Primary Antibodies
Secondary Antibodies
Proteins & Peptides
ELISA Kits
About Us
Contact Us
Sign In/Register
0
ISO 9001:2015 Certified
Live Customer Support
4.5/5 on Trustpilot
100% Quality Guarantee
Home
Primary Antibodies
Collagen III Antibodies
Anti-COL3A1 Antibody (A45386)
Anti-COL3A1 Antibody (A45386)
Overview
Specifications
Images
Enlarge Image
Enlarge Image
$430
Product Datasheet
Rabbit polyclonal antibody to COL3A1 for IHC.
100% Guarantee
Price Match Guarantee
Product Size:
100µl
Quantity:
1
2
3
4
5
6
7
8
9
10
Add To Cart
Request a Quotation
Custom or Bulk Request
Shipping Information
Freight/Packing Charges:
$40
Dispatched from St. Louis, MO.
Lead Time: 6-9 business days.
Specifications
Name
Anti-COL3A1 Antibody
Description
Rabbit polyclonal antibody to COL3A1
Specificity
The antibody detects endogenous levels of total COL3A1 protein.
Applications
IHC
Reactivity
Human
Immunogen
Fusion protein corresponding to a region derived from internal residues of human collagen, type III, alpha 1
Host
Rabbit
Clonality
Polyclonal
Conjugate
Unconjugated
Purification
Antigen affinity purification.
Concentration
2.5 mg/mL
Formulation
Supplied in PBS, pH 7.3, containing 0.05% sodium azide and 50% glycerol.
Storage
Shipped at 4°C. Upon delivery aliquot and store at -20°C. Avoid freeze/thaw cycles.
Synonyms
Collagen alpha-1(III) chain
Suitable Secondaries
Goat Anti-Rabbit IgG H&L Antibody (AP) (A294874)
Goat Anti-Rabbit IgG H&L Antibody (Biotin) (A294795)
Goat Anti-Rabbit IgG H&L Antibody (FITC) (A294887)
Goat Anti-Rabbit IgG H&L Antibody (HRP) (A294888)
See all Anti-Rabbit IgG Secondaries →
Disclaimer
This product is for research use only. It is not intended for diagnostic or therapeutic use.
Scientific Validation Data
Validation Data
(2)
Enlarge Image
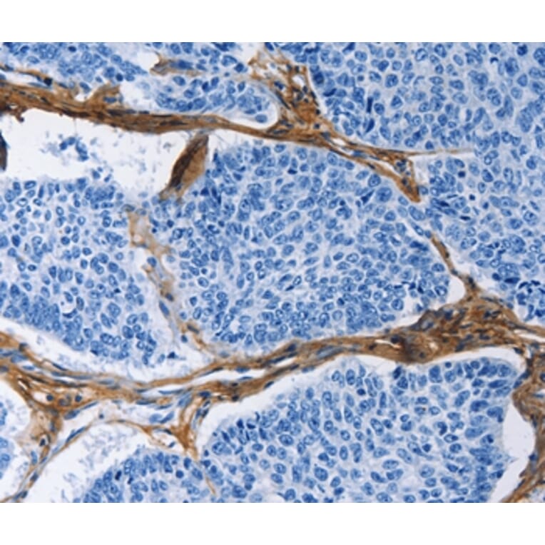
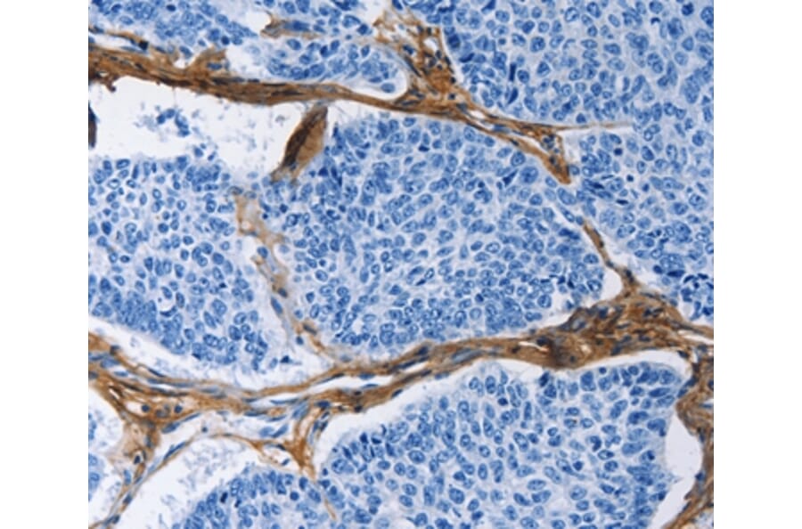
Immunohistochemistry - Anti-COL3A1 Antibody (A45386)
Immunohistochemical analysis of paraffin-embedded Human lung cancer tissue using #35691 at dilution 1/60.
Enlarge Image
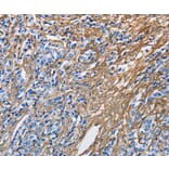
Immunohistochemistry - Anti-COL3A1 Antibody (A45386)
Immunohistochemical analysis of paraffin-embedded Human prostate cancer tissue using #35691 at dilution 1/60.
