ISO 9001:2015 Certified
Live Customer Support
4.5/5 on Trustpilot
100% Quality Guarantee

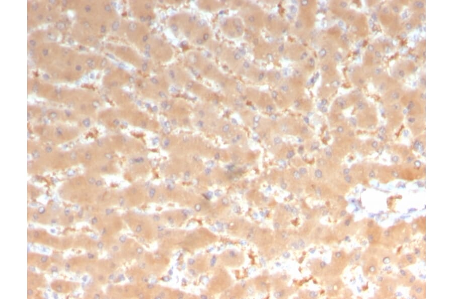
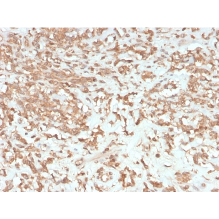
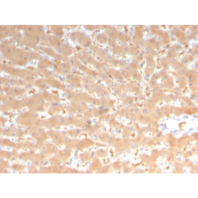
Anti-Coagulation Factor VII Antibody [F7/3513] - BSA and Azide free (A251690)

Mouse monoclonal [F7/3513] antibody to Coagulation Factor VII for ELISA and IHC-P.

Alternative Formats and ConjugatesAlternative Formats

Shipping Information

$40
Dispatched from St. Louis, MO.
Lead Time: 5-8 business days.
Name
Anti-Coagulation Factor VII Antibody [F7/3513] - BSA and Azide free
Description
Mouse monoclonal [F7/3513] antibody to Coagulation Factor VII.
Applications
ELISA, IHC-P
Dilutions
IHC-P: 1-2 µg/ml
Reactivity
Human
Immunogen
Recombinant fragment, around amino acids 366-466, of human F7 protein. The exact sequence is proprietary.
Host
Mouse
Clonality
Monoclonal
Clone ID
F7/3513
Isotype
IgG2b
Light Chains
kappa
Conjugate

Unconjugated

Purification
Protein A/G chromatography.
Concentration
1 mg/ml
Molecular Weight
200 kDa / 80 kDa / 73 kDa / 50 kDa / 43 kDa
Product Form
Liquid
Formulation
Supplied in 10mM Phosphate Buffered Saline; without Sodium Azide and carrier free.
Storage
Shipped at 4°C. Upon delivery aliquot and store at -20°C. Avoid freeze / thaw cycles.
General Notes
This monoclonal antibody is also available in a different formulation with BSA and Sodium Azide - Anti-Coagulation Factor VII Antibody [F7/3513] (A248508).
Synonyms
F7, Proconvertin, Serum prothrombin conversion accelerator, SPCA
Disclaimer
This product is for research use only. It is not intended for diagnostic or therapeutic use.
Publishing research using Anti-Coagulation Factor VII Antibody [F7/3513] - BSA and Azide free (A251690)? Please let us know so that we can list the citation on this page.

Alternative products to Anti-Coagulation Factor VII Antibody [F7/3513] - BSA and Azide free (A251690)

Proteins predicted to interact with Factor VII

Predicted protein interactions based upon String database. Revelancy score correlates with probability of interaction.
99.9% Relevancy Score
99.5% Relevancy Score
98.8% Relevancy Score
98.4% Relevancy Score
96.9% Relevancy Score
95.8% Relevancy Score
94.2% Relevancy Score
92.6% Relevancy Score
91.6% Relevancy Score