Western blot analysis of various lysates, using Anti-Collagen I Antibody (A11439) at 1:2,000 dilution. The secondary antibody was Goat Anti-Rabbit IgG H&L Antibody (HRP) at 1:10,000 dilution. Lysates/proteins were present at 25µg per lane. The blocking buffer used was 3% non-fat dry milk in TBST. Detection was with a ECL Basic Kit. Exposure time: 180s.
Western blot analysis of various lysates, using Anti-Collagen I Antibody (A11439) at 1:2,000 dilution. The secondary antibody was Goat Anti-Rabbit IgG H&L Antibody (HRP) at 1:10,000 dilution. Lysates/proteins were present at 25µg per lane. The blocking buffer used was 3% non-fat dry milk in TBST. Detection was with a ECL Basic Kit. Exposure time: 180s.
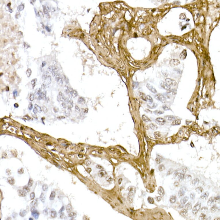
Immunohistochemistry - Anti-Collagen I Antibody (A11439)
Immunohistochemistry analysis of paraffin-embedded human lung cancer using Anti-Collagen I Antibody (A11439) at a dilution of 1:100 (40x lens). Perform microwave antigen retrieval with 10 mM PBS buffer pH 7.2 before commencing with IHC staining protocol.
Immunohistochemistry - Anti-Collagen I Antibody (A11439)
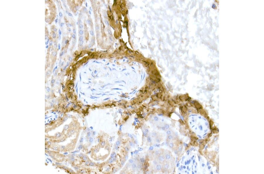
Immunohistochemistry analysis of paraffin-embedded mouse kidney using Anti-Collagen I Antibody (A11439) at a dilution of 1:100 (40x lens). Perform microwave antigen retrieval with 10 mM PBS buffer pH 7.2 before commencing with IHC staining protocol.
Immunohistochemistry - Anti-Collagen I Antibody (A11439)
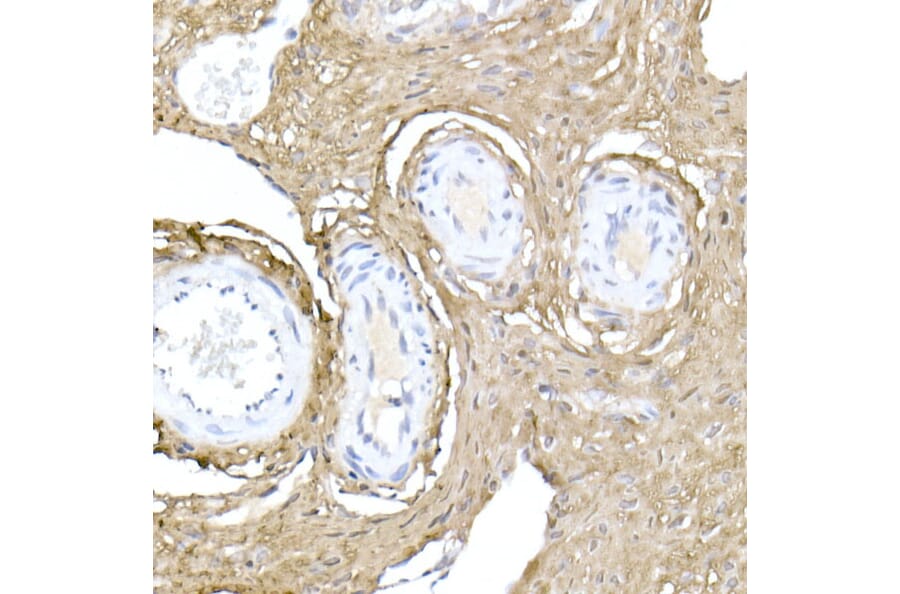
Immunohistochemistry analysis of paraffin-embedded rat ovary using Anti-Collagen I Antibody (A11439) at a dilution of 1:100 (40x lens). Perform microwave antigen retrieval with 10 mM PBS buffer pH 7.2 before commencing with IHC staining protocol.
Immunohistochemistry - Anti-Collagen I Antibody (A11439)
Immunohistochemistry analysis of paraffin-embedded rat stomach using Anti-Collagen I Antibody (A11439) at a dilution of 1:100 (40x lens). Perform microwave antigen retrieval with 10 mM PBS buffer pH 7.2 before commencing with IHC staining protocol.
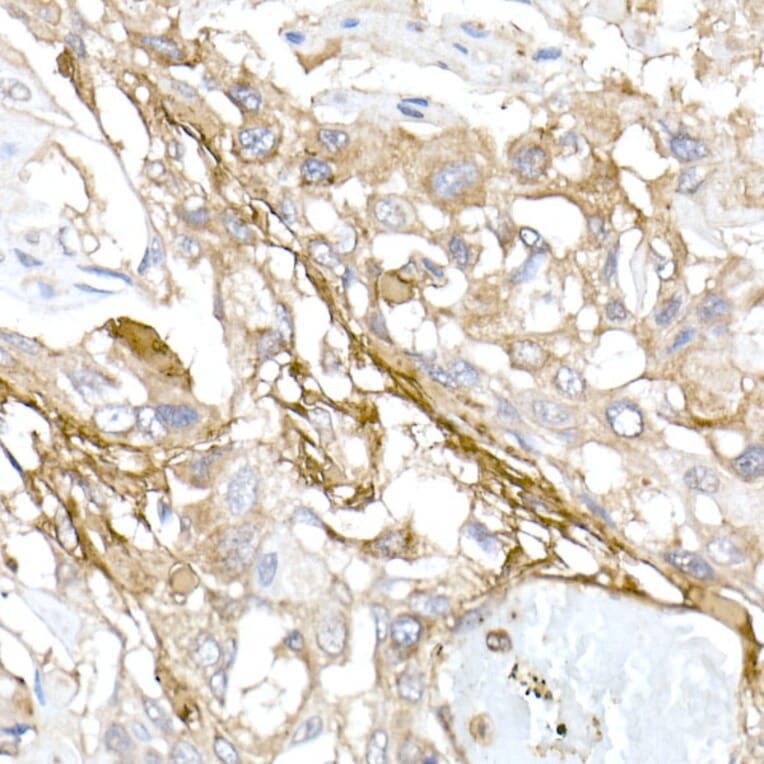
Immunohistochemistry - Anti-Collagen I Antibody (A11439)
Immunohistochemistry analysis of paraffin-embedded human esophageal cancer using Anti-Collagen I Antibody (A11439) at a dilution of 1:100 (40x lens). Perform microwave antigen retrieval with 10 mM PBS buffer pH 7.2 before commencing with IHC staining protocol.
Immunofluorescence - Anti-Collagen I Antibody (A11439)
Immunofluorescence analysis of NIH/3T3 cells using Anti-Collagen I Antibody (A11439) at a dilution of 1:50 (40x lens). DAPI was used to stain the cell nuclei (blue).
Immunofluorescence - Anti-Collagen I Antibody (A11439)
Immunofluorescence analysis of NIH/3T3 cells using Anti-Collagen I Antibody (A11439) at a dilution of 1:100 (40x lens). DAPI was used to stain the cell nuclei (blue).
Immunofluorescence - Anti-Collagen I Antibody (A11439)
Immunofluorescence analysis of NIH/3T3 cells using Anti-Collagen I Antibody (A11439) at a dilution of 1:50 (40x lens). DAPI was used to stain the cell nuclei (blue).