC.
A85222
Anti-Cdk7 Antibody
Goat polyclonal antibody to Cdk7 for ELISA and WB.
See all CDK7 Antibodies
Proteins predicted to interact with CDK7
Predicted protein interactions based upon String database. Revelancy score correlates with probability of interaction.
POLR2A Antibodies
99.9% Relevancy Score
GTF2H3 Antibodies
99.9% Relevancy Score
Cyclin H Antibodies
99.9% Relevancy Score
XPB Antibodies
99.9% Relevancy Score
GTF2H4 Antibodies
99.9% Relevancy Score
MNAT1 Antibodies
99.9% Relevancy Score
GTF2H2 Antibodies
99.9% Relevancy Score
XPD Antibodies
99.9% Relevancy Score
GTF2H1 Antibodies
99.9% Relevancy Score
Top