ISO 9001:2015 Certified
Live Customer Support
4.5/5 on Trustpilot
100% Quality Guarantee

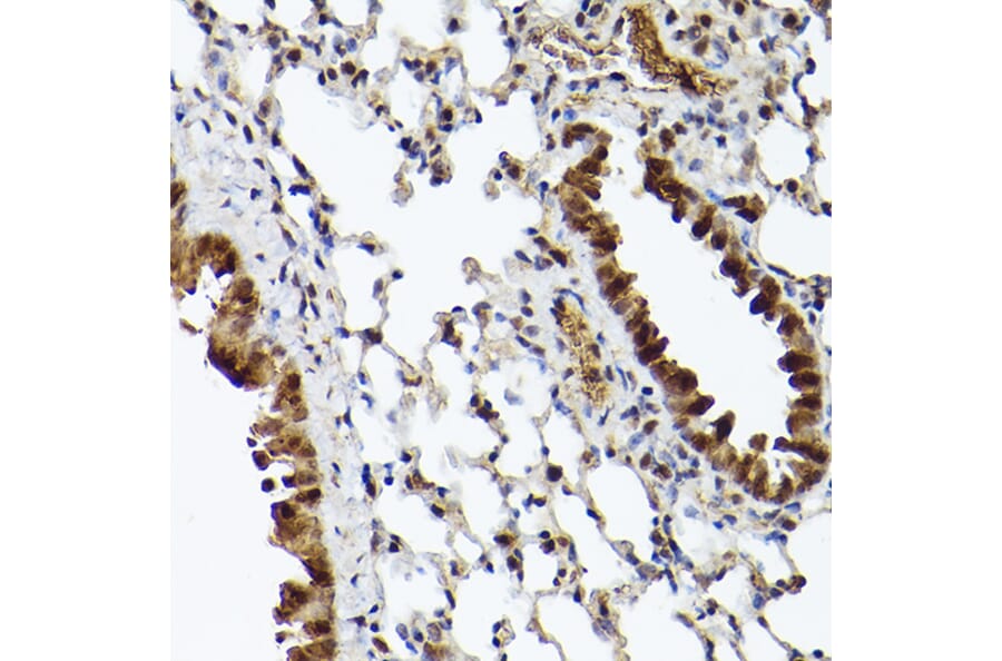
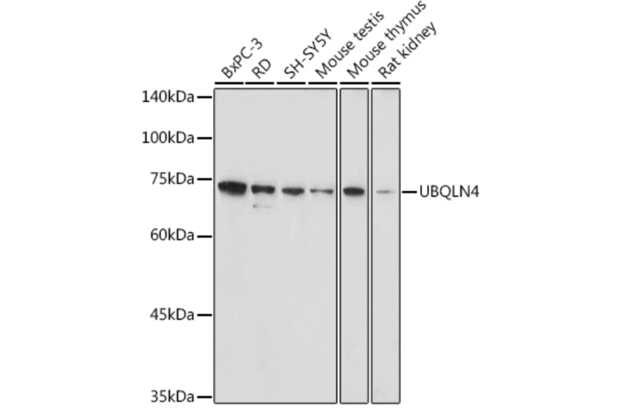
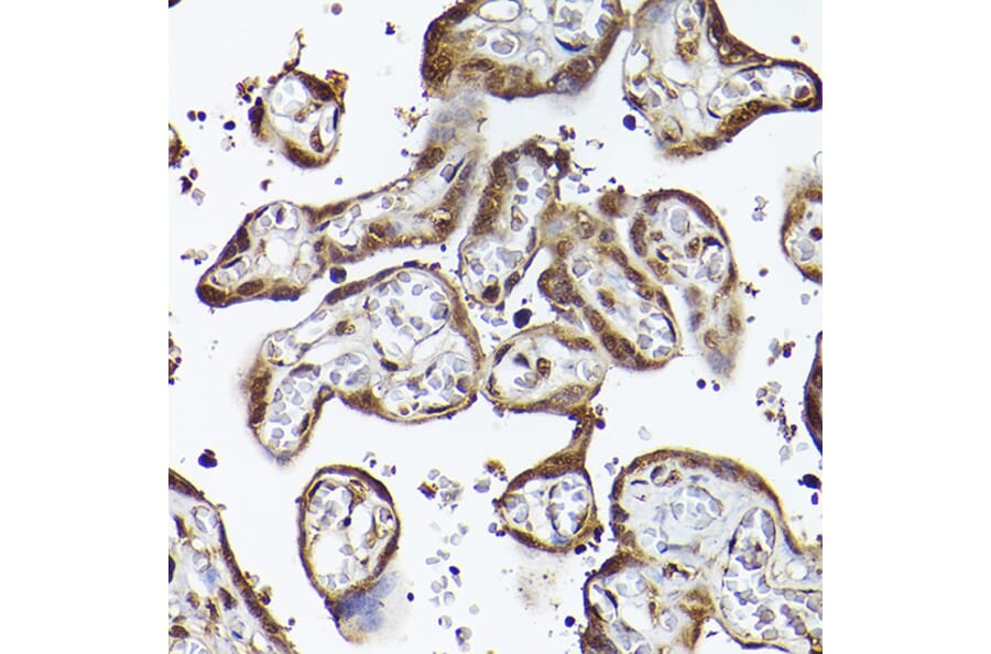
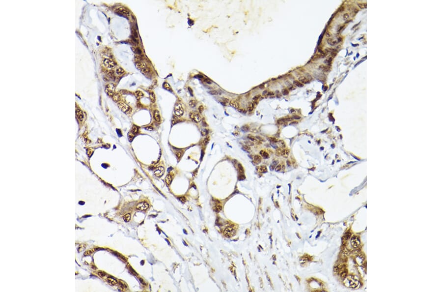
Anti-CIP75 Antibody (A91139)

