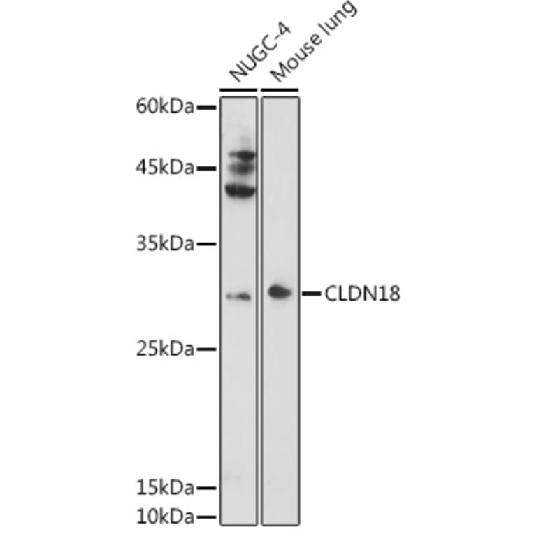
Western blot analysis of extracts of various cell lines, using Anti-Claudin18 Antibody (A16174) at 1:1,000 dilution. The secondary antibody was Goat Anti-Rabbit IgG H&L Antibody (HRP) at 1:10,000 dilution. Lysates/proteins were present at 25µg per lane. The blocking buffer used was 3% non-fat dry milk in TBST. Detection was with a ECL Enhanced Kit. Exposure time: 180s.
Publishing research using Anti-Claudin18 Antibody (A16174)? Please let us know so that we can list the citation on this page.
Alternative products to Anti-Claudin18 Antibody (A16174)
Recombinant chimeric monoclonal antibody to Claudin18 for use as a research grade Zolbetuximab biosi for ELISA, Flow Cytometry, Functional Studies and in vivo Research.
Recombinant humanized monoclonal antibody to Claudin18 for use as a research grade Osemitamab biosim for ELISA, Flow Cytometry, Functional Studies and in vivo Research.
Recombinant humanized monoclonal antibody to Claudin18 for use as a research grade Tecotabart biosim for ELISA, Flow Cytometry, Functional Studies and in vivo Research.
Recombinant human monoclonal antibody to Claudin18 for use as a research grade omectatug biosimilar for ELISA, Flow Cytometry, Functional Studies and in vivo Research.
Recombinant human monoclonal antibody to Claudin18 for use as a research grade sonesitatug biosimila for ELISA, Flow Cytometry, Functional Studies and in vivo Research.
Recombinant human monoclonal antibody to Claudin18 for use as a research grade garetatug biosimilar for ELISA, Flow Cytometry, Functional Studies and in vivo Research.
Recombinant human monoclonal antibody to Claudin18 for use as a research grade ciletatug biosimilar for ELISA, Flow Cytometry, Functional Studies and in vivo Research.
Recombinant chimeric monoclonal antibody to Claudin18 for use as a research grade Zolbetuximab biosi for ELISA, Flow Cytometry, Functional Studies and in vivo Research.
Recombinant humanized monoclonal antibody to Claudin18 for use as a research grade Osemitamab biosim for ELISA, Flow Cytometry, Functional Studies and in vivo Research.
Recombinant humanized monoclonal antibody to Claudin18 for use as a research grade Tecotabart biosim for ELISA, Flow Cytometry, Functional Studies and in vivo Research.
Recombinant human monoclonal antibody to Claudin18 for use as a research grade omectatug biosimilar for ELISA, Flow Cytometry, Functional Studies and in vivo Research.
Recombinant human monoclonal antibody to Claudin18 for use as a research grade sonesitatug biosimila for ELISA, Flow Cytometry, Functional Studies and in vivo Research.
Recombinant human monoclonal antibody to Claudin18 for use as a research grade garetatug biosimilar for ELISA, Flow Cytometry, Functional Studies and in vivo Research.
Recombinant human monoclonal antibody to Claudin18 for use as a research grade ciletatug biosimilar for ELISA, Flow Cytometry, Functional Studies and in vivo Research.