Primary Antibodies
Secondary Antibodies
Proteins & Peptides
ELISA Kits
About Us
Contact Us
Sign In/Register
0
ISO 9001:2015 Certified
Live Customer Support
4.5/5 on Trustpilot
100% Quality Guarantee
Home
Primary Antibodies
Collagen II Antibodies
Anti-Collagen Type II Antibody (A96501)
Anti-Collagen Type II Antibody (A96501)
Overview
Specifications
Images
Enlarge Image
$200
Product Datasheet
Mouse monoclonal (ABT-CII) antibody to Collagen Type II for IHC.
100% Guarantee
Price Match Guarantee
Product Size:
10µl
50µl
100µl
Quantity:
1
2
3
4
5
6
7
8
9
10
Add To Cart
Request a Quotation
Custom or Bulk Request
Shipping Information
Freight/Packing Charges:
$40
Dispatched from St. Louis, MO.
Lead Time: 6-8 business days.
Specifications
Name
Anti-Collagen Type II Antibody
Description
Mouse monoclonal (ABT-CII) antibody to Collagen Type II.
Applications
IHC
Reactivity
Human
Immunogen
Synthetic peptide derived from human Collagen Type II.
Host
Mouse
Clonality
Monoclonal
Clone ID
ABT-CII
Isotype
IgG
Conjugate
Unconjugated
Purification
Immunogen affinity purified.
Product Form
Liquid
Formulation
Supplied in Tris Buffered Saline with 0.5% Bovine Serum Albumin and 0.1% Kathon CG/ICP.
Synonyms
Alpha-1 type II collagen, COL2A1, Collagen alpha-1(II) chain
Isotype Controls
Mouse IgG (A17361)
Suitable Secondaries
Goat Anti-Mouse IgG H&L Antibody (AP) (A301438)
Goat Anti-Mouse IgG H&L Antibody (Biotin) (A301439)
Goat Anti-Mouse IgG H&L Antibody (FITC) (A301669)
Goat Anti-Mouse IgG H&L Antibody (HRP) (A301445)
See all Anti-Mouse IgG Secondaries →
Disclaimer
This product is for research use only. It is not intended for diagnostic or therapeutic use.
Scientific Validation Data
Validation Data
(1)
Enlarge Image
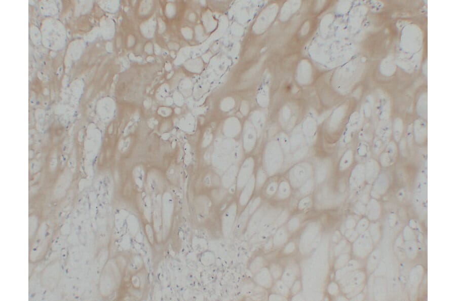
Immunohistochemistry - Anti-Collagen Type II Antibody (A96501)
Immunohistochemical analysis of paraffin-embedded human Chondrosarcoma using Anti-Collagen Type II Antibody.
Publishing research using Anti-Collagen Type II Antibody (A96501)? Please
let us know
so that we can list the citation on this page.
Alternative products to Anti-Collagen Type II Antibody (A96501)
(9)
A94339
Anti-Collagen II Antibody
Rabbit polyclonal antibody to Collagen II for WB, IHC, IF and ELISA.
(4)
A34747
Anti-Collagen II Antibody
Rabbit polyclonal antibody to Collagen II for WB, IHC and IF.
(2)
A34368
Anti-COL2A1 Antibody
Rabbit polyclonal antibody to COL2A1 for WB, IHC, IF and ELISA.
(2)
A25100
Anti-COL2A1 (P133) Antibody
Rabbit polyclonal antibody to COL2A1 (P133) for WB, IHC and IF.
A36565
Anti-Collagen II Antibody
Rabbit polyclonal antibody to Collagen II for WB and IHC.
(2)
A306085
Anti-Collagen II Antibody
Rabbit polyclonal antibody to Collagen II for WB and ICC/IF.
(2)
A37154
Anti-COL2A1 Antibody
Rabbit polyclonal antibody to COL2A1 for WB and IHC.
A42469
Anti-COL2A1 Antibody
Rabbit polyclonal antibody to COL2A1 for WB.
A316190
Anti-Collagen II Antibody [COL2A1/8882R] - BSA and Azide free
Recombinant rabbit monoclonal [COL2A1/8882R] antibody to Collagen II for ELISA and IHC-P.
A314806
Anti-Collagen II Antibody [COL2A1/8882R]
Recombinant rabbit monoclonal [COL2A1/8882R] antibody to Collagen II for ELISA and IHC-P.
A316191
Anti-Collagen II Antibody [COL2A1/8810R] - BSA and Azide free
Recombinant rabbit monoclonal [COL2A1/8810R] antibody to Collagen II for IHC-P.
A314807
Anti-Collagen II Antibody [COL2A1/8810R]
Recombinant rabbit monoclonal [COL2A1/8810R] antibody to Collagen II for IHC-P.
(9)
A94339
Anti-Collagen II Antibody
Rabbit polyclonal antibody to Collagen II for WB, IHC, IF and ELISA.
(4)
A34747
Anti-Collagen II Antibody
Rabbit polyclonal antibody to Collagen II for WB, IHC and IF.
(2)
A34368
Anti-COL2A1 Antibody
Rabbit polyclonal antibody to COL2A1 for WB, IHC, IF and ELISA.
(2)
A25100
Anti-COL2A1 (P133) Antibody
Rabbit polyclonal antibody to COL2A1 (P133) for WB, IHC and IF.
A36565
Anti-Collagen II Antibody
Rabbit polyclonal antibody to Collagen II for WB and IHC.
(2)
A306085
Anti-Collagen II Antibody
Rabbit polyclonal antibody to Collagen II for WB and ICC/IF.
(2)
A37154
Anti-COL2A1 Antibody
Rabbit polyclonal antibody to COL2A1 for WB and IHC.
A42469
Anti-COL2A1 Antibody
Rabbit polyclonal antibody to COL2A1 for WB.
A316190
Anti-Collagen II Antibody [COL2A1/8882R] - BSA and Azide free
Recombinant rabbit monoclonal [COL2A1/8882R] antibody to Collagen II for ELISA and IHC-P.
A314806
Anti-Collagen II Antibody [COL2A1/8882R]
Recombinant rabbit monoclonal [COL2A1/8882R] antibody to Collagen II for ELISA and IHC-P.
A316191
Anti-Collagen II Antibody [COL2A1/8810R] - BSA and Azide free
Recombinant rabbit monoclonal [COL2A1/8810R] antibody to Collagen II for IHC-P.
A314807
Anti-Collagen II Antibody [COL2A1/8810R]
Recombinant rabbit monoclonal [COL2A1/8810R] antibody to Collagen II for IHC-P.
See all Collagen II Antibodies
Proteins predicted to interact with Collagen II
Predicted protein interactions based upon String database. Revelancy score correlates with probability of interaction.
COL11A1 Antibodies
97.6% Relevancy Score
Collagen XI alpha 2 Antibodies
96.5% Relevancy Score
SOX9 Antibodies
94.4% Relevancy Score
CD44 Antibodies
94.2% Relevancy Score
COL9A1 Antibodies
91.8% Relevancy Score
GPVI Antibodies
91.4% Relevancy Score
COL1A2 Antibodies
88.3% Relevancy Score
Collagen V Antibodies
87.8% Relevancy Score
Collagen I Antibodies
86.7% Relevancy Score
Top