Primary Antibodies
Secondary Antibodies
Proteins & Peptides
ELISA Kits
About Us
Contact Us
Sign In/Register
0
ISO 9001:2015 Certified
Live Customer Support
4.5/5 on Trustpilot
100% Quality Guarantee
Home
Primary Antibodies
Factor VII Antibodies
Anti-F7 Antibody (A39201)
Anti-F7 Antibody (A39201)
Overview
Specifications
Images
Enlarge Image
Enlarge Image
$430
Product Datasheet
Rabbit polyclonal antibody to F7 for WB and IHC.
100% Guarantee
Price Match Guarantee
Product Size:
100µl
Quantity:
1
2
3
4
5
6
7
8
9
10
Add To Cart
Request a Quotation
Custom or Bulk Request
Shipping Information
Freight/Packing Charges:
$40
Dispatched from St. Louis, MO.
Lead Time: 6-9 business days.
Specifications
Name
Anti-F7 Antibody
Description
Rabbit polyclonal antibody to F7
Specificity
The antibody detects endogenous levels of total F7 protein.
Applications
WB
,
IHC
Reactivity
Human, Mouse
Immunogen
Fusion protein corresponding to residues near the C terminal of human Coagulation factor VII (serum prothrombin conversion accelerator)
Host
Rabbit
Clonality
Polyclonal
Conjugate
Unconjugated
Purification
Antigen affinity purification.
Concentration
1.5 mg/mL
Formulation
Supplied in PBS, pH 7.3, containing 0.05% sodium azide and 50% glycerol.
Storage
Shipped at 4°C. Upon delivery aliquot and store at -20°C. Avoid freeze/thaw cycles.
Synonyms
Coagulation factor VII, Proconvertin, Serum prothrombin conversion accelerator, SPCA
Suitable Secondaries
Goat Anti-Rabbit IgG H&L Antibody (AP) (A294874)
Goat Anti-Rabbit IgG H&L Antibody (Biotin) (A294795)
Goat Anti-Rabbit IgG H&L Antibody (FITC) (A294887)
Goat Anti-Rabbit IgG H&L Antibody (HRP) (A294888)
See all Anti-Rabbit IgG Secondaries →
Disclaimer
This product is for research use only. It is not intended for diagnostic or therapeutic use.
Scientific Validation Data
Validation Data
(2)
Enlarge Image
Anti-F7 Antibody (A39201)
Gel: 10% SDS-PAGE Lysates (from left to right): NIH/3T3, 293T and Jurkat cell Amount of lysate: 40ug per lane Primary antibody: 1/400 dilution Secondary antibody dilution: 1/8000 Exposure time: 30 seconds
Enlarge Image
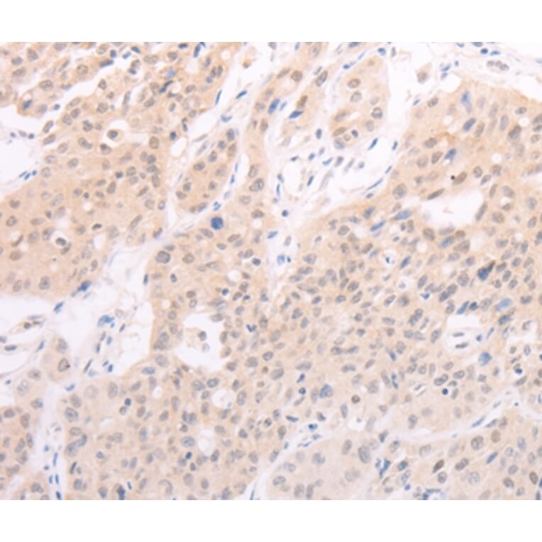
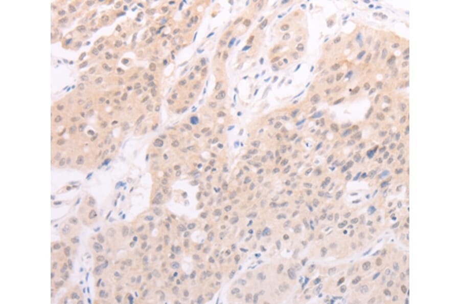
Immunohistochemistry - Anti-F7 Antibody (A39201)
Immunohistochemical analysis of paraffin-embedded Human lung cancer tissue using #35954 at dilution 1/40.
Publishing research using Anti-F7 Antibody (A39201)? Please
let us know
so that we can list the citation on this page.
Alternative products to Anti-F7 Antibody (A39201)
A340581
Vatreptacog alfa Biosimilar - Anti-Factor VII Antibody - BSA and Azide free
MonoclonalAntibody to Factor VII Research grade Vatreptacog alfa biosimilar for ELISA, Functional Studies and in vivo Research.
(4)
A251692
Anti-Coagulation Factor VII Antibody [F7/3618] - BSA and Azide free
Mouse monoclonal [F7/3618] antibody to Coagulation Factor VII for ELISA and IHC-P.