Rabbit polyclonal antibody to CIP75 for WB, IHC and ICC/IF.

Shipping Information

$40
Dispatched from St. Louis, MO.
Lead Time: 7-10 business days.
Name
Anti-CIP75 Antibody
Description
Rabbit polyclonal antibody to CIP75.
Applications
WB, IHC, ICC/IF
Dilutions
WB: 1:500-1:1,000, IHC: 1:50-1:200, ICC/IF: 1:50-1:200
Reactivity
Human, Mouse, Rat
Immunogen
Recombinant fusion protein containing a sequence corresponding to amino acids 366-432 of human UBQLN4 (NP_064516.2).
Sequence
FGINAASLGSGMFNSPEMQALLQQISENPQLMQNVISAPYMRSMMQTLAQNPDFAAQMMVNVPLFAG
Host
Rabbit
Clonality
Polyclonal
Isotype
IgG
Conjugate

Unconjugated

Purification
Affinity purification.
Concentration
Lot Specific
Molecular Weight
75 kDa
Product Form
Liquid
Formulation
Supplied in Phosphate Buffered Saline, pH 7.3, with 50% Glycerol and 0.05% Proclin 300.
Storage
Shipped at 4°C. Upon delivery aliquot and store at -20°C. Avoid freeze/thaw cycles.
Synonyms
A1Up, Ataxin-1 interacting ubiquitin-like protein, Ataxin-1 ubiquitin-like-interacting protein A1U, C1orf6, Connexin43-interacting protein of 75 kDa, UBIN, Ubiquilin-4
Disclaimer
This product is for research use only. It is not intended for diagnostic or therapeutic use.
Publishing research using Anti-CIP75 Antibody (A91139)? Please let us know so that we can list the citation on this page.

Alternative products to Anti-CIP75 Antibody (A91139)

Proteins predicted to interact with UBQLN4

Predicted protein interactions based upon String database. Revelancy score correlates with probability of interaction.
99.9% Relevancy Score
99.7% Relevancy Score
99.6% Relevancy Score
99.6% Relevancy Score
99.6% Relevancy Score
99.6% Relevancy Score
99.6% Relevancy Score
99.6% Relevancy Score
99.6% Relevancy Score