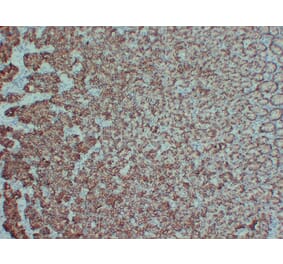
The image on the left is immunohistochemistry of paraffin-embedded Human cervical cancer tissue using CLDN18 Antibody at dilution 1/25, on the right is treated with synthetic peptide. (Original magnification: x200)
Publishing research using Anti-CLDN18 Antibody (A45760)? Please let us know so that we can list the citation on this page.
Alternative products to Anti-CLDN18 Antibody (A45760)
Recombinant chimeric monoclonal antibody to Claudin18 for use as a research grade Zolbetuximab biosi for ELISA, Flow Cytometry, Functional Studies and in vivo Research.
Recombinant humanized monoclonal antibody to Claudin18 for use as a research grade Osemitamab biosim for ELISA, Flow Cytometry, Functional Studies and in vivo Research.
Recombinant humanized monoclonal antibody to Claudin18 for use as a research grade Tecotabart biosim for ELISA, Flow Cytometry, Functional Studies and in vivo Research.
Recombinant human monoclonal antibody to Claudin18 for use as a research grade omectatug biosimilar for ELISA, Flow Cytometry, Functional Studies and in vivo Research.
Recombinant human monoclonal antibody to Claudin18 for use as a research grade sonesitatug biosimila for ELISA, Flow Cytometry, Functional Studies and in vivo Research.
Recombinant human monoclonal antibody to Claudin18 for use as a research grade garetatug biosimilar for ELISA, Flow Cytometry, Functional Studies and in vivo Research.
Recombinant human monoclonal antibody to Claudin18 for use as a research grade ciletatug biosimilar for ELISA, Flow Cytometry, Functional Studies and in vivo Research.
Recombinant chimeric monoclonal antibody to Claudin18 for use as a research grade Zolbetuximab biosi for ELISA, Flow Cytometry, Functional Studies and in vivo Research.
Recombinant humanized monoclonal antibody to Claudin18 for use as a research grade Osemitamab biosim for ELISA, Flow Cytometry, Functional Studies and in vivo Research.
Recombinant humanized monoclonal antibody to Claudin18 for use as a research grade Tecotabart biosim for ELISA, Flow Cytometry, Functional Studies and in vivo Research.
Recombinant human monoclonal antibody to Claudin18 for use as a research grade omectatug biosimilar for ELISA, Flow Cytometry, Functional Studies and in vivo Research.
Recombinant human monoclonal antibody to Claudin18 for use as a research grade sonesitatug biosimila for ELISA, Flow Cytometry, Functional Studies and in vivo Research.
Recombinant human monoclonal antibody to Claudin18 for use as a research grade garetatug biosimilar for ELISA, Flow Cytometry, Functional Studies and in vivo Research.
Recombinant human monoclonal antibody to Claudin18 for use as a research grade ciletatug biosimilar for ELISA, Flow Cytometry, Functional Studies and in vivo Research.