Publishing research using Anti-COL3A1 Antibody (A45386)? Please
let us know
so that we can list the citation on this page.
Alternative products to Anti-COL3A1 Antibody (A45386)
(5)
A308101
Anti-Collagen III Antibody [ARC2542]
Rabbit monoclonal [ARC2542] antibody to Collagen III for WB, ICC/IF and IP.
(3)
A95291
Anti-Collagen Type III Antibody
Mouse monoclonal (ABT-CIII) antibody to Collagen Type III for IHC, WB, IF and ELISA.
(2)
A94866
Anti-Collagen III Antibody
Rabbit polyclonal antibody to Collagen III for IHC, IF and ELISA.
(2)
A44567
Anti-Collagen III Antibody
Rabbit polyclonal antibody to Collagen III for WB, IHC and ICC/IF.
(3)
A34725
Anti-Collagen III Antibody
Rabbit polyclonal antibody to Collagen III for WB, IHC and ICC/IF.
A345527
Anti-Collagen III Antibody [23GB1260]
Recombinant rabbit monoclonal [23GB1260] antibody to Collagen III for WB, Flow Cytometry, ICC/IF and IHC-P.
A345414
Anti-Collagen III Antibody [24GB4785]
Recombinant rabbit monoclonal [24GB4785] antibody to Collagen III for WB, Flow Cytometry, ICC/IF and IHC-P.
A282760
Anti-Collagen III Antibody
Rabbit polyclonal antibody to Collagen III for IHC-P, ELISA, IF, IHC-Fr and RIA.
(3)
A14465
Anti-Collagen III Antibody
Rabbit polyclonal antibody to Collagen III for WB and ICC/IF.
A36407
Anti-Collagen III (Q76) Antibody
Mouse monoclonal antibody to Collagen III (Q76) for WB, ICC/IF and IHC.
(2)
A94583
Anti-Collagen III alpha1 (cleaved Gly1221) Antibody
Rabbit polyclonal antibody to Collagen III alpha1 (cleaved Gly1221) for ELISA.
A345413
Anti-Collagen III Antibody [24GB5870]
Mouse monoclonal [24GB5870] antibody to Collagen III for WB, Flow Cytometry and ICC/IF.
(5)
A308101
Anti-Collagen III Antibody [ARC2542]
Rabbit monoclonal [ARC2542] antibody to Collagen III for WB, ICC/IF and IP.
(3)
A95291
Anti-Collagen Type III Antibody
Mouse monoclonal (ABT-CIII) antibody to Collagen Type III for IHC, WB, IF and ELISA.
(2)
A94866
Anti-Collagen III Antibody
Rabbit polyclonal antibody to Collagen III for IHC, IF and ELISA.
(2)
A44567
Anti-Collagen III Antibody
Rabbit polyclonal antibody to Collagen III for WB, IHC and ICC/IF.
(3)
A34725
Anti-Collagen III Antibody
Rabbit polyclonal antibody to Collagen III for WB, IHC and ICC/IF.
A345527
Anti-Collagen III Antibody [23GB1260]
Recombinant rabbit monoclonal [23GB1260] antibody to Collagen III for WB, Flow Cytometry, ICC/IF and IHC-P.
A345414
Anti-Collagen III Antibody [24GB4785]
Recombinant rabbit monoclonal [24GB4785] antibody to Collagen III for WB, Flow Cytometry, ICC/IF and IHC-P.
A282760
Anti-Collagen III Antibody
Rabbit polyclonal antibody to Collagen III for IHC-P, ELISA, IF, IHC-Fr and RIA.
(3)
A14465
Anti-Collagen III Antibody
Rabbit polyclonal antibody to Collagen III for WB and ICC/IF.
A36407
Anti-Collagen III (Q76) Antibody
Mouse monoclonal antibody to Collagen III (Q76) for WB, ICC/IF and IHC.
(2)
A94583
Anti-Collagen III alpha1 (cleaved Gly1221) Antibody
Rabbit polyclonal antibody to Collagen III alpha1 (cleaved Gly1221) for ELISA.
A345413
Anti-Collagen III Antibody [24GB5870]
Mouse monoclonal [24GB5870] antibody to Collagen III for WB, Flow Cytometry and ICC/IF.
See all COL3A1 Antibodies
Proteins predicted to interact with Collagen III
Predicted protein interactions based upon String database. Revelancy score correlates with probability of interaction.
COL1A2 Antibodies
99.9% Relevancy Score
Collagen I Antibodies
99.9% Relevancy Score
Collagen V Antibodies
99.8% Relevancy Score
Lumican Antibodies
98.6% Relevancy Score
COL5A1 Antibodies
98.3% Relevancy Score
Periostin Antibodies
97.6% Relevancy Score
Integrin alpha 2 Antibodies
97.6% Relevancy Score
PCOLCE Antibodies
97.6% Relevancy Score
Fibrillin 1 Antibodies
97% Relevancy Score
Top