Western Blot - Anti-Complement factor B Antibody (A13606)
Western blot analysis of extracts of various cell lines, using Anti-Complement factor B Antibody (A13606) at 1:1,000 dilution. The secondary antibody was Goat Anti-Rabbit IgG H&L Antibody (HRP) at 1:10,000 dilution. Lysates/proteins were present at 25µg per lane. The blocking buffer used was 3% non-fat dry milk in TBST. Detection was with a ECL Basic Kit. Exposure time: 1s.
Immunohistochemistry - Anti-Complement factor B Antibody (A13606)
Immunohistochemistry analysis of paraffin-embedded human mammary cancer using Anti-Complement factor B Antibody (A13606) at a dilution of 1:200 (40x lens). Perform microwave antigen retrieval with 10 mM PBS buffer pH 7.2 before commencing with IHC staining protocol.
Immunohistochemistry - Anti-Complement factor B Antibody (A13606)
Immunohistochemistry analysis of paraffin-embedded mouse heart using Anti-Complement factor B Antibody (A13606) at a dilution of 1:200 (40x lens). Perform microwave antigen retrieval with 10 mM PBS buffer pH 7.2 before commencing with IHC staining protocol.
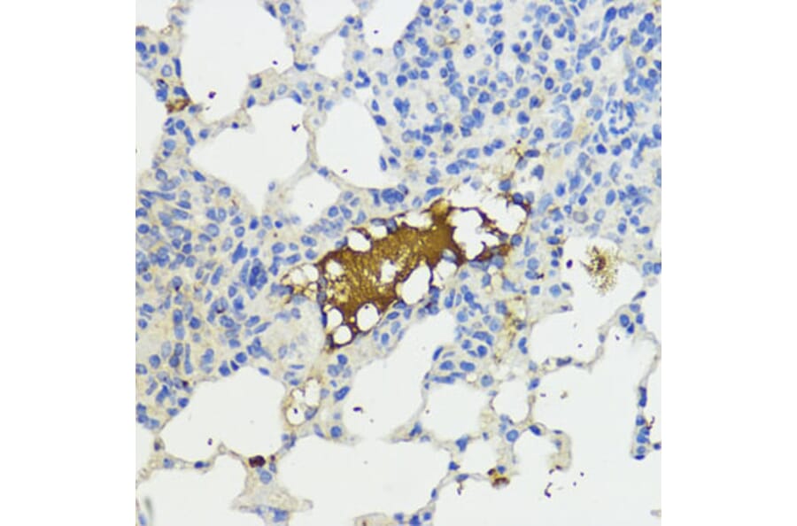
Immunohistochemistry - Anti-Complement factor B Antibody (A13606)
Immunohistochemistry analysis of paraffin-embedded mouse lung using Anti-Complement factor B Antibody (A13606) at a dilution of 1:200 (40x lens). Perform microwave antigen retrieval with 10 mM PBS buffer pH 7.2 before commencing with IHC staining protocol.
Immunofluorescence - Anti-Complement factor B Antibody (A13606)
Immunofluorescence analysis of Raw264. 7 cells using Anti-Complement factor B Antibody (A13606) at a dilution of 1:100 (40x lens). DAPI was used to stain the cell nuclei (blue).
Recombinant humanizedantibody to Complement Factor B for use as a research grade Ruxoprubart biosimi for ELISA, Flow Cytometry, Functional Studies and in vivo Research.
Recombinant mouseantibody to Complement Factor B for use as a research grade SAR-443809 biosimilar for ELISA, Flow Cytometry, Functional Studies and in vivo Research.
Recombinant humanizedantibody to Complement Factor B for use as a research grade Ruxoprubart biosimi for ELISA, Flow Cytometry, Functional Studies and in vivo Research.
Recombinant mouseantibody to Complement Factor B for use as a research grade SAR-443809 biosimilar for ELISA, Flow Cytometry, Functional Studies and in vivo Research.