Primary Antibodies
Secondary Antibodies
Proteins & Peptides
ELISA Kits
About Us
Contact Us
Sign In/Register
0
ISO 9001:2015 Certified
Live Customer Support
4.5/5 on Trustpilot
100% Quality Guarantee
Home
Primary Antibodies
UBQLN4 Antibodies
Anti-CIP75 Antibody (A48006)
Anti-CIP75 Antibody (A48006)
Overview
Specifications
Images
Enlarge Image
Enlarge Image
$780
Product Datasheet
Rabbit polyclonal antibody to CIP75 for ELISA, WB and IHC.
100% Guarantee
Price Match Guarantee
Product Size:
100µl
Quantity:
1
2
3
4
5
6
7
8
9
10
Add To Cart
Request a Quotation
Custom or Bulk Request
Shipping Information
Freight/Packing Charges:
$40
Dispatched from St. Louis, MO.
Lead Time: 6-9 business days.
Specifications
Name
Anti-CIP75 Antibody
Description
Rabbit polyclonal antibody to CIP75
Applications
ELISA
,
WB
,
IHC
Reactivity
Human, Mouse, Rat
Immunogen
Raised against an 18 amino acid peptide near the amino terminus of human CIP75.
Host
Rabbit
Clonality
Polyclonal
Conjugate
Unconjugated
Purification
Affinity chromatography purified via peptide column
Formulation
Supplied in phosphate-buffered saline with 0.02% Sodium Azide.
Storage
Shipped at 4°C. Upon delivery aliquot and store at -20°C. Avoid freeze/thaw cycles.
Synonyms
A1Up, Ataxin-1 interacting ubiquitin-like protein, Ataxin-1 ubiquitin-like-interacting protein A1U, C1orf6, Connexin43-interacting protein of 75 kDa, UBIN, Ubiquilin-4
Suitable Secondaries
Goat Anti-Rabbit IgG H&L Antibody (AP) (A294874)
Goat Anti-Rabbit IgG H&L Antibody (Biotin) (A294795)
Goat Anti-Rabbit IgG H&L Antibody (FITC) (A294887)
Goat Anti-Rabbit IgG H&L Antibody (HRP) (A294888)
See all Anti-Rabbit IgG Secondaries →
Disclaimer
This product is for research use only. It is not intended for diagnostic or therapeutic use.
Scientific Validation Data
Validation Data
(2)
Enlarge Image
Anti-CIP75 Antibody (A48006)
Western blot analysis of CIP75 in 3T3 cell lysate with CIP75 antibody at (A) 1 and (B) 2 µg/mL.
Enlarge Image
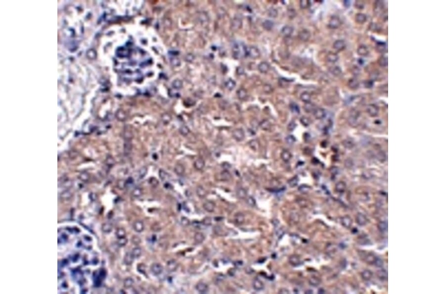
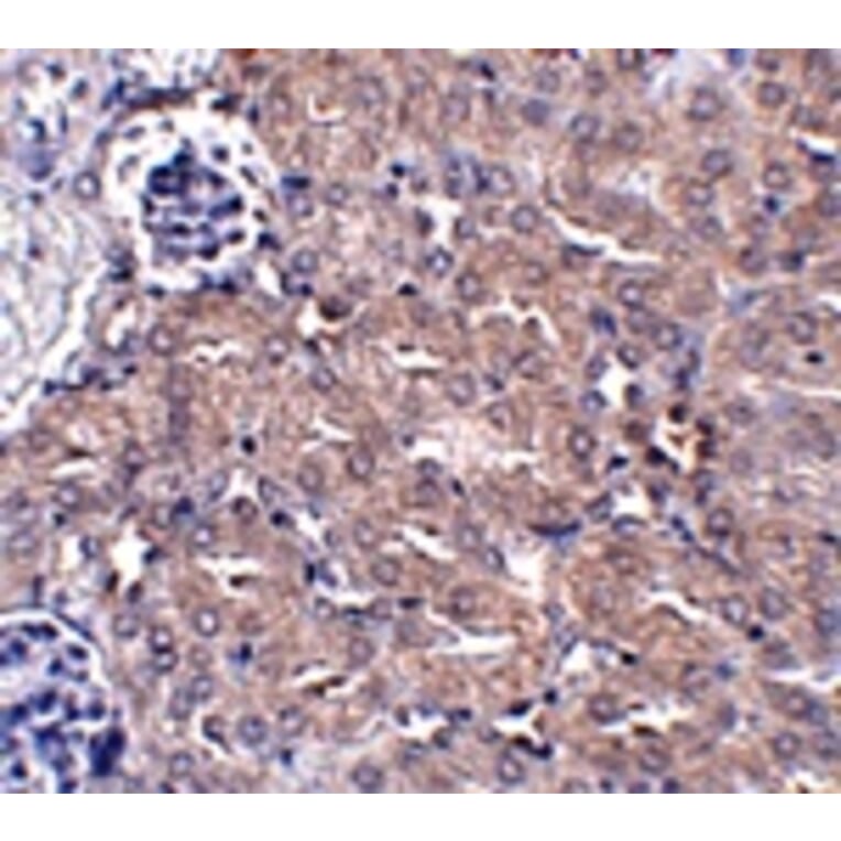
Immunohistochemistry - Anti-CIP75 Antibody (A48006)
Immunohistochemistry of CIP75 in mouse kidney tissue with CIP75 antibody at 5 µg/mL.
Publishing research using Anti-CIP75 Antibody (A48006)? Please
let us know
so that we can list the citation on this page.
Alternative products to Anti-CIP75 Antibody (A48006)
(6)
A91139
Anti-CIP75 Antibody
Rabbit polyclonal antibody to CIP75 for WB, IHC and ICC/IF.
(2)
A96704
Anti-UBQLN4 Antibody
Rabbit polyclonal antibody to UBQLN4 for WB, IHC, IF and ELISA.
(6)
A91139
Anti-CIP75 Antibody
Rabbit polyclonal antibody to CIP75 for WB, IHC and ICC/IF.
(2)
A96704
Anti-UBQLN4 Antibody
Rabbit polyclonal antibody to UBQLN4 for WB, IHC, IF and ELISA.
Proteins predicted to interact with UBQLN4
Predicted protein interactions based upon String database. Revelancy score correlates with probability of interaction.
S5a Antibodies
99.9% Relevancy Score
PSMD14 Antibodies
99.7% Relevancy Score
PSMD1 Antibodies
99.6% Relevancy Score
PSMD8 Antibodies
99.6% Relevancy Score
PSMD12 Antibodies
99.6% Relevancy Score
PSMD13 Antibodies
99.6% Relevancy Score
PSMD6 Antibodies
99.6% Relevancy Score
PSMD11 Antibodies
99.6% Relevancy Score
PSMC2 Antibodies
99.6% Relevancy Score
Top