Western blot analysis of extracts of HepG2 cells, using Anti-CEACAM1 Antibody (A11472) at 1:1,000 dilution. The secondary antibody was Goat Anti-Rabbit IgG H&L Antibody (HRP) at 1:10,000 dilution. Lysates/proteins were present at 25µg per lane. The blocking buffer used was 3% non-fat dry milk in TBST. Detection was with a ECL Basic Kit. Exposure time: 1s.
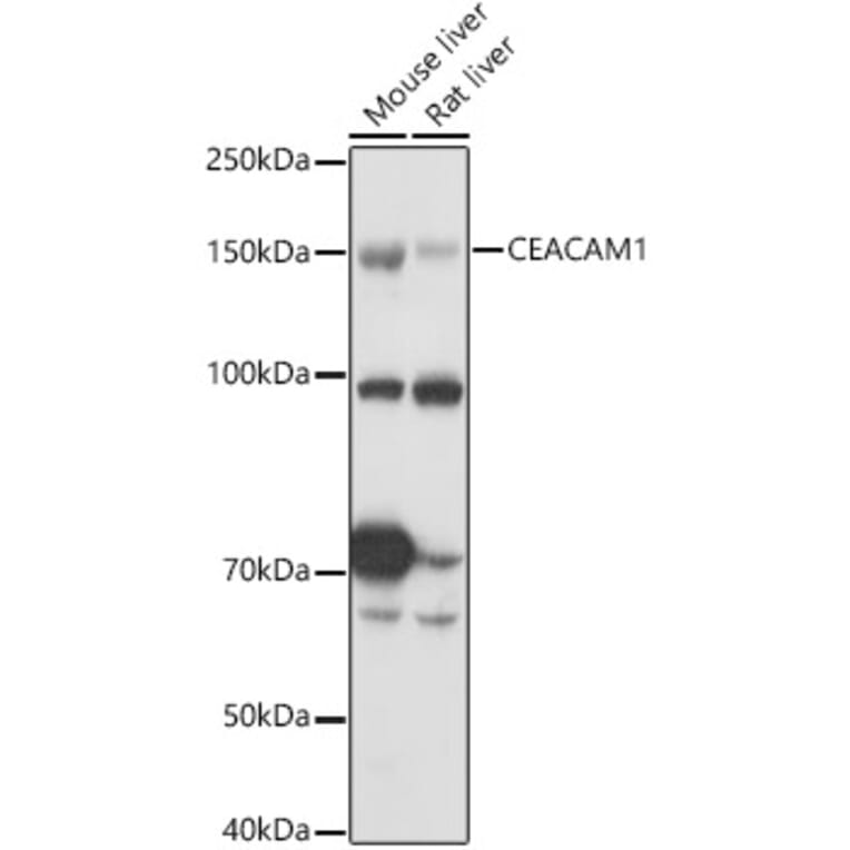
Western blot analysis of extracts of various cell lines, using Anti-CEACAM1 Antibody (A11472) at 1:1,000 dilution. The secondary antibody was Goat Anti-Rabbit IgG H&L Antibody (HRP) at 1:10,000 dilution. Lysates/proteins were present at 25µg per lane. The blocking buffer used was 3% non-fat dry milk in TBST. Detection was with a ECL Basic Kit. Exposure time: 10s.