(4)
A251691
Anti-Coagulation Factor VII Antibody [F7/3516] - BSA and Azide free
Mouse monoclonal [F7/3516] antibody to Coagulation Factor VII for ELISA and IHC-P.
(4)
A248510
Anti-Coagulation Factor VII Antibody [F7/3618]
Mouse monoclonal [F7/3618] antibody to Coagulation Factor VII for ELISA and IHC-P.
(4)
A251690
Anti-Coagulation Factor VII Antibody [F7/3513] - BSA and Azide free
Mouse monoclonal [F7/3513] antibody to Coagulation Factor VII for ELISA and IHC-P.
(4)
A248509
Anti-Coagulation Factor VII Antibody [F7/3516]
Mouse monoclonal [F7/3516] antibody to Coagulation Factor VII for ELISA and IHC-P.
(4)
A248508
Anti-Coagulation Factor VII Antibody [F7/3513]
Mouse monoclonal [F7/3513] antibody to Coagulation Factor VII for ELISA and IHC-P.
(3)
A94584
Anti-FA7 (light chain,cleaved Arg212) Antibody
Rabbit polyclonal antibody to FA7 (light chain,cleaved Arg212) for WB, IHC and ELISA.
(3)
A248507
Anti-Coagulation Factor VII Antibody [F7/3511]
Mouse monoclonal [F7/3511] antibody to Coagulation Factor VII for ELISA and IHC-P.
(3)
A251689
Anti-Coagulation Factor VII Antibody [F7/3511] - BSA and Azide free
Mouse monoclonal [F7/3511] antibody to Coagulation Factor VII for ELISA and IHC-P.
(2)
A36586
Anti-Factor VII Antibody
Rabbit polyclonal antibody to Factor VII for WB and IHC.
A281659
Anti-Factor VII Antibody [RFF-VII/1]
Mouse monoclonal [RFF-VII/1] antibody to Factor VII for WB, ELISA and RIA.
A340581
Vatreptacog alfa Biosimilar - Anti-Factor VII Antibody - BSA and Azide free
MonoclonalAntibody to Factor VII Research grade Vatreptacog alfa biosimilar for ELISA, Functional Studies and in vivo Research.
(4)
A251692
Anti-Coagulation Factor VII Antibody [F7/3618] - BSA and Azide free
Mouse monoclonal [F7/3618] antibody to Coagulation Factor VII for ELISA and IHC-P.
(4)
A251691
Anti-Coagulation Factor VII Antibody [F7/3516] - BSA and Azide free
Mouse monoclonal [F7/3516] antibody to Coagulation Factor VII for ELISA and IHC-P.
(4)
A248510
Anti-Coagulation Factor VII Antibody [F7/3618]
Mouse monoclonal [F7/3618] antibody to Coagulation Factor VII for ELISA and IHC-P.
(4)
A251690
Anti-Coagulation Factor VII Antibody [F7/3513] - BSA and Azide free
Mouse monoclonal [F7/3513] antibody to Coagulation Factor VII for ELISA and IHC-P.
(4)
A248509
Anti-Coagulation Factor VII Antibody [F7/3516]
Mouse monoclonal [F7/3516] antibody to Coagulation Factor VII for ELISA and IHC-P.
(4)
A248508
Anti-Coagulation Factor VII Antibody [F7/3513]
Mouse monoclonal [F7/3513] antibody to Coagulation Factor VII for ELISA and IHC-P.
(3)
A94584
Anti-FA7 (light chain,cleaved Arg212) Antibody
Rabbit polyclonal antibody to FA7 (light chain,cleaved Arg212) for WB, IHC and ELISA.
(3)
A248507
Anti-Coagulation Factor VII Antibody [F7/3511]
Mouse monoclonal [F7/3511] antibody to Coagulation Factor VII for ELISA and IHC-P.
(3)
A251689
Anti-Coagulation Factor VII Antibody [F7/3511] - BSA and Azide free
Mouse monoclonal [F7/3511] antibody to Coagulation Factor VII for ELISA and IHC-P.
(2)
A36586
Anti-Factor VII Antibody
Rabbit polyclonal antibody to Factor VII for WB and IHC.
A281659
Anti-Factor VII Antibody [RFF-VII/1]
Mouse monoclonal [RFF-VII/1] antibody to Factor VII for WB, ELISA and RIA.
See all F7 Antibodies
Proteins predicted to interact with Factor VII
Predicted protein interactions based upon String database. Revelancy score correlates with probability of interaction.
Tissue Factor Antibodies
99.9% Relevancy Score
TFPI Antibodies
99.5% Relevancy Score
Factor X Antibodies
98.8% Relevancy Score
Factor IX Antibodies
98.4% Relevancy Score
Factor VIII Antibodies
96.9% Relevancy Score
GGCX Antibodies
95.8% Relevancy Score
Thrombomodulin Antibodies
94.2% Relevancy Score
Prothrombin Antibodies
92.6% Relevancy Score
POGLUT1 Antibodies
91.6% Relevancy Score
Top