ISO 9001:2015 Certified
Live Customer Support
4.5/5 on Trustpilot
100% Quality Guarantee

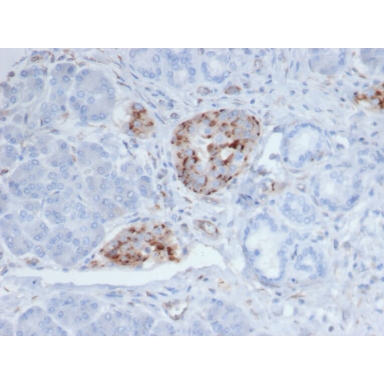
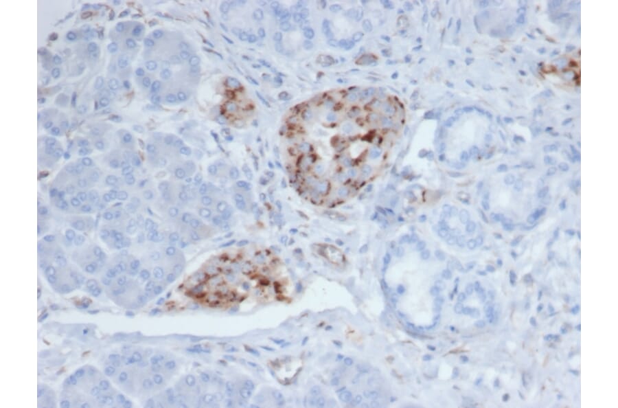
Anti-Chromogranin A Antibody [CHGA/4219] - BSA and Azide free (A278126)

Mouse monoclonal [CHGA/4219] antibody to Chromogranin A for IHC-P.

Alternative Formats and ConjugatesAlternative Formats

Shipping Information

$40
Dispatched from St. Louis, MO.
Lead Time: 5-8 business days.
Name
Anti-Chromogranin A Antibody [CHGA/4219] - BSA and Azide free
Description
Mouse monoclonal [CHGA/4219] antibody to Chromogranin A.
Specificity
Chromogranin A is present in neuroendocrine cells throughout the body, including the neuroendocrine cells of the large and small intestine, adrenal medulla and pancreatic islets. It is an excellent marker for carcinoid tumors, pheochromocytomas, paragangliomas, and other neuroendocrine tumors. Co-expression of chromogranin A and neuron specific enolase (NSE) is common in neuroendocrine neoplasms. Reportedly, co-expression of certain keratins and chromogranin indicates neuroendocrine lineage. The presence of strong anti-chromogranin staining and absence of anti-keratin staining should raise the possibility of paraganglioma. The co-expression of chromogranin and NSE is typical of neuroendocrine neoplasms. Most pituitary adenomas and prolactinomas readily express chromogranin.
Applications
IHC-P
Dilutions
IHC-P: 1-2 µg/ml
Reactivity
Human
Immunogen
Recombinant fragment, around amino acids 23-165, of human Chromogranin A protein. The exact sequence is proprietary.
Host
Mouse
Clonality
Monoclonal
Clone ID
CHGA/4219
Isotype
IgG1
Light Chains
kappa
Conjugate

Unconjugated

Purification
Protein A/G chromatography.
Concentration
1 mg/ml
Molecular Weight
68-75 kDa
Product Form
Liquid
Formulation
Supplied in 10mM Phosphate Buffered Saline; without Sodium Azide and carrier free.
Storage
Shipped at 4°C. Upon delivery aliquot and store at -20°C. Avoid freeze / thaw cycles.
General Notes
This monoclonal antibody is also available in a different formulation with BSA and Sodium Azide - Anti-Chromogranin A Antibody [CHGA/4219] (A277538).
Synonyms
CgA, CHGA, Chromogranin-A, Pituitary secretory protein I, SP-I
Disclaimer
This product is for research use only. It is not intended for diagnostic or therapeutic use.
Publishing research using Anti-Chromogranin A Antibody [CHGA/4219] - BSA and Azide free (A278126)? Please let us know so that we can list the citation on this page.

Alternative products to Anti-Chromogranin A Antibody [CHGA/4219] - BSA and Azide free (A278126)

Proteins predicted to interact with Chromogranin A

Predicted protein interactions based upon String database. Revelancy score correlates with probability of interaction.
99.4% Relevancy Score
99% Relevancy Score
95.4% Relevancy Score
94.1% Relevancy Score
93.2% Relevancy Score
92.1% Relevancy Score
86.3% Relevancy Score
85.3% Relevancy Score
84% Relevancy Score