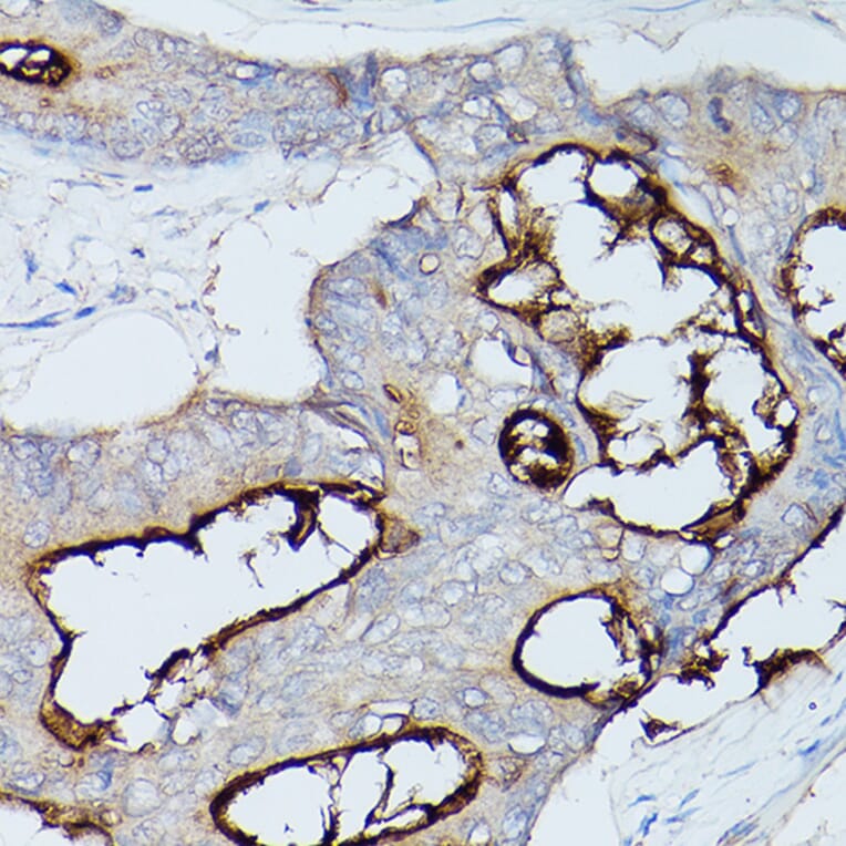
Immunohistochemistry analysis of paraffin-embedded human colon carcinoma tissue using Anti-CEACAM1 Antibody (A11472) at a dilution of 1:100 (40x lens). Perform high pressure antigen retrieval with 10 mM citrate buffer pH 6.0 before commencing with IHC staining protocol.
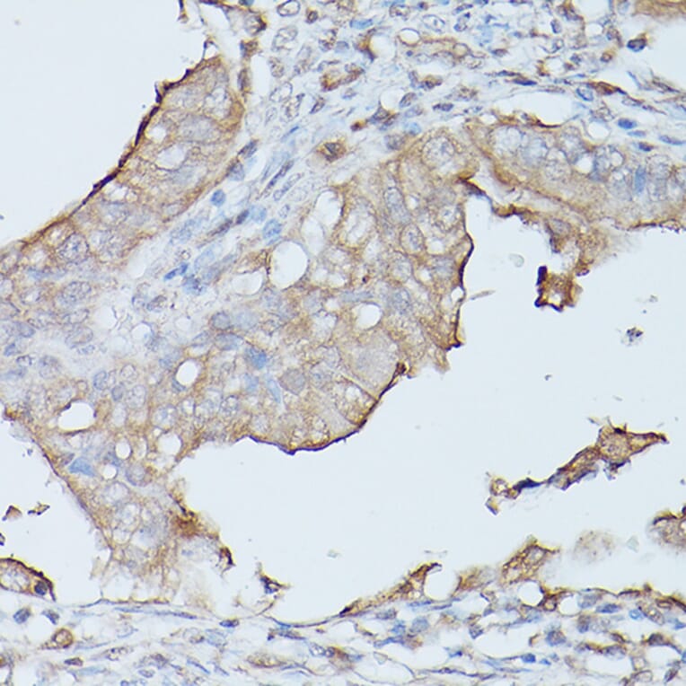
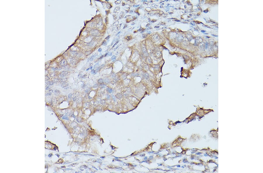
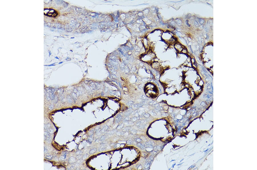
Immunohistochemistry analysis of paraffin-embedded human oophoroma using Anti-CEACAM1 Antibody (A11472) at a dilution of 1:100 (40x lens). Perform high pressure antigen retrieval with 10 mM citrate buffer pH 6.0 before commencing with IHC staining protocol.
Publishing research using Anti-CEACAM1 Antibody (A11472)? Please let us know so that we can list the citation on this page.
Alternative products to Anti-CEACAM1 Antibody (A11472)
Recombinant human monoclonal antibody to CEACAM1 for use as a research grade Anti-Human CEACAM1 [CM- for ELISA, Flow Cytometry, Functional Studies and in vivo Research.
Recombinant human monoclonal antibody to CEACAM1 for use as a research grade MK-6018 biosimilar for ELISA, Flow Cytometry, Functional Studies and in vivo Research.
Recombinant human monoclonal antibody to CEACAM1 for use as a research grade Anti-Human CEACAM1 [CM- for ELISA, Flow Cytometry, Functional Studies and in vivo Research.
Recombinant human monoclonal antibody to CEACAM1 for use as a research grade MK-6018 biosimilar for ELISA, Flow Cytometry, Functional Studies and in vivo Research.